Larger Image

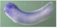
tmem97 (transmembrane protein 97) gene expression in Xenopus laevis embryo, assayed via in situ hybridization, NF stage 26-32, lateral view, anterior left, dorsal up.

This image is extracted from figure published in: Zhang Z et al. (2017)

Copyright © 2017. Image reproduced with permission of the Publisher and the copyright holder. This is an Open Access article distributed under the terms of the Creative Commons Attribution License.

GeneSynonymsSpeciesStage(s)Tissue
tmem97.LLOC108707888, MGC79660X. laevisSometime during NF stage 26 to NF stage 32central nervous system
brain
eye
pharyngeal region
otic vesicle

Image source: Community submitted

Permanent Image Page
Printer Friendly View

XB-IMG-170929