Larger Image

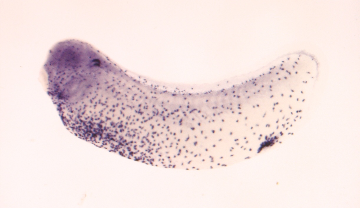
cyba (cytochrome b-245, alpha polypeptide) gene expression in Xenopus laevis embryo, assayed via in situ hybridization, NF stage 31, lateral view, anterior left, dorsal up.

Copyright © Patient Lab

Image created by: Aldo Ciau-Uitz

GeneSynonymsSpeciesStage(s)Tissue
cyba.Lp22-phoxX. laevisThroughout NF stage 31myeloid cell

Image source: Community submitted

Permanent Image Page
Printer Friendly View

XB-IMG-141189