Click here to close
Hello! We notice that you are using Internet Explorer, which is not supported by Xenbase and may cause the site to display incorrectly.
We suggest using a current version of Chrome,
FireFox, or Safari.
PLoS Genet
2026 Jan 02;221:e1011992. doi: 10.1371/journal.pgen.1011992.
Show Gene links
Show Anatomy links
Sex-specific functional evolution of Dmrt1 in African clawed frogs (Xenopus), and the importance of genetic tipping points in developmental biology.
Kukoly LM, Porter SR, Jordan DC, Murphy HA, Knytl M, Shaidani N, Thomas WR, Anderson C, Dworkin I, Horb ME, Evans BJ.
???displayArticle.abstract???
The doublesex and mab-3 related transcription factor 1 (dmrt1) plays a crucial role in metazoan sexual differentiation. This gene, or its paralogs, independently became triggers for sex determination several times, including in the tetraploid African clawed frog Xenopus laevis. To explore functional evolution of this gene, we generated knockout lines of each of two dmrt1 homeologs in X. laevis and an ortholog in the closely related diploid Western clawed frog X. tropicalis. Our findings evidence sex-specific functional evolution following duplication by allotetraploidization in an ancestor of X. laevis. In females, dmrt1 was essential for fertility and oogenesis in the Xenopus ancestor, but this important function was lost (subfunctionalized) in one X. laevis homeolog (dmrt1.S) after allotetraploidization. In males - in sharp contrast - dmrt1 was not essential for fertility and spermatogenesis in the Xenopus ancestor, but this essentiality was acquired (neofunctionalized) in the other X. laevis homeolog (dmrt1.L) after allotetraploidization. Transcriptomic analysis of the mesonephros/gonad complex during sexual differentiation identifies distinctive patterns of dysregulation in male and female knockouts of dmrt1.L and dmrt1.S relative to same-sex wildtype siblings, including possible autocatalysis of dmrt1.L and activation of the female-determining gene dm-w. Previous work demonstrates that dm-w was recently derived from partial gene duplication of dmrt1.S - a gene that our analysis demonstrates is non-essential in both sexes. Thus, in X. laevis, a developmental system was pushed past a "tipping point" to a novel state where sexual differentiation is now orchestrated by a sex-specific duplicate of a dispensable gene.
Fig 1. Dissected ventral views of a X. laevis wildtype female (left), and female knockouts for dmrt1.L (X. laevis, center) and dmrt1 (X. tropicalis, right). The egg-filled oviduct (E) is visible in wildtype females but knockouts of X. laevis dmrt1.L and X. tropicalis dmrt1 do not develop eggs; these animals have large fat bodies (F; orange-yellow structures), which are also present but much smaller in wildtype females (in the left, this obscured by the egg-filled oviduct). Other organs are labeled including the liver (Li), intestine (In), Lung (Lu), Stomach (St), and Kidney (Ki). Sample identification numbers are X. laevis wildtype: female5; X. laevis female knockout for dmrt1.L: female1; X. tropicalis female knockout for dmrt1: female1.
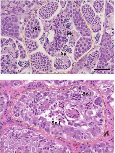
Fig 2. Testis histology of wildtype and knockout lines for X. laevis (XL) and X. tropicalis (XT) dmrt1.L, dmrt1.S, and dmrt1.
The black bar in the upper left is 50 μm; spermatocytes (Sc), Sertoli cells (Se), and late spermatids (Sp) are labeled, except for dmrt1.L where spermatocyte-like (Sc-l) and Sertoli-like (Se-l) cells are labeled and spermatids are not present. Sample identification numbers are X. laevis wildtype: 1841; X. tropicalis wildtype: 1900; X. laevis dmrt1.S: 197A; X. laevis dmrt1.L: 1929; and X. tropicalis dmrt1: 1993. Scale bar is 50μm.
Fig 3. Sex-specific functional evolution of dmrt1 following genome duplication in X. laevis.
In females (left) subfunctionalization occurred when essentiality for female fertility, ovarian development, and oogenesis (circles) was lost in dmrt1.S; in males (right), neofunctionalization occurred when essentiality for male fertility and sperm (circles) was acquired in dmrt1.L. Squares indicate a non-essential subfunction that may partially overlap with the circles; based on patterns of expression divergence [34], this subfunction is probably mostly restricted to somatic cells in the male gonad.
[Supplementary Figures] Fig A. (A) Sanger sequences of wildtype (wt) and homozygous knockout (ko) individual of X. tropicalis (top) and X. laevis (middle, bottom) illustrate loss of function frameshift mutations including a 1 bp deletion in X. tropicalis, and two independent 7 bp deletions in X. laevis dmrt1.L and dmrt1.S. Each mutation is in the coding region and very near the start codon (by interrupting the 26th, 10th, or 11th amino acid out of 337 or 336 in total; see main text). (B) Distributions of exons (gray boxes), introns and flanking non-transcribed regions (black lines), the DM domain (black boxes in exons), and locations of frameshift mutations (red x followed by the first amino acid position that is affected by the mutation). Starts of transcription are indicated with black arrows, including both isoforms of dmrt1.L; start and stop of translation are indicated with a green arrow and STOP respectively. The number below exon indicate the number of amino acids encoded in wildtypes.
[Supplementary Figures] Fig B. Empty oviducts (O) associated with the dissected of the kidney (K) and fat bodies (F) an X. laevis dmrt1.L homozygous knockout female. The ventral surface of the kidney is shown; anterior is on the top of the image.
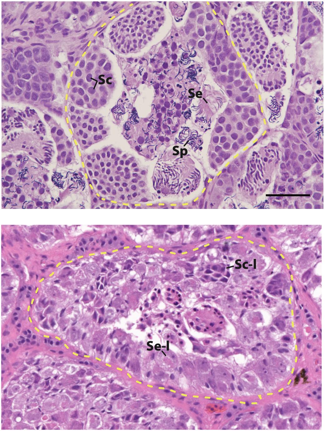
[Supplementary Figures] Fig C. Additional examples of testis morphology with labeling and black scale bar following Fig 2, including a wildtype individual (top: individual 185E) and a dmrt1.L homozygous knockout (bottom: individual 1880). A dotted yellow line in each image demarcates a seminiferous tubule. Scale bar is 50[micrometers].
[Supplementary Figures] Fig D. Scanning electron microscopy images of wildtype sperm (top left) and sperm from X. laevis homozygous knockout for dmrt1.L. Scale bars are 5[micrometers].