XB-ART-60322
Sci Rep
2023 Oct 04;131:16671. doi: 10.1038/s41598-023-43662-1.
Show Gene links
Show Anatomy links
Xenopus Ssbp2 is required for embryonic pronephros morphogenesis and terminal differentiation.
Cervino AS, Collodel MG, Lopez IA, Roa C, Hochbaum D, Hukriede NA, Cirio MC.
???displayArticle.abstract???
The nephron, functional unit of the vertebrate kidney, is specialized in metabolic wastes excretion and body fluids osmoregulation. Given the high evolutionary conservation of gene expression and segmentation patterning between mammalian and amphibian nephrons, the Xenopus laevis pronephric kidney offers a simplified model for studying nephrogenesis. The Lhx1 transcription factor plays several roles during embryogenesis, regulating target genes expression by forming multiprotein complexes with LIM binding protein 1 (Ldb1). However, few Lhx1-Ldb1 cofactors have been identified for kidney organogenesis. By tandem- affinity purification from kidney-induced Xenopus animal caps, we identified single-stranded DNA binding protein 2 (Ssbp2) interacts with the Ldb1-Lhx1 complex. Ssbp2 is expressed in the Xenopus pronephros, and knockdown prevents normal morphogenesis and differentiation of the glomus and the convoluted renal tubules. We demonstrate a role for a member of the Ssbp family in kidney organogenesis and provide evidence of a fundamental function for the Ldb1-Lhx1-Ssbp transcriptional complexes in embryonic development.
???displayArticle.pubmedLink??? 37794075
???displayArticle.pmcLink??? PMC10551014
???displayArticle.link??? Sci Rep
???displayArticle.grants??? [+]
Species referenced: Xenopus laevis
Genes referenced: atp1b1 clcnka clcnkb hoxb7 hspa1b hspd1 lhx1 nphs1 osr2 pax2 pax8 slc5a1 slc5a1.2 ssbp2 ssbp4 sst tbk1 wt1
GO keywords: kidney morphogenesis [+]
???displayArticle.antibodies??? Kidney Ab1 Kidney Ab2 Somite Ab3
???displayArticle.morpholinos??? ssbp2 MO1
???displayArticle.disOnts??? prostate cancer [+]
Phenotypes: Xla WT + ssbp2 MO(Fig. 2b) [+]
Xla WT + ssbp2 MO(Fig. 2e)
Xla WT + ssbp2 MO(Fig. 3 e j m m' n o)
Xla WT + ssbp2 MO(Fig. 4 e f i)
Xla WT + ssbp2 MO(Fig. 5 e, j, o)
Xla WT + ssbp2 MO(Fig. 6. f f' g)
Xla WT + ssbp2 MO(Fig. 6. m o )
Xla WT + ssbp2 MO(Fig S5. e j o p)
Xla WT + ssbp2 MO
Xla WT + ssbp2 MO(Fig. 3 e j m m' n o)
Xla WT + ssbp2 MO(Fig. 4 e f i)
Xla WT + ssbp2 MO(Fig. 5 e, j, o)
Xla WT + ssbp2 MO(Fig. 6. f f' g)
Xla WT + ssbp2 MO(Fig. 6. m o )
Xla WT + ssbp2 MO(Fig S5. e j o p)
Xla WT + ssbp2 MO
???attribute.lit??? ???displayArticles.show???
|
|
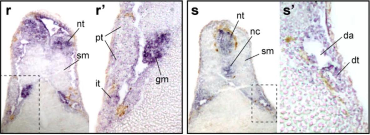
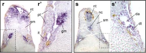
Figure 1. Ssbp2 is expressed in the pronephric anlage and the pronephric kidney during Xenopus development. Ssbp2 expression in Xenopus embryos by whole-mount in situ hybridization (WISH). (a) Early gastrula stage embryo (S10.5). Vegetal view. bp: blastopore. (bd) Early neurula stage embryo (S15). (b) Anterior view, dorsal up. ef: eye field; pop: presumptive olfactory placode; nf: neural folds. (c) Dorsal view, anterior to the left. (d) Lateral view, anterior to the left, dorsal up. (e, f) Late neurula stage embryo (S20). (e) Dorsal view, anterior to the left. nt: neural tube. (f) Lateral view, anterior to the left, dorsal up. (g) Histological preparation (transverse section) of the embryo showed in f (dotted line). sm: somitic mesoderm; nc: notochord; ar: archenteron. (g) Magnification of the dotted square shown in g. im: intermediate mesoderm; lm: lateral plate mesoderm. (h) Late neurula stage embryo (S21), lateral view. ea: eye anlage. (i) Early tailbud stage embryo (S23). Lateral view. op: olfactory placode; e: eye; hb: hindbrain; pa: pronephric anlage. (i) Early tailbud stage embryo (S23), lateral view. (j) Early tailbud stage embryo (S25), lateral view. (k) Early tailbud stage embryo (S26), lateral view. fb: forebrain; ov: otic vesicle. (I, m) Histological preparations (transverse sections) of the embryo shown in k (dotted lines). (l, m) Magnification of the dotted squares shown in l and m, respectively. som: somatic layer of the lateral mesoderm; spl: splanchnic layer of the lateral mesoderm. (n) Late tailbud stage embryo (S32), lateral view. ba: brachial arches; pk: pronephric kidney. (o, p) Histological preparations (transverse sections) of the embryo shown in n (dotted lines). (o, p) Magnification of the dotted squares showed in o and p, respectively. gm: glomus; pt: proximal tubule; dt: distal tubule. (q) Late tailbud stage embryo (S35), lateral view. vbi: ventral blood islands. (r, s) Histological preparations (transverse sections) of the embryo shown in q (dotted lines). (r, s) Magnification of the dotted squares shown in r and s, respectively. da: dorsal aorta. Representative embryos are shown. |
|
|
Figure 2. Ssbp2 morpholino knockdown affects pronephric kidney development and function. (a) ssbp2.S/L pseudo-alleles and ssbp2* partial sequences. The initiation codon ATG is underlined. ssbp2-MO target site is highlighted in grey. Note that ssbp2* possesses a 15 nucleotides deletion (crossed out red characters) to prevent ssbp2-MO binding. (b) 8-cell stage Xenopus embryos were injected into a single V2 blastomere as indicated, fixed at stage 39 and subjected to WISH for the 1-NaK-ATPase to assess formation of the pronephric tubule. The uninjected contralateral side was used as an internal control. The percentage of embryos showing affected pronephros was quantified. Data in the graph is presented as mean. Statistical significance was evaluated using Chi-square test (****p<0.0001). *Represent the comparison to the uninjected group, represent the comparison to the St-MO injected group and # represent the comparison to the ssbp2-MO 15 ng injected group. (ce) 4-cell stage Xenopus embryos were injected into both ventral blastomeres as indicated and edema formation was analyzed at tadpole stage 45. (c) Uninjected embryo (1% with edema; n=88; N=3). (d) St-MO 30 ng injected embryo (11% with edema; n=81; N=3). (e) ssbp2-MO 30 ng injected embryos (38% with edema; n=68; N=3). N: number of independent experiments, n: number of embryos. Representative embryos are shown. |
|
|
Figure 3 Ssbp2 is required for normal glomus development. 8-cell stage Xenopus embryos were injected into a single V2 blastomere with 15 ng of St-MO or ssbp2-MO as indicated and the expression of glomus gene markers were analyzed by WISH at stage 35. The uninjected contralateral side was used as an internal control. (ae) WISH for wt1. (a) Uninjected embryo (n=30, N=3). (b, c) St-MO injected embryo (n=27, N=2). (d, e) ssbp2-MO injected embryo (n=54, N=4). (fj) WISH for nphs1. (f) Uninjected embryo (n=38, N=2). (g, h) St-MO injected embryo (n=40, N=2). (i, j) ssbp2-MO injected embryo (n=41, N=2). Representative embryos are shown. Magnification of the glomus region enclosed by the dotted squares. (k, l, m) Histological preparations of nphs1 WISH (transverse sections). nt: neural tube; sm: somites; nc: notochord; gm: glomus. (k, k, l, l, m, m) Magnification of the glomus enclosed by the black squares in k, l and m. *Indicates a reduction in the surface of the developing glomerular filtration barrier. (n,o) Quantification of the area stained by WISH for the different glomus markers (dotted red area in a and f).The ratio between the injected and control side is shown. Data in the graph is presented as mean and standard deviation. Each point represents a single embryo. Statistical significance was evaluated using KruskalWallis test and Dunns multiple comparisons test (****p<0.0001; ***p<0.001; *p<0.1). *Represent the comparison to the uninjected group, represent the comparison to the St-MO injected group. N: number of independent experiments, n: number of embryos. |
|
|
Figure 4. Ssbp2 loss-of-function impairs tubule morphogenesis. 8-cell stage Xenopus embryos were injected into a single V2 blastomere as indicated, fixed at stage 39 and subjected to WISH for 1-NaK-ATPase followed by immunostaining with 12/101 antibody to assess pronephros and somites development, respectively. The uninjected contralateral side was used as the internal control. (a, b) Uninjected embryo. (c, d) St-MO 15 ng injected embryo. (e, f) ssbp2-MO 15 ng injected embryo. (g, h) Rescue experiment. ssbp2-MO 15 ng+ssbp2* mRNA 25 pg coinjected embryo. The white square encloses the tubule convoluted area. dv: dorsalventral; ap: anteriorposterior. Lateral views, anterior to the left. Representative embryos are shown. (k) Quantification of the tubule convoluted area (dv x ap). The ratio between the injected and control side is shown. Data in the graph is presented as mean and standard deviation. Each point represents a single embryo. Statistical significance was evaluated using KruskalWallis test and Dunns multiple comparisons test (****p<0.0001; ***p<0.001). *Represent the comparison to the uninjected group, represent the comparison to the St-MO injected group and # represent the comparison to the ssbp2-MO injected group. N: number of independent experiments, n: number of embryos. |
|
|
Figure 5. Ssbp2 depletion reduces the expression domain of proximal and distal tubule markers. 8-cell stage Xenopus embryos were injected into a single V2 blastomere as indicated. The uninjected contralateral side was used as an internal control. (ae) WISH for pax2 in stage 32 embryos. *Indicate the position of the nephrostomes. (a) Uninjected embryo (8% affected, n=37, N=3). (b, c) St-MO 15 ng injected embryo (23% affected, n=40, N=2). (d, e) ssbp2-MO 15 ng injected embryo (66% affected, n=51, N=3). (fj) WISH for slc5a1 in stage 39 embryos. (f) Uninjected embryo (4% affected, n=47, N=2). (g, h) St-MO 15 ng injected embryo (19% affected, n=39, N=2). (i, j) ssbp2-MO 15 ng injected embryo (50% affected, n=34, N=2). (ko) WISH for clcnkb in stage 39 embryos. (k) Uninjected embryo (3% affected, n=35, N=2). (l, m) St-MO 15 ng injected embryo (23% affected, n=41, N=2). (n, o) ssbp2-MO 15 ng injected embryo (49% affected, n=33, N=2). Magnifications of the pronephric tubules enclosed by the black squares are shown in the left-bottom corner. Statistical significance was evaluated using Chi-square test (****p<0.0001; **p<0.01). *, Represent the comparison to the uninjected and the St-MO injected groups, respectively. Representative embryos are shown. |
|
|
Figure 6. Ssbp2 depletion affects pronephros terminal differentiation. 8-cell stage Xenopus embryos were injected into a single V2 blastomere as indicated. The uninjected contralateral side was used as an internal control. (af) 3G8 whole-mount immunostaining was carried out at stage 37/38. (a, b) Uninjected embryo. (c, d) St-MO 15 ng injected embryo. (e, f) ssbp2-MO 15 ng injected embryo. (af) Magnifications (bottom) and schemes (top) of the proximal tubules enclosed by the white squares in a-f. Numbers indicate the tubule components. (g) The pronephric index (PNI) was scored as the difference between the number of proximal tubules components on both sides of the same embryo (PNI=0 indicates two identical proximal tubules). The percentage of embryos exhibiting different PNI values is shown. Data in the graph is presented as mean. (ho) 4A6 whole-mount immunostaining were carried out at stage 42. Magnifications of the distal tubule enclosed by the white square are shown for each side of the embryo. (h, i) Uninjected embryo (8% affected; n=40; N=2). (j, k) St-MO 15 ng injected embryo (28% affected; n=34; N=2). (l, m) ssbp2-MO-MO 15 ng injected embryo (59% affected; n=61; N=3). Statistical significance was evaluated using Chi-square test (****p<0.0001; **p<0.01). *, Represent the comparison to the uninjected and the St-MO injected groups, respectively. N: number of independent experiments, n: number of embryos. (n, o) Histological preparations (transverse sections) of the embryo shown in l and m. pt: proximal tubule; sm: somites; dt: distal tubule. Representative embryos are shown. |
|
|
ssbp2 (single-stranded DNA binding protein 2) gene expression in X. laevis embryo, NF stage 15, assayed via in situ hybridization, anterior view, dorsal up. |
|
|
ssbp2 (single-stranded DNA binding protein 2) gene expression in X. laevis embryo, NF stage 20 assayed via in situ hybridization, lateral view, anterior left, dorsal up. |
|
|
ssbp2 (single-stranded DNA binding protein 2) gene expression in X. laevis embryo, assayed via in situ hybridization at NF stage 20, mid-trunk transverse section, dorsal up. |
|
|
ssbp2 (single-stranded DNA binding protein 2) gene expression in X. laevis embryo, NF stage 21 assayed via in situ hybridization, lateral view, anterior left, dorsal up. |
|
|
ssbp2 (single-stranded DNA binding protein 2) gene expression in X. laevis embryo, NF stage 25 assayed via in situ hybridization, lateral view, anterior left, dorsal up. |
|
|
ssbp2 (single-stranded DNA binding protein 2) gene expression in X. laevis embryo, NF stage 32 assayed via in situ hybridization, lateral view, anterior left, dorsal up. |
|
|
|
|
|
|
|
|
atp1b1 (ATPase Na+/K+ transporting subunit beta 1) gene expression in X. laevis embryo, NF stage 39, assayed via in situ hybridization. trunk region, lateral view, anterior left, dorsal up. |
|
|
clcnkb (chloride voltage-gated channel Kb) gene expression in X. laevis embryo, NF stage 39, assayed via in situ hybridization, lateral view, anterior left, dorsal up. |
|
|
Supplementary Figure S2. Validation of the ssbp2-MO specificity. (a) Scheme of the ssbp2-eGFP mRNA reporter showing the ssbp2-MO target site. (b-e) 2-cell stage Xenopus embryos were injected into both blastomeres with 1 ng of ssbp2-eGFP mRNA in the presence or absence of the standard control morpholino (St-MO) or the ssbp2-MO (15 ng). Green fluorescence was analyzed in early gastrula stage embryos (S10.5) to allow ssbp2-eGFP mRNA translation. Vegetal views. (b) Uninjected embryos (0/40 with fluorescence). (c) ssbp2-eGFP injected embryos (39/40 with fluorescence). (d) ssbp2-eGFP + St-MO co-injected embryos (43/43 with fluorescence). (e) ssbp2-eGFP + ssbp2-MO co-injected embryos (2/52 with fluorescence). Note ssbp2-MO specifically reduced ssbp2-eGFP translation. Two independent experiments were performed. Representative embryos are shown. |
|
|
Supplementary Figure S3. Ssbp2 is not essential for establishment of the pronephric field. 8-cell stage Xenopus embryos were injected into a single V2 blastomere as indicated. The uninjected contralateral side was used as internal control. (a-c) WISH for pax8 in late neurula stage embryos (S20). Dorsal views, anterior up. (a) Uninjected embryo (3% affected; n = 107; N = 6). (b) St-MO 15 ng injected embryo (11% affected; n = 36; N = 2). (c) ssbp2-MO 15 ng injected embryo (18% affected; n = 89; N = 5). (d-e) WISH for ors2 in mid-neurula stage embryos (S17). Transverse hemi sections, dorsal up. (d) Uninjected embryo (7% affected; n = 29; N = 2). (e) St-MO 15 ng injected embryo (7% affected; n = 43; N = 3). (f) ssbp2-MO 15 ng injected embryo (12% affected; n = 60; N = 3). Statistical significance was evaluated using Chi-square test. No significant differences were found between groups. N: number of independent experiments, n: number of embryos. Representative embryos are shown. |
|
|
Supplementary Figure S4. Ssbp2 is necessary for pronephric field morphogenesis. 8-cell stage Xenopus embryos were injected into a single V2 blastomere as indicated. Pax8 expression domain was analyzed by WISH in early tailbud stage embryos (S26) and the uninjected contralateral side was used as internal control. (a,b) Uninjected embryo (0% affected, n = 36, N = 3). (c,d) St-MO 15 ng injected embryo (14% affected, n = 29, N = 2). (e-h) ssbp2-MO 15 ng injected embryos (55% affected, n = 40, N = 3). Representative embryos are shown. N: number of independent experiments, n: number of embryos. Representative embryos are shown. |
|
|
Supplementary Figure S5. Ssbp2 depletion affects proximal and distal tubule development. 8-cell stage Xenopus embryos were injected into a single V2 blastomere as indicated. The uninjected contralateral side was used as an internal control. (a-e) WISH for lhx1 in 32 stage embryos. (a) Uninjected embryo (2% affected, n = 54, N = 3). (b,c) St-MO 15 ng injected embryo (5% affected, n = 56, N = 3). (d,e) ssbp2-MO 15 ng injected embryo (43% affected, n = 70, N = 3). (f-j) WISH for pax8 in 32 stage embryos. (f) Uninjected embryo (5% affected, n = 40, N = 2). (g,h) St-MO 15 ng injected embryo (10% affected, n = 41, N = 2). (i,j) ssbp2-MO 15 ng injected embryo (44% affected, n = 54, N = 3). (k-o) WISH for hoxb7 in stage 32 embryos. (k) Uninjected embryo (10% affected, n = 40, N = 2). (l,m) St-MO 15 ng injected embryo (31% affected, n = 35, N = 2). (n,o) ssbp2-MO 15 ng injected embryo (68% affected, n = 38, N = 2). Magnifications of the pronephric tubules enclosed by the black squares are shown in the left-bottom corner. Statistical significance was evaluated using Chi-square test (****p < 0.0001; ***p < 0.001). Representative embryos are shown. (p) Quantification of the tubule length in the most anterior hoxb7 expression domain revealed by WISH (dotted red lines in f-j). The ratio between the injected and the control side is shown. Data in graph is presented as mean and standard deviation. Each point represents a single embryo. Statistical significance was evaluated using KruskalWallis test and Dunns multiple comparisons test (**** p < 0.0001; ***p < 0.001). * represent the comparison to the uninjected group and represents the comparison to the St-MO injected group. N: number of independent experiments, n: number of embryos. |
|
|
osr2 (odd-skipped related transcription factor 2) gene expression in X. laevis embryo assayed via in situ hybridization, NF stage 17, in transverse section, dorsal up. |
|
|
Figure 3. Ssbp2 is required for normal glomus development. 8-cell stage Xenopus embryos were injected into a single V2 blastomere with 15 ng of St-MO or ssbp2-MO as indicated and the expression of glomus gene markers were analyzed by WISH at stage 35. The uninjected contralateral side was used as an internal control. (a–e) WISH for wt1. (a) Uninjected embryo (n = 30, N = 3). (b, c) St-MO injected embryo (n = 27, N = 2). (d, e) ssbp2-MO injected embryo (n = 54, N = 4). (f–j) WISH for nphs1. (f) Uninjected embryo (n = 38, N = 2). (g, h) St-MO injected embryo (n = 40, N = 2). (i, j) ssbp2-MO injected embryo (n = 41, N = 2). Representative embryos are shown. Magnification of the glomus region enclosed by the dotted squares. (k, l, m) Histological preparations of nphs1 WISH (transverse sections). nt: neural tube; sm: somites; nc: notochord; gm: glomus. (k’, k’’, l’, l’’, m’, m’’) Magnification of the glomus enclosed by the black squares in k, l and m. *Indicates a reduction in the surface of the developing glomerular filtration barrier. (n,o) Quantification of the area stained by WISH for the different glomus markers (dotted red area in a and f).The ratio between the injected and control side is shown. Data in the graph is presented as mean and standard deviation. Each point represents a single embryo. Statistical significance was evaluated using Kruskal–Wallis test and Dunn’s multiple comparisons test (****p < 0.0001; ***p < 0.001; *p < 0.1). *Represent the comparison to the uninjected group, †represent the comparison to the St-MO injected group. N: number of independent experiments, n: number of embryos. |
External Resources: Proteomic dataset PXD041761 on PRIDE
References [+] :
Baine,
Transcriptional profiling of peripheral blood mononuclear cells in pancreatic cancer patients identifies novel genes with potential diagnostic utility.
2011, Pubmed
Baine, Transcriptional profiling of peripheral blood mononuclear cells in pancreatic cancer patients identifies novel genes with potential diagnostic utility. 2011, Pubmed
Barnes, Embryonic expression of Lim-1, the mouse homolog of Xenopus Xlim-1, suggests a role in lateral mesoderm differentiation and neurogenesis. 1994, Pubmed , Xenbase
Bayarsaihan, Cloning and characterization of a novel sequence-specific single-stranded-DNA-binding protein. 1998, Pubmed
Blackburn, Modeling congenital kidney diseases in Xenopus laevis. 2019, Pubmed , Xenbase
Bouchard, Nephric lineage specification by Pax2 and Pax8. 2002, Pubmed
Bowes, Xenbase: gene expression and improved integration. 2010, Pubmed , Xenbase
Brändli, Towards a molecular anatomy of the Xenopus pronephric kidney. 1999, Pubmed , Xenbase
Brennan, The specification and growth factor inducibility of the pronephric glomus in Xenopus laevis. 1999, Pubmed , Xenbase
Bronstein, Transcriptional regulation by CHIP/LDB complexes. 2010, Pubmed
Buisson, Pax8 and Pax2 are specifically required at different steps of Xenopus pronephros development. 2015, Pubmed , Xenbase
Carroll, Synergism between Pax-8 and lim-1 in embryonic kidney development. 1999, Pubmed , Xenbase
Carroll, Dynamic patterns of gene expression in the developing pronephros of Xenopus laevis. 1999, Pubmed , Xenbase
Cartry, Retinoic acid signalling is required for specification of pronephric cell fate. 2006, Pubmed , Xenbase
Cervino, Furry is required for cell movements during gastrulation and functionally interacts with NDR1. 2021, Pubmed , Xenbase
Chan, A model system for organ engineering: transplantation of in vitro induced embryonic kidney. 1999, Pubmed , Xenbase
Chan, A role for Xlim-1 in pronephros development in Xenopus laevis. 2000, Pubmed , Xenbase
Chen, Ssdp proteins interact with the LIM-domain-binding protein Ldb1 to regulate development. 2002, Pubmed , Xenbase
Cirio, Lhx1 is required for specification of the renal progenitor cell field. 2011, Pubmed , Xenbase
Cizelsky, The Wnt/JNK signaling target gene alcam is required for embryonic kidney development. 2014, Pubmed , Xenbase
Corkins, A comparative study of cellular diversity between the Xenopus pronephric and mouse metanephric nephron. 2023, Pubmed , Xenbase
Costello, Lhx1 functions together with Otx2, Foxa2, and Ldb1 to govern anterior mesendoderm, node, and midline development. 2015, Pubmed
Desgrange, Nephron Patterning: Lessons from Xenopus, Zebrafish, and Mouse Studies. 2015, Pubmed , Xenbase
Dressler, The cellular basis of kidney development. 2006, Pubmed , Xenbase
Drews, The nephrogenic potential of the transcription factors osr1, osr2, hnf1b, lhx1 and pax8 assessed in Xenopus animal caps. 2011, Pubmed , Xenbase
Enkhmandakh, The role of the proline-rich domain of Ssdp1 in the modular architecture of the vertebrate head organizer. 2006, Pubmed
Espiritu, The Lhx1-Ldb1 complex interacts with Furry to regulate microRNA expression during pronephric kidney development. 2018, Pubmed , Xenbase
Gawantka, Gene expression screening in Xenopus identifies molecular pathways, predicts gene function and provides a global view of embryonic patterning. 1998, Pubmed , Xenbase
Guillaume, Paraxial mesoderm contributes stromal cells to the developing kidney. 2009, Pubmed
Haldin, The lmx1b gene is pivotal in glomus development in Xenopus laevis. 2008, Pubmed , Xenbase
Hiratani, Selective degradation of excess Ldb1 by Rnf12/RLIM confers proper Ldb1 expression levels and Xlim-1/Ldb1 stoichiometry in Xenopus organizer functions. 2003, Pubmed , Xenbase
Howland, On the Effect of Removal of the Pronephros of the Amphibian Embryo. 1916, Pubmed
Huang, Blastomeres show differential fate changes in 8-cell Xenopus laevis embryos that are rotated 90 degrees before first cleavage. 1998, Pubmed , Xenbase
Hukriede, Conserved requirement of Lim1 function for cell movements during gastrulation. 2003, Pubmed , Xenbase
James, Patterning of the avian intermediate mesoderm by lateral plate and axial tissues. 2003, Pubmed
Jones, Xenopus: a prince among models for pronephric kidney development. 2005, Pubmed , Xenbase
Kim, Single-stranded DNA binding protein 2 expression is associated with patient survival in hepatocellular carcinoma. 2018, Pubmed
Kodjabachian, A study of Xlim1 function in the Spemann-Mangold organizer. 2001, Pubmed , Xenbase
Lee, Single-stranded DNA binding proteins are required for LIM complexes to induce transcriptionally active chromatin and specify spinal neuronal identities. 2016, Pubmed
Lienkamp, Using Xenopus to study genetic kidney diseases. 2016, Pubmed , Xenbase
Lindenmeyer, Systematic analysis of a novel human renal glomerulus-enriched gene expression dataset. 2010, Pubmed
Liu, ssDNA-binding protein 2 is frequently hypermethylated and suppresses cell growth in human prostate cancer. 2008, Pubmed
Mauch, Signals from trunk paraxial mesoderm induce pronephros formation in chick intermediate mesoderm. 2000, Pubmed
Miller, Pronephric tubulogenesis requires Daam1-mediated planar cell polarity signaling. 2011, Pubmed , Xenbase
Moody, Fates of the blastomeres of the 32-cell-stage Xenopus embryo. 1987, Pubmed , Xenbase
Moriya, Induction of Pronephric Tubules by Activin and Retinoic Acid in Presumptive Ectoderm of Xenopus laevis: (RA/kidney/mesoderm induction/Xenopus laevis). 1993, Pubmed , Xenbase
Mukhopadhyay, Functional ablation of the mouse Ldb1 gene results in severe patterning defects during gastrulation. 2003, Pubmed
Nakano, OTX2 directly interacts with LIM1 and HNF-3beta. 2000, Pubmed
Nishioka, Ssdp1 regulates head morphogenesis of mouse embryos by activating the Lim1-Ldb1 complex. 2005, Pubmed
Osafune, In vitro induction of the pronephric duct in Xenopus explants. 2002, Pubmed , Xenbase
Shawlot, Requirement for Lim1 in head-organizer function. 1995, Pubmed
Smith, Biochemical specificity of Xenopus notochord. 1985, Pubmed , Xenbase
Taira, Expression of the LIM class homeobox gene Xlim-1 in pronephros and CNS cell lineages of Xenopus embryos is affected by retinoic acid and exogastrulation. 1994, Pubmed , Xenbase
Taira, The LIM domain-containing homeo box gene Xlim-1 is expressed specifically in the organizer region of Xenopus gastrula embryos. 1992, Pubmed , Xenbase
Tena, Odd-skipped genes encode repressors that control kidney development. 2007, Pubmed , Xenbase
Tran, Xenopus Bicaudal-C is required for the differentiation of the amphibian pronephros. 2007, Pubmed , Xenbase
Uochi, Sequential gene expression during pronephric tubule formation in vitro in Xenopus ectoderm. 1996, Pubmed , Xenbase
van Meyel, Ssdp proteins bind to LIM-interacting co-factors and regulate the activity of LIM-homeodomain protein complexes in vivo. 2003, Pubmed
Vize, Development of the Xenopus pronephric system. 1995, Pubmed , Xenbase
Wallingford, Precocious expression of the Wilms' tumor gene xWT1 inhibits embryonic kidney development in Xenopus laevis. 1998, Pubmed , Xenbase
Wang, SSBP2 is an in vivo tumor suppressor and regulator of LDB1 stability. 2010, Pubmed
Wang, Crystal structure of the LUFS domain of human single-stranded DNA binding Protein 2 (SSBP2). 2019, Pubmed
Wang, Crystal structure of human LDB1 in complex with SSBP2. 2020, Pubmed
Wingert, The zebrafish pronephros: a model to study nephron segmentation. 2008, Pubmed , Xenbase
Xiao, SSBP2 variants are associated with survival in glioblastoma patients. 2012, Pubmed
Xu, Single-stranded DNA-binding proteins regulate the abundance of LIM domain and LIM domain-binding proteins. 2007, Pubmed
Yasuoka, LIM homeodomain proteins and associated partners: Then and now. 2021, Pubmed , Xenbase
Yasuoka, Occupancy of tissue-specific cis-regulatory modules by Otx2 and TLE/Groucho for embryonic head specification. 2014, Pubmed , Xenbase
Zhou, Proximo-distal specialization of epithelial transport processes within the Xenopus pronephric kidney tubules. 2004, Pubmed , Xenbase
