Click here to close Hello! We notice that you are using Internet Explorer, which is not supported by Xenbase and may cause the site to display incorrectly. We suggest using a current version of Chrome, FireFox, or Safari.
XB-ART-56658
Nucleic Acids Res 2020 Apr 06;486:3328-3342. doi: 10.1093/nar/gkaa062.
Show Gene links Show Anatomy links

Structural basis of the fanconi anemia-associated mutations within the FANCA and FANCG complex.

Jeong E, Lee SG, Kim HS, Yang J, Shin J, Kim Y, Kim J, Schärer OD, Kim Y, Yeo JE, Kim HM, Cho Y.


???displayArticle.abstract???
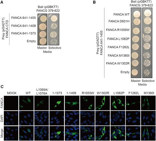
Monoubiquitination of the Fanconi anemia complementation group D2 (FANCD2) protein by the FA core ubiquitin ligase complex is the central event in the FA pathway. FANCA and FANCG play major roles in the nuclear localization of the FA core complex. Mutations of these two genes are the most frequently observed genetic alterations in FA patients, and most point mutations in FANCA are clustered in the C-terminal domain (CTD). To understand the basis of the FA-associated FANCA mutations, we determined the cryo-electron microscopy (EM) structures of Xenopus laevis FANCA alone at 3.35 Å and 3.46 Å resolution and two distinct FANCA-FANCG complexes at 4.59 and 4.84 Å resolution, respectively. The FANCA CTD adopts an arc-shaped solenoid structure that forms a pseudo-symmetric dimer through its outer surface. FA- and cancer-associated point mutations are widely distributed over the CTD. The two different complex structures capture independent interactions of FANCG with either FANCA C-terminal HEAT repeats, or the N-terminal region. We show that mutations that disturb either of these two interactions prevent the nuclear localization of FANCA, thereby leading to an FA pathway defect. The structure provides insights into the function of FANCA CTD, and provides a framework for understanding FA- and cancer-associated mutations.

???displayArticle.pubmedLink??? 32002546
???displayArticle.pmcLink??? PMC7102982
???displayArticle.link??? Nucleic Acids Res


Species referenced: Xenopus laevis
Genes referenced: fanca fancg
???displayArticle.antibodies??? Fanca AB1

???displayArticle.disOnts??? Fanconi anemia

???attribute.lit??? ???displayArticles.show???
External Resources: CTD
          
          

References [+] :
Adachi, Heterogeneous activation of the Fanconi anemia pathway by patient-derived FANCA mutants. 2002, Pubmed