|
Literature for OMIM 244400: CILIARY DYSKINESIA, PRIMARY, 1; CILD1
Xenbase Articles:
(
| A positive feedback mechanism governs the polarity and motion of motile cilia., Mitchell B,Jacobs R,Li J,Chien S,Kintner C, Nature. May 3, 2007; 447(7140):0143-5221. |
| Mutations in CCNO result in congenital mucociliary clearance disorder with reduced generation of multiple motile cilia., Wallmeier J,Chen CT,Loges NT,Pennekamp P,Ma L,Shamseldin HE,Olbrich H,Werner C,Alsabah BH,Köhler G,Jaspers M,Boon M,Schmitt-Grohé S,Zimmermann T,Koerner-Rettberg C,Horak E,Kintner C,Omran H,Al-Mutairi DA,Menchen T,Dougherty GW,Griese M,Alkuraya FS, Nat Genet. June 1, 2014; 46(6):1546-1718. |
|
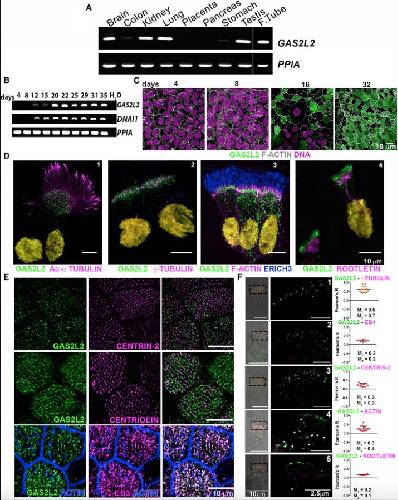
A liquid-like organelle at the root of motile ciliopathy.,
Huizar RL,Lee C,Lee C,Lee C,Horani A,Tu F,Marcotte EM,Wallingford JB,Boulgakov AA,Brody SL,
Elife. December 18, 2018; 7:2050-084X.
|
|
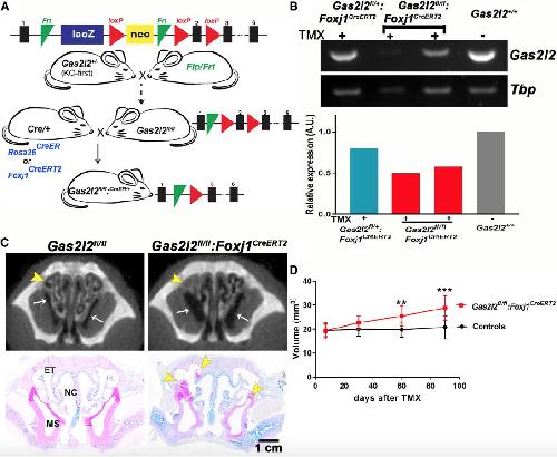
Lack of GAS2L2 Causes PCD by Impairing Cilia Orientation and Mucociliary Clearance.,
Bustamante-Marin XM,Yin WN,Sears PR,Werner ME,Brotslaw EJ,Mitchell BJ,Jania CM,Zeman KL,Rogers TD,Herring LE,Refabért L,Thomas L,Amselem S,Escudier E,Legendre M,Grubb BR,Knowles MR,Zariwala MA,Ostrowski LE,
Am J Hum Genet. February 7, 2019; 104(2):1537-6605.
|
|
The FOXJ1 target Cfap206 is required for sperm motility, mucociliary clearance of the airways and brain development.,
Beckers A,Adis C,Schuster-Gossler K,Tveriakhina L,Ott T,Fuhl F,Hegermann J,Boldt K,Serth K,Rachev E,Alten L,Kremmer E,Ueffing M,Blum M,Gossler A,
Development. June 15, 2020; 147(21):1477-9129.
|
|
Genomic Complexity of ccdc40 in Xenopus : Implications for CRISPR Targeting and Disease Modeling.,
Nakayama T,Kulkarni S,
MicroPubl Biol. May 9, 2025; 2025:2578-9430.
|
