|
Literature for OMIM 180200: RETINOBLASTOMA; RB1
Xenbase Articles:
(
|
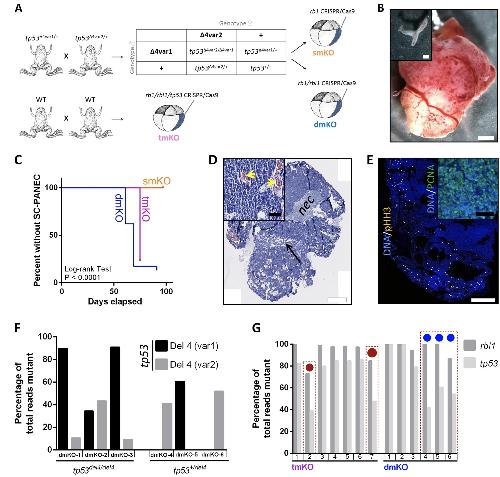
CRISPR/Cas9 mediated knockout of rb1 and rbl1 leads to rapid and penetrant retinoblastoma development in Xenopus tropicalis.,
Naert T,Colpaert R,Dimitrakopoulou D,Leoen J,Haustraete J,Boel A,Lepez T,Deforce D,Willaert A,Creytens D,Van Nieuwenhuysen T,Steyaert W,Vleminckx K,
Sci Rep. October 14, 2016; 6:2045-2322.
|
|
TALENs and CRISPR/Cas9 fuel genetically engineered clinically relevant Xenopus tropicalis tumor models.,
Naert T,Van Nieuwenhuysen T,Vleminckx K,
Genesis. January 1, 2017; 55(1-2):1526-968X.
|
|
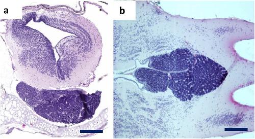
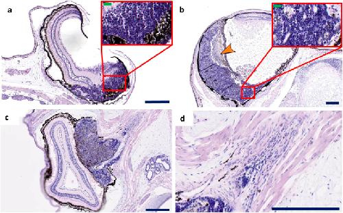
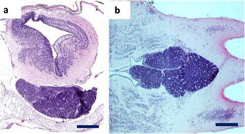
RBL1 (p107) functions as tumor suppressor in glioblastoma and small-cell pancreatic neuroendocrine carcinoma in Xenopus tropicalis.,
Naert T,Dimitrakopoulou D,Tulkens D,Demuynck S,Carron M,Noelanders R,Eeckhout L,Van Isterdael G,Deforce D,Vanhove C,Van Dorpe J,Creytens D,Vleminckx K,
Oncogene. March 1, 2020; 39(13):0950-9232.
|
