|
Literature for DOID 3393: coronary artery disease
Xenbase Articles
(
|
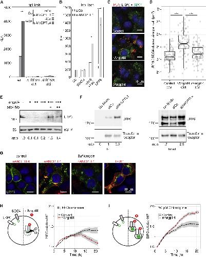
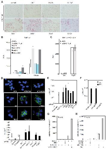
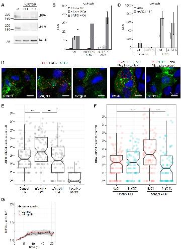
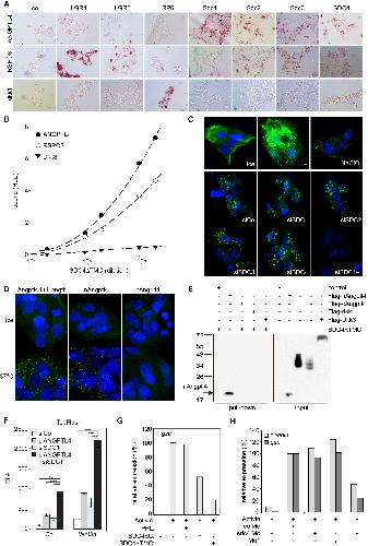
Angiopoietin-like 4 Is a Wnt Signaling Antagonist that Promotes LRP6 Turnover.,
Kirsch N,Chang LS,Koch S,Glinka A,Dolde C,Colozza G,Benitez MDJ,De Robertis EM,Niehrs C,
Dev Cell. October 9, 2017; 43(1):1878-1551.
|
