Click here to close Hello! We notice that you are using Internet Explorer, which is not supported by Xenbase and may cause the site to display incorrectly. We suggest using a current version of Chrome, FireFox, or Safari.
Summary Literature (11)
Literature for DOID 1909: melanoma


Xenbase Articles :
( Denotes literature images)
Resting potential, oncogene-induced tumorigenesis, and metastasis: the bioelectric basis of cancer in vivo., Lobikin M,Chernet B,Lobo D,Levin M, Phys Biol. December 1, 2012; 9(6):1478-3975.
Musculocontractural Ehlers-Danlos syndrome and neurocristopathies: dermatan sulfate is required for Xenopus neural crest cells to migrate and adhere to fibronectin., Gouignard N,Maccarana M,Strate I,von Stedingk K,Malmström A,Pera EM, Dis Model Mech. June 1, 2016; 9(6):1754-8411.
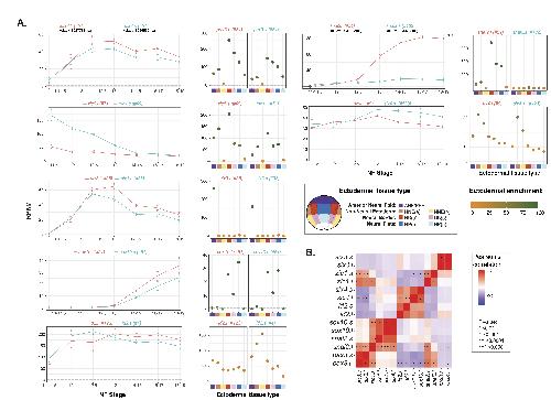
A molecular atlas of the developing ectoderm defines neural, neural crest, placode, and nonneural progenitor identity in vertebrates., Plouhinec JL,Medina-Ruiz S,Borday C,Bernard E,Vert JP,Eisen MB,Harland RM,Monsoro-Burq AH, PLoS Biol. October 19, 2017; 15(10):1545-7885.
DNp73-induced degradation of tyrosinase links depigmentation with EMT-driven melanoma progression., Fürst K,Steder M,Logotheti S,Angerilli A,Spitschak A,Marquardt S,Schumacher T,Engelmann D,Herchenröder O,Rupp RAW,Pützer BM, Cancer Lett. February 1, 2019; 442:0304-3835.
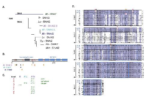
ADAM11 a novel regulator of Wnt and BMP4 signaling in neural crest and cancer., Pandey A,Cousin H,Horr B,Alfandari D,Alfandari D, Front Cell Dev Biol. January 1, 2023; 11:2296-634X.
Na,K-ATPase activity promotes macropinocytosis in colon cancer via Wnt signaling., Tejeda-Muñoz N,Azbazdar Y,Sosa EA,Monka J,Wei PS,Binder G,Mei KC,Kurmangaliyev YZ,De Robertis EM, Biol Open. May 15, 2024; 13(5):2046-6390.
Xenopus as a model system for studying pigmentation and pigmentary disorders., El Mir J,Nasrallah A,Thézé N,Cario M,Fayyad-Kazan H,Thiébaud P,Rezvani HR, Pigment Cell Melanoma Res. January 7, 2024; 38(1):1755-148X.
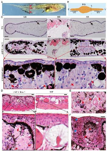
Cutaneous Pigment Cell Distributions and Skin Structure of Xenopus., Liang W,Hou C,Zhu Z,Wang P,Wang X,Li Z,Xue J,Ran R, Pigment Cell Melanoma Res. May 1, 2025; 38(3):1755-148X.
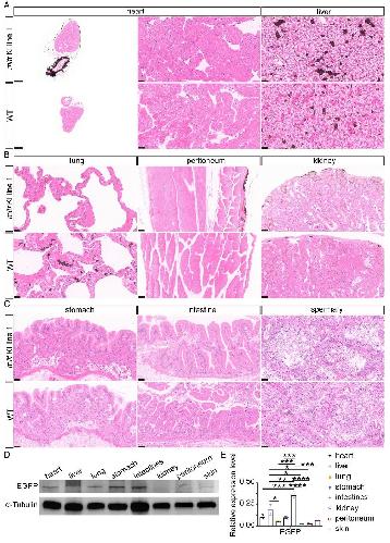
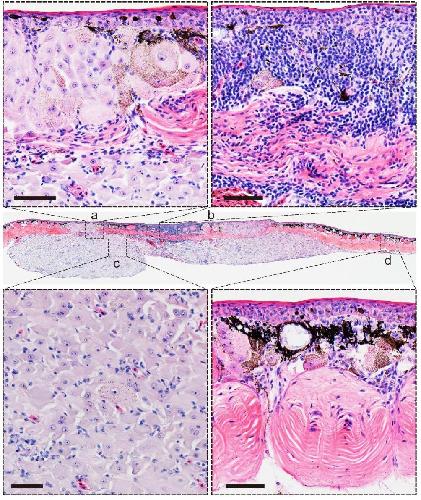
Versatile Xenopus tropicalis model with targeted integration of human BRAFV600E., Ran R,Li L,Chen P,Li S,Wang P,Zhu Z,Wang X,Chen Y,Hang J,Liang W, Proc Natl Acad Sci U S A. September 30, 2025; 122(39):1091-6490.
Evolutionary adaptations of TRPA1 thermosensitivity and skin thermoregulation in vertebrates., Bertolesi GE,Heshami N,McFarlane S, iScience. August 19, 2025; 28(9):2589-0042.
Wdr5 and Myc cooperate to regulate formation of neural crest stem cells., Compton K,Barter E,LaBonne C, Development. January 15, 2026; 153(2):1477-9129.