Click here to close Hello! We notice that you are using Internet Explorer, which is not supported by Xenbase and may cause the site to display incorrectly. We suggest using a current version of Chrome, FireFox, or Safari.
Summary Literature (1)
Literature for DOID 0050602: triple-A syndrome


Xenbase Articles :
( Denotes literature images)
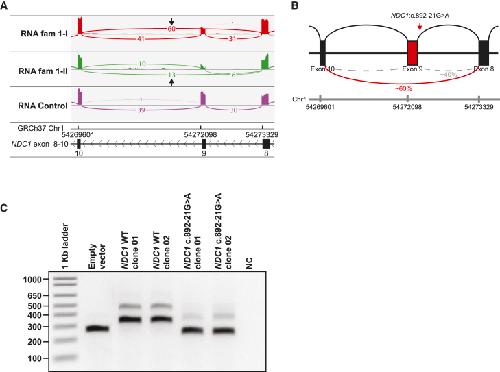
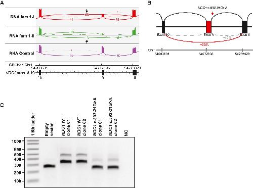
Biallelic NDC1 variants that interfere with ALADIN binding are associated with neuropathy and triple A-like syndrome., Smits DJ,Dekker J,Douben H,Schot R,Magee H,Bakhtiari S,Koehler K,Huebner A,Schuelke M,Darvish H,Vosoogh S,Tafakhori A,Jameie M,Taghiabadi E,Wilson Y,Shah M,van Slegtenhorst MA,Medici-van den Herik EG,van Ham TJ,Kruer MC,Mancini GMS, HGG Adv. July 10, 2024; 5(4):2666-2477.