|
Literature for DOID 0050144: Kartagener syndrome
Xenbase Articles
(
|
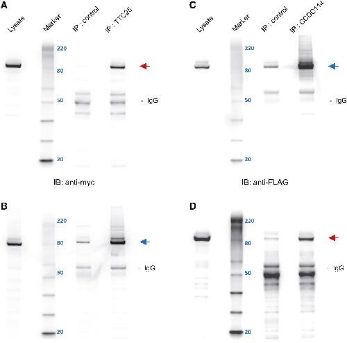
TTC25 Deficiency Results in Defects of the Outer Dynein Arm Docking Machinery and Primary Ciliary Dyskinesia with Left-Right Body Asymmetry Randomization.,
Wallmeier J,Shiratori H,Dougherty GW,Edelbusch C,Hjeij R,Loges NT,Menchen T,Olbrich H,Pennekamp P,Raidt J,Werner C,Minegishi K,Shinohara K,Asai Y,Takaoka K,Lee C,Lee C,Lee C,Griese M,Memari Y,Durbin R,Kolb-Kokocinski A,Sauer S,Wallingford JB,Hamada H,Omran H,
Am J Hum Genet. August 4, 2016; 99(2):1537-6605.
|
