|
XB-GRNA-23659188
gRNA Name:
cfap206 gRNA2
Synonyms: cfap206 sgRNA2
Genomic Target: cfap206
Sequence: 5' TGCCCAGGAATGTGCGGTGAAGG 3'
Synonyms: cfap206 sgRNA2
Genomic Target: cfap206
Sequence: 5' TGCCCAGGAATGTGCGGTGAAGG 3'
| Genomic Target | laevis.L | ||||||
| Identities | 23/23 | ||||||
genome
gRNA
|
5' CCTTCACCGCACATTCCTGGGCA 3' ||||||||||||||||||||||| 3' GGAAGTGGCGTGTAAGGACCCGT 5' |
||||||
| Genomic Alignments |
Position | Identity | Strand | Target | Genomic Target | ||
| laevis 10.1 | Chr5L:78524390..78524412 | 23/23 | Sense | target | cfap206.L | tropicalis 10.0 | Chr9:85421485..85421507 | 19/23 | Antisense | off-target | tns1 |
| Chr4:21873706..21873728 | 19/23 | Antisense | off-target | tnnt3 | |||
| Chr9:85421485..85421507 | 19/23 | Sense | off-target | LOC116407773 | |||
| Chr1:84915826..84915848 | 19/23 | unknown | |||||
| Publications | |||||||
| ???morpholino.displaySummary.papersFirst??? |
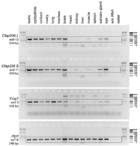
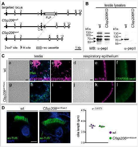
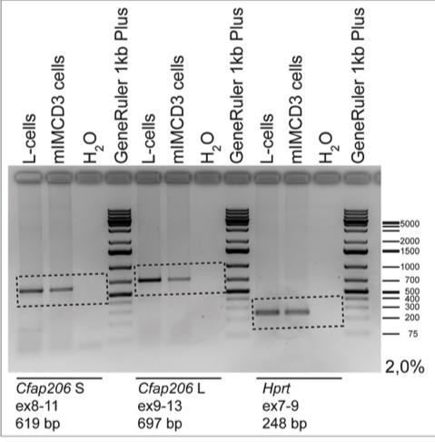
The FOXJ1 target Cfap206 is required for sperm motility, mucociliary clearance of the airways and brain development., Development 2020 |
||||||
| ???morpholino.displaySummary.papersRecent??? | |||||||
| ???morpholino.displaySummary.papersAll??? | |||||||
