|
XB-MORPHOLINO-18328632
Morpholino Name:
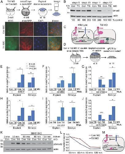
tril MO1
Synonyms:
Target mRNA: tril
Morpholino Type: uncategorized morpholino
Sequence: 5' CCAAAATCTGGGCATCACCTTTC 3'
Source: Gene Tools LLC
Synonyms:
Target mRNA: tril
Morpholino Type: uncategorized morpholino
Sequence: 5' CCAAAATCTGGGCATCACCTTTC 3'
Source: Gene Tools LLC
| Target mRNA | tropicalis | laevis.L | laevis.S | ||||
| Identities | 23/23 | 23/23 | 23/23 | ||||
genome
MO
|
5' GAAAGGTGATGCCCAGATTTTGG 3' ||||||||||||||||||||||| 3' CTTTCCACTACGGGTCTAAAACC 5' |
5' GAAAGGTGATGCCCAGATTTTGG 3' ||||||||||||||||||||||| 3' CTTTCCACTACGGGTCTAAAACC 5' |
5' GAAAGGTGATGCCCAGATTTTGG 3' ||||||||||||||||||||||| 3' CTTTCCACTACGGGTCTAAAACC 5' |
||||
| Genomic Alignments |
Position | Identity | Strand | Target | Target mRNA | ||
| laevis 10.1 | Chr6L:44467782..44467804 | 23/23 | Antisense | target | tril.L | ||
| Chr6S:35748068..35748090 | 23/23 | Antisense | target | tril.S | |||
| Chr2S:23138583..23138605 | 19/23 | Antisense | off-target | LOC108709253 | |||
| Chr6L:88862989..88863011 | 20/23 | unknown | |||||
| Chr8S:51466740..51466762 | 19/23 | unknown | |||||
| Chr2L:171474872..171474894 | 19/23 | unknown | tropicalis 10.0 | Chr6:43196607..43196629 | 23/23 | Antisense | target | tril |
| Chr4:96519075..96519097 | 20/23 | Antisense | off-target | rab3b | |||
| Chr8:115793029..115793051 | 19/23 | Antisense | off-target | pacs2 | |||
| Chr4:13244737..13244759 | 19/23 | Antisense | off-target | chrm4 | |||
| Chr4:13245255..13245277 | 19/23 | Antisense | off-target | chrm4 | |||
| Chr4:79366868..79366890 | 20/23 | unknown | |||||
| Publications | |||||||
| ???morpholino.displaySummary.papersFirst??? |
Tril targets Smad7 for degradation to allow hematopoietic specification in Xenopus embryos., Development 2016 |
||||||
| ???morpholino.displaySummary.papersRecent??? |
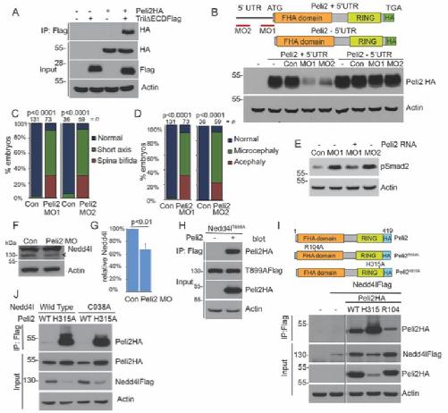
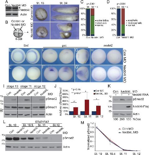
Tril dampens Nodal signaling through Pellino2- and Traf6-mediated activation of Nedd4l., Proc Natl Acad Sci U S A 2021 |
||||||
| ???morpholino.displaySummary.papersAll??? | |||||||
