|
XB-MORPHOLINO-17251708
Morpholino Name:
cldn5 MO3
Synonyms:
Target mRNA: cldn5
Morpholino Type: translation blocking morpholino (ATG)
Sequence: 5' TCTCCATTCCTACCGATGCCATTTC 3'
Source: Gene Tools LLC
Synonyms:
Target mRNA: cldn5
Morpholino Type: translation blocking morpholino (ATG)
Sequence: 5' TCTCCATTCCTACCGATGCCATTTC 3'
Source: Gene Tools LLC
| Target mRNA | laevis.S | ||||||
| Identities | 25/25 | ||||||
genome
MO
|
5' GAAATGGCATCGGTAGGAATGGAGA 3' ||||||||||||||||||||||||| 3' CTTTACCGTAGCCATCCTTACCTCT 5' |
||||||
| Genomic Alignments |
Position | Identity | Strand | Target | Target mRNA | ||
| laevis 10.1 | Chr1S:143104279..143104303 | 25/25 | Antisense | target | cldn5.S | ||
| Chr1S:64206475..64206499 | 21/25 | unknown | |||||
| Publications | |||||||
| ???morpholino.displaySummary.papersFirst??? |
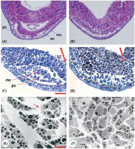
Claudin5 genes encoding tight junction proteins are required for Xenopus heart formation., Dev Growth Differ 2010 |
||||||
| ???morpholino.displaySummary.papersRecent??? | |||||||
| ???morpholino.displaySummary.papersAll??? | |||||||
