|
XB-MORPHOLINO-17250176
Morpholino Name:
ptp4a3 MO1
Synonyms: xlPTP4A3-MO
Target mRNA: ptp4a3
Morpholino Type: uncategorized morpholino
Sequence: 5' CAGGACGATTGATACGAGCCATGAT 3'
Source: Gene Tools LLC
Synonyms: xlPTP4A3-MO
Target mRNA: ptp4a3
Morpholino Type: uncategorized morpholino
Sequence: 5' CAGGACGATTGATACGAGCCATGAT 3'
Source: Gene Tools LLC
| Target mRNA | tropicalis | laevis.L | laevis.S | ||||
| Identities | 24/25 | 25/25 | 24/25 | ||||
genome
MO
|
5' ATCATGGCTCGCATCAATCGTCCTG 3'
||||||||||| |||||||||||||
3' TAGTACCGAGCATAGTTAGCAGGAC 5' |
5' ATCATGGCTCGTATCAATCGTCCTG 3' ||||||||||||||||||||||||| 3' TAGTACCGAGCATAGTTAGCAGGAC 5' |
5' ATCATGGCGCGTATCAATCGTCCTG 3'
|||||||| ||||||||||||||||
3' TAGTACCGAGCATAGTTAGCAGGAC 5' |
||||
| Genomic Alignments |
Position | Identity | Strand | Target | Target mRNA | ||
| laevis 10.1 | Chr6L:158576229..158576253 | 25/25 | Antisense | target | ptp4a3.L | ||
| Chr6S:132923343..132923367 | 24/25 | Antisense | target | ptp4a3.S | tropicalis 10.0 | Chr6:147130804..147130828 | 24/25 | Antisense | target | ptp4a3 |
| Publications | |||||||
| ???morpholino.displaySummary.papersFirst??? |
Protein tyrosine phosphatase 4A3 (PTP4A3) is required for Xenopus laevis cranial neural crest migration in vivo., PLoS One 2013 |
||||||
| ???morpholino.displaySummary.papersRecent??? |
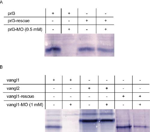
Neural crest specification by Prohibitin1 depends on transcriptional regulation of prl3 and vangl1., Genesis 2015 |
||||||
| ???morpholino.displaySummary.papersAll??? | |||||||
