|
XB-MORPHOLINO-17250168
Morpholino Name:
ptf1a MO3
Synonyms: Ptf1a MO, XPtf1a/p48
Target mRNA: ptf1a
Morpholino Type: uncategorized morpholino
Sequence: 5' CCAACTGCTCCAGGACCGTTTCCAT 3'
Source: Gene Tools LLC
Synonyms: Ptf1a MO, XPtf1a/p48
Target mRNA: ptf1a
Morpholino Type: uncategorized morpholino
Sequence: 5' CCAACTGCTCCAGGACCGTTTCCAT 3'
Source: Gene Tools LLC
| Target mRNA | tropicalis | laevis.L | |||||
| Identities | 23/25 | 25/25 | |||||
genome
MO
|
5' ATGGAAACGGTACTGGAGCAGTTCG 3' ||||||||||| ||||||||||| | 3' TACCTTTGCCAGGACCTCGTCAACC 5' |
5' ATGGAAACGGTCCTGGAGCAGTTGG 3' ||||||||||||||||||||||||| 3' TACCTTTGCCAGGACCTCGTCAACC 5' |
|||||
| Genomic Alignments |
Position | Identity | Strand | Target | Target mRNA | ||
| laevis 10.1 | Chr6L:25818664..25818688 | 25/25 | Antisense | target | ptf1a.L | ||
| Chr7L:23171736..23171760 | 25/25 | Antisense | off-target | sh3pxd2a.L | |||
| Chr8L:11429671..11429695 | 25/25 | Sense | off-target | LOC121397116 | |||
| Chr3S:126378776..126378800 | 24/25 | Antisense | off-target | LOC108703407 | |||
| Chr2L:81993996..81994020 | 22/25 | Sense | off-target | med14.L | |||
| Chr3S:112345271..112345295 | 22/25 | Sense | off-target | LOC108712409 | |||
| Chr4L:50923187..50923211 | 21/25 | Sense | off-target | LOC108713505 | |||
| Chr3S:120957293..120957317 | 25/25 | unknown | |||||
| Chr5S:70689367..70689391 | 25/25 | unknown | |||||
| Chr6L:1813642..1813666 | 25/25 | unknown | |||||
| Chr5S:27642899..27642923 | 23/25 | unknown | |||||
| Chr2S:157261923..157261947 | 21/25 | unknown | |||||
| Chr1L:211825875..211825899 | 21/25 | unknown | |||||
| Chr5L:159829201..159829225 | 21/25 | unknown | tropicalis 10.0 | Chr6:26467870..26467894 | 23/25 | Antisense | target | ptf1a |
| Publications | |||||||
| ???morpholino.displaySummary.papersFirst??? |
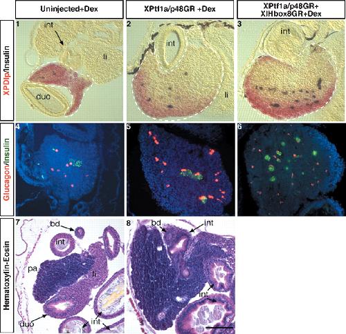
Combined ectopic expression of Pdx1 and Ptf1a/p48 results in the stable conversion of posterior endoderm into endocrine and exocrine pancreatic tissue., Genes Dev 2006 |
||||||
| ???morpholino.displaySummary.papersRecent??? |
Prdm13 forms a feedback loop with Ptf1a and is required for glycinergic amacrine cell genesis in the Xenopus Retina., Neural Dev 2017 |
||||||
| ???morpholino.displaySummary.papersAll??? | |||||||
