|
XB-MORPHOLINO-17249752
Morpholino Name:
igf2bp3 MO1
Synonyms: Vg1 RBP, xVICKZ3
Target mRNA: igf2bp3
Morpholino Type: uncategorized morpholino
Sequence: 5' AAAGAAGACGAGCCCGAAAAACCCG 3'
Source: Gene Tools LLC
Synonyms: Vg1 RBP, xVICKZ3
Target mRNA: igf2bp3
Morpholino Type: uncategorized morpholino
Sequence: 5' AAAGAAGACGAGCCCGAAAAACCCG 3'
Source: Gene Tools LLC
| Target mRNA | tropicalis | laevis.L | |||||
| Identities | 22/25 | 24/25 | |||||
genome
MO
|
5' CAGGCTTTTTGGGCTCGTCTTCTTT 3' | || |||| ||||||||||||||| 3' GCCCAAAAAGCCCGAGCAGAAGAAA 5' |
5' CGGGCTTTTCGGGCTCGTCTTCTTT 3'
|||| ||||||||||||||||||||
3' GCCCAAAAAGCCCGAGCAGAAGAAA 5' |
|||||
| Genomic Alignments |
Position | Identity | Strand | Target | Target mRNA | ||
| laevis 10.1 | Chr6L:41121094..41121118 | 24/25 | Antisense | target | igf2bp3.L | ||
| Chr1L:120975278..120975302 | 21/25 | Sense | off-target | fcho1.L | |||
| Chr3L:24247231..24247255 | 21/25 | Antisense | off-target | LOC108710775 | |||
| Chr8S:43548364..43548388 | 21/25 | Antisense | off-target | LOC108700524 | |||
| Chr8S:13569690..13569714 | 21/25 | unknown | tropicalis 10.0 | Chr6:40327835..40327859 | 22/25 | Antisense | target | igf2bp3 |
| Publications | |||||||
| ???morpholino.displaySummary.papersFirst??? |
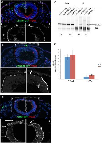
The RNA-binding protein Vg1 RBP is required for cell migration during early neural development., Development 2003 |
||||||
| ???morpholino.displaySummary.papersRecent??? |
A Novel Role for VICKZ Proteins in Maintaining Epithelial Integrity during Embryogenesis., PLoS One 2015 |
||||||
| ???morpholino.displaySummary.papersAll??? | |||||||
