|
XB-MORPHOLINO-17249261
Morpholino Name:
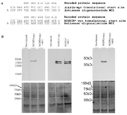
cdc42ep2 MO1
Synonyms: XCEP2 MO1
Target mRNA: cdc42ep2
Morpholino Type: uncategorized morpholino
Sequence: 5' GGGCCTTGGCGGACATCTTTGCA 3'
Source: Gene Tools LLC
Synonyms: XCEP2 MO1
Target mRNA: cdc42ep2
Morpholino Type: uncategorized morpholino
Sequence: 5' GGGCCTTGGCGGACATCTTTGCA 3'
Source: Gene Tools LLC
| Target mRNA | |||||||
| Identities | |||||||
genome
MO
|
|||||||
| Genomic Alignments |
Position | Identity | Strand | Target | Target mRNA | ||
| laevis 10.1 | Chr4S:3509955..3509977 | 22/23 | Antisense | off-target | LOC108715176 | ||
| Chr5L:162754734..162754756 | 20/23 | Antisense | off-target | pinx1.L | |||
| Chr3S:102438611..102438633 | 19/23 | Antisense | off-target | LOC108712397 | |||
| Publications | |||||||
| ???morpholino.displaySummary.papersFirst??? |
Cdc42 Effector Protein 2 (XCEP2) is required for normal gastrulation and contributes to cellular adhesion in Xenopus laevis., BMC Dev Biol 2004 |
||||||
| ???morpholino.displaySummary.papersRecent??? | |||||||
| ???morpholino.displaySummary.papersAll??? | |||||||
