|
XB-ANTIBODY-22167232
|
Antibody Name:
Reck Ab1
Common Name: RECK Antibody RRID: AB_2178287 Synonyms: Rabbit polyclonal anti-RECK, sc-28918
Source: Santa Cruz Biotechnology |
|
| Antibody | |
| Clone Number | |
| Purification | unknown how antibody is supplied |
| Isotype | IgG |
| Host Organism | rabbit |
| Xenopus Reactivity | X. tropicalis, X. laevis |
| Non-Xenopus Reactivity | human, mouse, rat |
| Description: | Discontinued |
| Immunogen | |
| Name | |
| Type | other immunogen type |
| Post Translational Modifications | None |
| Source Organism | human |
| Description | epitope corresponding to amino acids 644-943 mapping near the C-terminus of RECK of human origin |
| Sequence | |
| Reported Usage | |
| Publications | |
| ???displayAntibody.papersFirst??? |
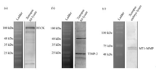
Spatial analysis of RECK, MT1-MMP, and TIMP-2 proteins during early Xenopus laevis development., Gene Expr Patterns 2019 |
| ???displayAntibody.papersRecent??? | |
| ???displayAntibody.papersAll??? | |
