|
XB-ANTIBODY-18319802
|
Antibody Name:
Bdnf Ab1
Common Name: RRID: Synonyms:
Source: |
|
| Antibody | |
| Clone Number | |
| Purification | |
| Isotype | isotype unknown |
| Host Organism | Unknown |
| Xenopus Reactivity | X. tropicalis, X. laevis |
| Non-Xenopus Reactivity | |
| Description: | generously provided by Dr. J. Carnahan of Amgen, Inc., |
| Immunogen | |
| Name | |
| Type | polypeptide |
| Post Translational Modifications | None |
| Source Organism | Unknown |
| Description | |
| Sequence | |
| Reported Usage | |
| tyramide signal amplification | immunointerference really |
| Publications | |
| ???displayAntibody.papersFirst??? |
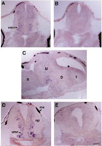
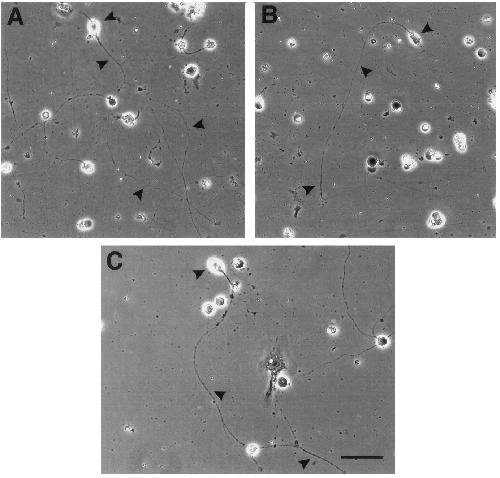
The cellular patterns of BDNF and trkB expression suggest multiple roles for BDNF during Xenopus visual system development., Dev Biol 1996 |
| ???displayAntibody.papersRecent??? | |
| ???displayAntibody.papersAll??? | |
