|
XB-ANTIBODY-17326285
|
Antibody Name:
Thra-Thrb Ab1
Common Name: thyroid hormone receptor RRID: Synonyms: TRBeta
Source: |
|
| Antibody | |
| Clone Number | |
| Purification | |
| Isotype | IgG |
| Host Organism | rabbit |
| Xenopus Reactivity | X. tropicalis, X. laevis |
| Non-Xenopus Reactivity | |
| Description: | Generated by Yun-Bo Shi before 2003, reacts to both thra and thrb |
| Immunogen | |
| Name | Thrb |
| Type | polypeptide |
| Post Translational Modifications | None |
| Source Organism | rabbit |
| Description | aa104-123 thrb |
| Sequence | |
| Reported Usage | |
| western blot | |
| immunofluorescence | |
| Publications | |
| ???displayAntibody.papersFirst??? |
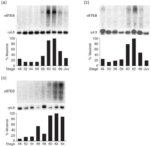
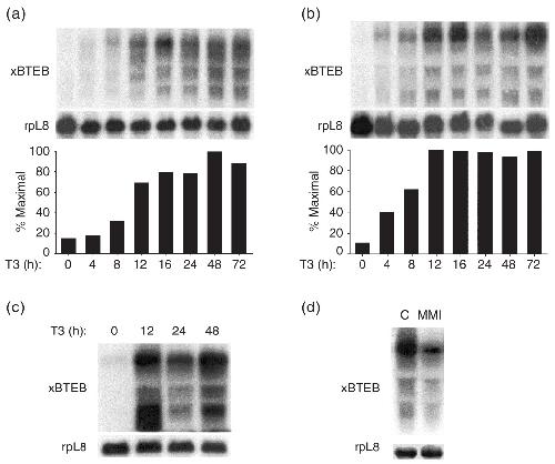
Basic transcription element binding protein is a thyroid hormone-regulated transcription factor expressed during metamorphosis in Xenopus laevis., Dev Growth Differ 2002 |
| ???displayAntibody.papersRecent??? | |
| ???displayAntibody.papersAll??? | |
