Click here to close Hello! We notice that you are using Internet Explorer, which is not supported by Xenbase and may cause the site to display incorrectly. We suggest using a current version of Chrome, FireFox, or Safari.

XB-ANTIBODY-17310951

Antibody Name: Tuba4a Ab3

Common Name: T5168

RRID: AB_477579
Synonyms: alpha-tubulin

Antigens
Gene: tuba4a

Clone Type: Monoclonal
Source: Sigma-Aldrich

Antibody
Clone Number B-5-1-2
Purification Ascites
Isotype IgG1
Host Organism mouse
Xenopus Reactivity X. tropicalis, X. laevis
Non-Xenopus Reactivity chicken, cow, human, monkey, mouse, yeast
Description: Monoclonal Anti-α-Tubulin antibody produced in mouse. Supplied by Sigma -Aldrich Cat#T5168.
Immunogen
Name Sarkosyl-resistant filaments from Strongylocentrotus purpuratus (sea urchin) sperm axonemes.
Type other immunogen type
Post Translational Modifications unknown post translational modifications
Source Organism frog
Description Recognizes an epitope located at the C-terminal end of the alpha-tubulin isoform in a variety of organisms.
Sequence
Reported Usage
western blot 1:4000
immunofluorescence 1:2000
Publications
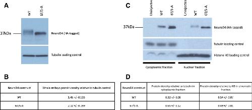
???displayAntibody.papersFirst??? Multi-site phosphorylation regulates NeuroD4 activity during primary neurogenesis: a conserved mechanism amongst proneural proteins., Neural Dev 2015     
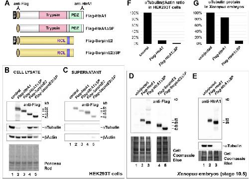
???displayAntibody.papersRecent??? Inhibition of the serine protease HtrA1 by SerpinE2 suggests an extracellular proteolytic pathway in the control of neural crest migration., Elife 2024     
???displayAntibody.papersAll???