|
XB-ANTIBODY-17251661
|
Antibody Name:
Cdt1 Ab1
Common Name: XCDT1 RRID: Synonyms:
Source: |
|
| Antibody | |
| Clone Number | |
| Purification | Affinity Purification |
| Isotype | isotype unknown |
| Host Organism | rabbit |
| Xenopus Reactivity | X. tropicalis, X. laevis |
| Non-Xenopus Reactivity | |
| Description: | XCDT1 polyclonal antibodies were raised in rabbits against recombinant 6His(Delta)XCDT1 protein further purified by SDS-PAGE. |
| Immunogen | |
| Name | cdt1 |
| Type | polypeptide |
| Post Translational Modifications | None |
| Source Organism | frog |
| Description | |
| Sequence | |
| Reported Usage | |
| western blot | |
| Publications | |
| ???displayAntibody.papersFirst??? |
XCDT1 is required for the assembly of pre-replicative complexes in Xenopus laevis., Nature 2000 |
| ???displayAntibody.papersRecent??? |
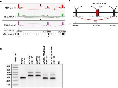
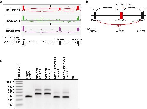
Biallelic NDC1 variants that interfere with ALADIN binding are associated with neuropathy and triple A-like syndrome., HGG Adv 2024 |
| ???displayAntibody.papersAll??? | |
