Click here to close Hello! We notice that you are using Internet Explorer, which is not supported by Xenbase and may cause the site to display incorrectly. We suggest using a current version of Chrome, FireFox, or Safari.

XB-ANTIBODY-14586979

Antibody Name: Znf208 Ab1

Common Name: Fin

RRID:
Synonyms: xFin

Antigens
Gene: znf208
XAO: testis, oocyte, ovary

Clone Type: Polyclonal
Source:

Antibody
Clone Number
Purification
Isotype IgG
Host Organism rabbit
Xenopus Reactivity X. tropicalis, X. laevis
Non-Xenopus Reactivity
Description: Generated by Barsacchi Lab in 1991
Immunogen
Name Fin
Type polypeptide
Post Translational Modifications None
Source Organism frog
Description A fusion protein was produced by cloning the PvulI (nucleotide 731)-SalI (nucleotide 1914) fragment from clone Ac Xfin 4.4, which contains the 4.4 kb Xfin cDNA (Ruiz i Altaba et al., 1987). This fragment was inserted into the SmaI-SalI sites of the expression vector pUEx 1 (Bressan and Stanley, 1987) to generate a cro-lacZ-Xfin fusion. The [3gal-Xfin fusion protein contains 395 amino acids near the N-terminal portion of the Xfin protein.
Sequence
Reported Usage
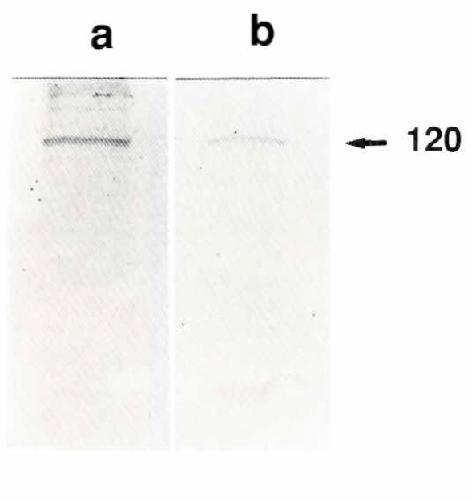
western blot 120kDa
immunofluorescence 1:100-1:200
Publications
???displayAntibody.papersFirst??? A Xenopus multifinger protein, Xfin, is expressed in specialized cell types and is localized in the cytoplasm., Mech Dev 1991     
???displayAntibody.papersRecent??? A Zn-finger protein, Xfin, is expressed during cone differentiation in the retina of the frog Xenopus laevis., Int J Dev Biol 1993     
???displayAntibody.papersAll???