Click here to close Hello! We notice that you are using Internet Explorer, which is not supported by Xenbase and may cause the site to display incorrectly. We suggest using a current version of Chrome, FireFox, or Safari.

XB-ANTIBODY-14586876

Antibody Name: Single-Strand Nucleotide Ab2

Common Name:

RRID:
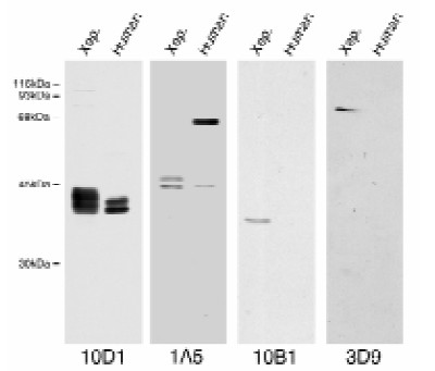
Synonyms: 10B1

Antigens
GO: nucleus

Clone Type: Monoclonal
Source:

Antibody
Clone Number 10B1
Purification
Isotype isotype unknown
Host Organism mouse
Xenopus Reactivity X. tropicalis, X. laevis
Non-Xenopus Reactivity
Description: Generated by Pinol-Roma lab in 2001
Immunogen
Name
Type polypeptide
Post Translational Modifications None
Source Organism frog
Description proteins eluted with 2.0M NaCl from ssDNA-cellulose
Sequence
Reported Usage
western blot 35kDa band
immunofluorescence 1:5
Publications
???displayAntibody.papersFirst??? Heterogeneous nuclear ribonucleoprotein complexes from Xenopus laevis oocytes and somatic cells., Int J Dev Biol 2001     
???displayAntibody.papersRecent???
???displayAntibody.papersAll???