Click here to close Hello! We notice that you are using Internet Explorer, which is not supported by Xenbase and may cause the site to display incorrectly. We suggest using a current version of Chrome, FireFox, or Safari.

XB-ANTIBODY-14585694

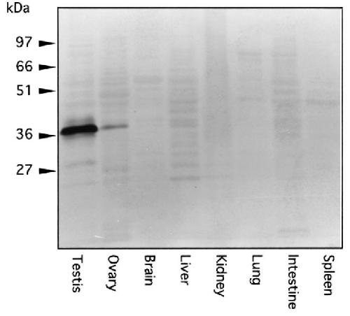
Antibody Name: Dazl Ab1

Common Name: Daz-like

RRID:
Synonyms: Xdazl

Antigens
Gene: dazl
XAO: testis, ovary, gonad

Clone Type: Monoclonal
Source:

Antibody
Clone Number
Purification
Isotype isotype unknown
Host Organism mouse
Xenopus Reactivity X. tropicalis, X. laevis
Non-Xenopus Reactivity
Description: generated by Yamashita lab in 2000
Immunogen
Name Dazl
Type polypeptide
Post Translational Modifications None
Source Organism frog
Description N-terminus, PCR with oligonucleotide primers introducing EcoRI sites, 5-GGAATTCGAATGTCTGGAAAAGAAGAATCTTCAAACTAT-3 , and 5-CGAATTCGGTTTGGAAACTCTCTTGATAACAGACT-3
Sequence
Reported Usage
western blot 1:1000
chromatin immunoprecipitation 1:10
Publications
???displayAntibody.papersFirst??? Expression of Xenopus Daz-like protein during gametogenesis and embryogenesis., Mech Dev 2000     
???displayAntibody.papersRecent??? DEADSouth protein localizes to germ plasm and is required for the development of primordial germ cells in Xenopus laevis., Biol Open 2013     
???displayAntibody.papersAll???