|
XB-ANTIBODY-14579556
|
Antibody Name:
Leukocyte Ab3
Common Name: XL-1 RRID: Synonyms: XL-1, XL1
Source: |
|
| Antibody | |
| Clone Number | XL-1 |
| Purification | |
| Isotype | isotype unknown |
| Host Organism | mouse |
| Xenopus Reactivity | X. tropicalis, X. laevis |
| Non-Xenopus Reactivity | |
| Description: | Generated by the Katagiri Lab |
| Immunogen | |
| Name | Leukocyte |
| Type | homogenized tissue |
| Post Translational Modifications | None |
| Source Organism | frog |
| Description | |
| Sequence | |
| Reported Usage | |
| immunohistochemistry | |
| Publications | |
| ???displayAntibody.papersFirst??? |
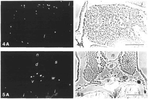
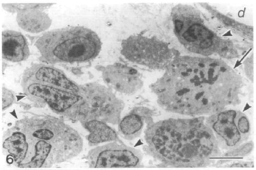
Ontogeny and tissue distribution of leukocyte-common antigen bearing cells during early development of Xenopus laevis., Development 1989 |
| ???displayAntibody.papersRecent??? |
Comparative and developmental study of the immune system in Xenopus., Dev Dyn 2009 |
| ???displayAntibody.papersAll??? | |
