|
XB-ANTIBODY-14579436
|
Antibody Name:
Calb1 Ab3
Common Name: Calbindin RRID: Synonyms:
Source: |
|
| Antibody | |
| Clone Number | |
| Purification | |
| Isotype | isotype unknown |
| Host Organism | Unknown |
| Xenopus Reactivity | X. tropicalis, X. laevis |
| Non-Xenopus Reactivity | |
| Description: | Supplied by Oncogene |
| Immunogen | |
| Name | Calbindin |
| Type | polypeptide |
| Post Translational Modifications | None |
| Source Organism | Other |
| Description | |
| Sequence | |
| Reported Usage | |
| immunohistochemistry | 1:500 |
| Publications | |
| ???displayAntibody.papersFirst??? |
XOtx5b and XOtx2 regulate photoreceptor and bipolar fates in the Xenopus retina., Development 2003 |
| ???displayAntibody.papersRecent??? |
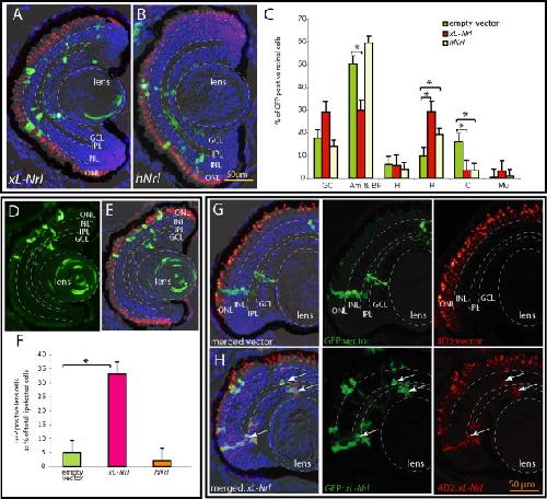
Nr2e3 and Nrl can reprogram retinal precursors to the rod fate in Xenopus retina., Dev Dyn 2007 |
| ???displayAntibody.papersAll??? | |
