Click here to close
Hello! We notice that you are using Internet Explorer, which is not supported by Xenbase and may cause the site to display incorrectly.
We suggest using a current version of Chrome,
FireFox, or Safari.
???displayArticle.abstract???
The gamma-tubulin ring complex (gammaTuRC), purified from the cytoplasm of vertebrate and invertebrate cells, is a microtubule nucleator in vitro. Structural studies have shown that gammaTuRC is a structure shaped like a lock-washer and topped with a cap. Microtubules are thought to nucleate from the uncapped side of the gammaTuRC. Consequently, the cap structure of the gammaTuRC is distal to the base of the microtubules, giving the end of the microtubule the shape of a pointed cap. Here, we report the cloning and characterization of a new subunit of Xenopus gammaTuRC, Xgrip210. We show that Xgrip210 is a conserved centrosomal protein that is essential for the formation of gammaTuRC. Using immunogold labeling, we found that Xgrip210 is localized to the ends of microtubules nucleated by the gammaTuRC and that its localization is more distal, toward the tip of the gammaTuRC-cap structure, than that of gamma-tubulin. Immunodepletion of Xgrip210 blocks not only the assembly of the gammaTuRC, but also the recruitment of gamma-tubulin and its interacting protein, Xgrip109, to the centrosome. These results suggest that Xgrip210 is a component of the gammaTuRC cap structure that is required for the assembly of the gammaTuRC.
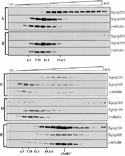
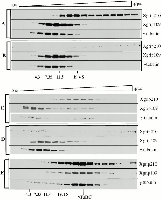
Figure 8. Xgrip210 is required for γTuRC assembly. The γTuRC present in 30% ASP was dissociated by Hepes 1M and immunodepleted with either random IgG (A) or Xgrip210 antibody (B) followed by analysis on 5–40% continuous sucrose gradients made in Hepes 100. Alternatively, after immunodepletion, salt concentrations were reduced by passing the immunodepleted mixtures through desalting columns equilibrated with Hepes 100, and then analyzed by sucrose gradient sedimentation (C and D). Random IgG depletion allowed the reassembly of a fraction of the Xgrip210, Xgrip109, and γ-tubulin into the γTuRC-size complex (C), whereas immunodepleting Xgrip210 completely blocked reassembly (D). (E) 30% ASP was resuspended in Hepes 100 and fractionated on identical sucrose gradients as a control. All gradient fractions were analyzed by Western blot, probing with antibodies against Xgrips210 or 109, or γ-tubulin. The intact γTuRC in E migrated to the same position as that of the reassembled γTuRC shown in C. Protein standards used (S values indicated) were the same as described in Fig. 3 C.
Figure 1. Xgrip210 defines a new family of grips of γTuRC. Sequence comparison of Xgrip210 and Dgrip163. The two sequences share over 20% amino acid identity. Double dots indicate identical amino acids, and single dot denotes the conserved changes. The sequences corresponding to grip motifs 1 and 2 found in the amino and carboxyl half of the proteins, respectively, are underlined.
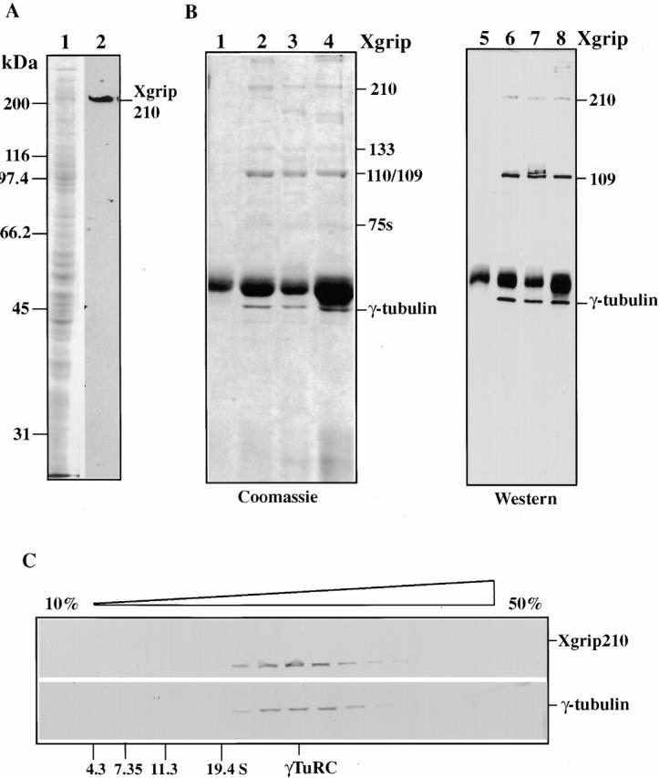
Figure 2. Xgrip210 is a component of Xenopus γTuRC. (A) Crude Xenopus egg extracts were analyzed by Coomassie blue staining (1) or by Western blot, probing with anti–Xgrip210 antibodies (2). The antibodies specifically recognized a protein of the expected size for Xgrip210. (B) Random rabbit IgG (1 and 5) and antibodies against Xgrips210 (2 and 6) or 109 (3 and 7) or γ-tubulin (4 and 8) were used to immunoprecipitate the respective proteins from Xenopus egg extracts. The immunoprecipitates were analyzed by SDS-PAGE followed by Coomassie blue staining (1–4) or Western blot, probing with each of these antibodies (5–8). All three antibodies immunoprecipitated the same γTuRC subunits. Although the Xgrip210 antibody specifically recognized Xgrip210 in the egg extracts (A, 2), the antibody recognized several high molecular weight proteins in the Xgrip210 immunoprecipitate (B, 8). The nature of these cross-reactive proteins is currently unknown. (C) Clarified Xenopus egg extract or protein standards with S values of 4.3 S (bovine serum albumin), 7.35 S (rabbit muscle aldolase), 11.3 S (bovine liver catalase), and 19.4 S (porcine thyroglobulin) were run on parallel 10–50% sucrose gradients. The fractions were analyzed by Western blot, probing for γ-tubulin or Xgrip210 or by Coomassie blue staining for the protein standards.
Figure 3. Xgrip210 colocalizes with γ-tubulin at the centrosome. (A) Immunofluorescence staining of Xenopus tissue culture cells with antibodies against Xenopus γ-tubulin and Xgrip210. (B) Immunofluorescence staining of Xenopus sperm centrosomes with antibodies against Xenopus γ-tubulin and Xgrip210. Nuclear DNA in A and B was stained by DAPI. Scale bars: 20 μm.
Figure 4. Immunogold localization of Xgrip210. (A) Examples of MTs with single 10-nm anti–Xgrip210 gold particles at the MT ends capped by γTuRC. In all cases shown, the center of the gold particle was within 15 nm of the tip of the end cap. Scale bar: 50 nm. (B) Distribution of anti–Xgrip210 or anti–γ-tubulin gold particles superimposed on an image of a typical γTuRC-capped MT end. Scale bar: 10 nm. (C) Distance distribution of the gold particles to the base of the MT lattice (dashed line), measured along the long axis of the MTs (red, Xgrip210; yellow, γ-tubulin). The average distance of the anti–Xgrip210 and anti–γ-tubulin gold particles from the base of the MT end are 10.4 ± 8.8 nm (n = 69) for Xgrip210 and 3.7 ± 9.9 nm (n = 39; Keating and Borisy 2000) for γ-tubulin. (D) Distribution of lengths of the microtubule end cap measured from the end of the microtubule lattice (B, dashed line) to the tip, from a representative sample of microtubules. The average length of the cap was 14.3 ± 3.7 nm (n = 33).
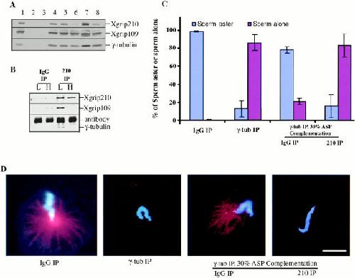
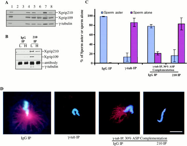
Figure 5. Immunodepletion of Xgrip210 inhibits sperm centrosome formation. (A) Western blot analysis of immunodepleted egg extracts and 30% ammonium sulfate fractions. Xenopus egg extract immunodepleted with either random IgG (1) or antibodies against Xenopus γ-tubulin (2). 30% ammonium sulfate supernatant (3) and pellet (4). 30% ammonium sulfate pellet (30% ASP) resuspended in Hepes 1M and immunodepleted with either random IgG (5) or antibodies against Xgrip210 (6). 7 and 8 are the same as 5 and 6, respectively, except that the proteins were desalted into Hepes 100 and concentrated ∼10-fold. (B) Immunoprecipitates of random IgG (IgG IP) and Xgrip210 antibody (210 IP) from high (H) or low (L) salt-treated 30% ASP were analyzed by Western blot, probing with antibodies against Xgrips210 or 109, or γ-tubulin. Xgrip210 antibody did not immunoprecipitate significant amounts of Xgrip109 or γ-tubulin in high salt conditions. (C) The blue and red columns represent the percentages of sperm with or without associated MT asters, respectively. Immunodepletion of the egg extract with random IgG did not inhibit the formation of sperm centrosomes (IgG IP). The inhibition of sperm aster formation by immunodepleting γ-tubulin (γ-tub IP) was relieved by complementing with the 30% ASP that was depleted with random IgG (IgG IP), but not by the 30% ASP that was depleted with antibodies against Xgrip210 (210 IP). Error bars represent standard deviations calculated from three independent experiments. (D) Representative sperm nuclei with or without a MT aster from the assays in C are shown. Scale bar: 20 μm. The MTs were labeled by inclusion of a small amount of rhodamine-tubulin in the assays, and the sperm DNA was stained with DAPI.
Figure 6. Immunodepleting Xgrip210 inhibits the recruitment of Xgrip109 and γ-tubulin to the sperm centrioles. (A) Blue, red, and yellow columns represent the percentage of sperm tips having γ-tubulin, Xgrip109, or Xgrip210 staining, respectively. Immunodepletion of γ-tubulin from Xenopus egg extracts (γ-tub IP) resulted in ∼70% reduction of the recruitment of γ-tubulin, Xgrip109, or Xgrip210 to the sperm tips, while the same treatment with random IgG (IgG IP) had no effect. Complementing the γ-tubulin–depleted egg extract with the 30% ASP immunodepleted with random IgG (IgG IP) restored the localization of γ-tubulin, Xgrip109, and Xgrip210 to the sperm tips, while the same treatment with anti–Xgrip210 antibodies (210 IP) had no effect. Error bars: standard deviations calculated from three independent experiments. (B) Merged images of sperm incubated in extract immunodepleted with either random IgG (IgG IP) or anti–γ-tubulin antibodies (γ-tub IP), and γ-tubulin–depleted extract complemented with either mock-depleted (30% ASP IgG IP) or Xgrip210-depleted (30% ASP 210 IP) 30% ASP. The images were pseudocolored. Sperm DNA was stained with DAPI and merged with the antibody staining of the sperm tip. In cases where the images appear to be similar, it is due to double labeling of γ-tubulin (mouse monoclonal antibody; Sigma-Aldrich) and Xgrip210 (rabbit polyclonal antibodies). Scale bar: 20 μm.
Figure 7. Immunodepletion of Xgrip109 inhibits the recruitment of Xgrip210 to the sperm centrioles. (A) Western blot analysis of the extracts and fractions used in the assays. Xenopus egg extract immunodepleted with either random IgG (1) or antibodies against Xenopus γ-tubulin (2). 30% ammonium sulfate supernatant (3) and pellet (4). 30% ASP resuspended in Hepes 1M and immunodepleted with either random IgG (5) or antibodies against Xgrip109 (6). 7 and 8 are the same as 5 and 6, respectively, except that the proteins were desalted into Hepes 100 and concentrated ∼10-fold. (B) Immunoprecipitates of random IgG (IgG IP) and Xgrip109 antibody (109 IP) from high (H) or low (L) salt-treated 30% ASP were analyzed by Western blot, probing with antibodies against Xgrips210, 109, or γ-tubulin. Xgrip109 antibody did not coimmunoprecipitate a significant amount of Xgrip210 in the high salt conditions. (C) Blue, red, and yellow columns represent the percentage of sperm that have γ-tubulin, Xgrip109, and Xgrip210 staining at the tips, respectively. Immunodepletion of γ-tubulin from Xenopus egg extracts (γ-tub IP) resulted in >70% reduction of the recruitment of γ-tubulin, Xgrip109, or Xgrip210 to the sperm tips, while the same treatment with random IgG (IgG IP) had no effect. Complementing the γ-tubulin–depleted egg extract with the 30% ASP immunodepleted with random IgG (IgG IP) restored the localization of γ-tubulin, Xgrip109, and Xgrip210 to the sperm tips, while the same treatment with anti–Xgrip109 antibodies (109 IP) had no effect. Error bars: standard deviations calculated from three independent experiments. (D) Representative sperm from different treatments stained with antibodies against γ-tubulin, Xgrip109, or Xgrip210 are shown. In cases where the images appear to be similar, it is due to double labeling of γ-tubulin and Xgrip210. Scale bar: 20 μm.
Desai,
Microtubule polymerization dynamics.
1997,
Pubmed Félix,
Centrosome assembly in vitro: role of gamma-tubulin recruitment in Xenopus sperm aster formation.
1994,
Pubmed
,
Xenbase Gould,
The pericentriolar material in Chinese hamster ovary cells nucleates microtubule formation.
1977,
Pubmed Gunawardane,
Characterization and reconstitution of Drosophila gamma-tubulin ring complex subunits.
2000,
Pubmed Heald,
Spindle assembly in Xenopus egg extracts: respective roles of centrosomes and microtubule self-organization.
1997,
Pubmed
,
Xenbase Hirano,
A heterodimeric coiled-coil protein required for mitotic chromosome condensation in vitro.
1994,
Pubmed
,
Xenbase Horio,
The fission yeast gamma-tubulin is essential for mitosis and is localized at microtubule organizing centers.
1991,
Pubmed Hughes,
Preparation of colloidal gold probes.
1998,
Pubmed Hyman,
The role of nucleation in patterning microtubule networks.
1998,
Pubmed Keating,
Immunostructural evidence for the template mechanism of microtubule nucleation.
2000,
Pubmed
,
Xenbase Kellogg,
The centrosome and cellular organization.
1994,
Pubmed Marschall,
Analysis of Tub4p, a yeast gamma-tubulin-like protein: implications for microtubule-organizing center function.
1996,
Pubmed Martin,
Xgrip109: a gamma tubulin-associated protein with an essential role in gamma tubulin ring complex (gammaTuRC) assembly and centrosome function.
1998,
Pubmed
,
Xenbase Mitchison,
Dynamic instability of microtubule growth.
,
Pubmed Mitchison,
Microtubule assembly nucleated by isolated centrosomes.
,
Pubmed Moritz,
Recruitment of the gamma-tubulin ring complex to Drosophila salt-stripped centrosome scaffolds.
1998,
Pubmed
,
Xenbase Moritz,
Three-dimensional structural characterization of centrosomes from early Drosophila embryos.
1995,
Pubmed Moritz,
Structure of the gamma-tubulin ring complex: a template for microtubule nucleation.
2000,
Pubmed Oakley,
Gamma-tubulin is a component of the spindle pole body that is essential for microtubule function in Aspergillus nidulans.
1990,
Pubmed Oakley,
Identification of gamma-tubulin, a new member of the tubulin superfamily encoded by mipA gene of Aspergillus nidulans.
1989,
Pubmed Oakley,
Gamma-tubulin: the microtubule organizer?
1992,
Pubmed Oegema,
Characterization of two related Drosophila gamma-tubulin complexes that differ in their ability to nucleate microtubules.
1999,
Pubmed
,
Xenbase Schnackenberg,
The disassembly and reassembly of functional centrosomes in vitro.
1998,
Pubmed Sobel,
A highly divergent gamma-tubulin gene is essential for cell growth and proper microtubule organization in Saccharomyces cerevisiae.
1995,
Pubmed Spang,
gamma-Tubulin-like Tub4p of Saccharomyces cerevisiae is associated with the spindle pole body substructures that organize microtubules and is required for mitotic spindle formation.
1996,
Pubmed
,
Xenbase Stearns,
In vitro reconstitution of centrosome assembly and function: the central role of gamma-tubulin.
1994,
Pubmed
,
Xenbase Sunkel,
Gamma-tubulin is required for the structure and function of the microtubule organizing centre in Drosophila neuroblasts.
1995,
Pubmed Tavosanis,
Essential role for gamma-tubulin in the acentriolar female meiotic spindle of Drosophila.
1997,
Pubmed Wiese,
Gamma-tubulin complexes and their interaction with microtubule-organizing centers.
1999,
Pubmed Wiese,
A new function for the gamma-tubulin ring complex as a microtubule minus-end cap.
2000,
Pubmed
,
Xenbase Zheng,
Nucleation of microtubule assembly by a gamma-tubulin-containing ring complex.
1995,
Pubmed
,
Xenbase