Click here to close
Hello! We notice that you are using Internet Explorer, which is not supported by Xenbase and may cause the site to display incorrectly.
We suggest using a current version of Chrome,
FireFox, or Safari.
???displayArticle.abstract??? Xoom has been identified as a novel gene that plays an important role in gastrulation of Xenopus laevis embryo. Although Xoom is actively transcribed during oogenesis, distribution and function of its translation product have not yet been clarified. In the present study, the polyclonal antibody raised against Xoom was generated to investigate a behavior of Xoom protein. Anti-Xoom antibodies revealed that there are two forms of Xoom protein in Xenopus embryos: (i) a 45 kDa soluble cytoplasmic form; and (ii) a 44 kDa membrane-associated form. Two forms of Xoom protein were ubiquitously detected from unfertilized egg to tadpole stage, with a qualitative peak during blastula and gastrula stages. Immunohistochemical examination showed that Xoom protein is maternally stored in the animal subcortical layer and divided into presumptive ectodermal cells during cleavage stages. Enzymatic digestion of membrane protein and immunologic detection of Xoom showed that Xoom exists as a membrane-associated protein. To examine a function of Xoom protein, anti-Xoom antibodies were injected into blastocoele of stage 7 blastulaembryo. Anti-Xoom antibodies caused gastrulation defect in a dose- dependent manner. These results suggest that maternally prepared Xoom protein is involved in gastrulation movement on ectodermal cells.
Fig. 1. Characterization of anti-Xoom antibodies. Xoom fusion
protein was obtained using Xoom cDNA (containing all coding
regions) and glutathione-S-transferase (GST) gene. Whole bacterial
proteins containing GSTâXoom fusion protein (lane 1), purified
GSTâXoom fusion protein (lane 2), isolated Xoom protein
(lane 3) and GST protein (lane 4) were analyzed by sodium dodecylsulfateâ
polyacrylamide gel electrophoresis. Left panel is a
polyacrylamide gel stained with Coomassie brilliant blue (CBB)
and right panel is western blotting of the same gel with anti-Xoom
antibodies (anti-Xoom). Isolated Xoom protein band shows a size
of 46 kDa.
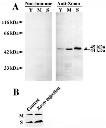
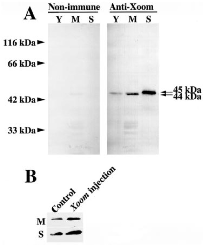
Fig. 2. Detection of Xoom protein from Xenopus embryo. (A)
Stage 8 embryos were homogenized and separated by differential
centrifugation into yolk-rich fraction (Y), membrane fraction
(M) and soluble fraction (S). Then 20 μg protein of each
fraction was analyzed by western blotting with non-immune
serum as a control (non-immune) and affinity-purified anti-Xoom
antibodies (anti-Xoom). Xoom was detected as 44 kDa in fractions
M and Y and as 45 kDa in fraction S. (B) Protein fractions
M and S were isolated from the embryos injected with synthetic
Xoom mRNA (Xoom injection) or without (control). Aliquots
equivalent to four embryos were loaded per lane and analyzed
by western blotting with anti-Xoom antibodies.
Fig. 3. Membrane localization of Xoom protein. Animal half
explants isolated from 64-cell stage embryos were dissociated
in (A, B) 1.03Ca2+- and Mg2+-free modified Barthâs solution
(CMFM) or (C, D) 1.03CMFM containing 1% trypsin. (A, C)
Dissociated cells were immunostained after culturing with anti-
Xoom antibodies or (B, D) non-immune serum. (A) Xoom proteins
were detected only on cells dissociated without trypsin and cultured
with anti-Xoom antibodies. (E) Protein fractions M and S
were isolated from the animal half cells dissociated with or without
trypsin. Aliquots equivalent to four embryos were loaded
per lane and analyzed by western blotting with anti-Xoom antibodies.
Fig. 4. Expression of Xoom protein during normal development.
(A) Protein fractions M and S equivalent to four eggs or embryos
were loaded per lane and analyzed by western blotting with anti-
Xoom antibody. Each protein fraction was obtained from unfertilized
egg (Egg), stage 8 blastula (Bla), stage 11 gastrula (Gas),
stage 17 neurula (Neu), stage 24 tail-bud (Tb), and stage 40
tadpole (Tp). (B) Stage 7 embryos were dissected into animal
(Ani), vegetal (Veg), dorsal (Dor) or ventral half (Ven). Protein fractions
M and S equivalent to four embryonic fragments were
loaded per lane and analyzed by western blotting with anti-Xoom
antibody.
Fig. 5. Distribution of Xoom protein during normal development.
Sectioned Xenopus eggs or embryos were immunostained with
(A, C, D, E, G, I) anti-Xoom antibodies or (B, F, H) non-immune
serum. Xoom protein was visualized as a blue signal using alkaline
phosphatase-conjugated secondary antibody and nitro
blue tetrazolium-bromo chloro indolyl phosphate. (A) Unfertilized
egg. Animal pole is up. Xoom was detected in the animal cortical
layer. (B) Unfertilized egg. No signal was detected. (C) 32-
Cell stage embryo. Xoom was localized in the outer surface but
not in the inner surface of animal blastomeres. (D) Stage 8.5 midblastula
embryo. Xoom was detected in animal blastomeres. (E)
Stage 10.5 gastrulaembryo. Dorsal is right. Intense localization
of Xoom was observed in the ectoderm. (F) Stage 10.5 gastrulaembryo. No signal was detected. (G) Transverse section of stage
19 late neurula. Dorsal is up. Xoom was detected ubiquitously,
with a slight enhancement in the neural tube. (H) Stage 19 late
neurula. No signal was detectable. (I) High magnification of G.
Xoom signal was slightly stronger in the neural crest cells (arrowheads)
and the neural tube (nt). so, somite; nc, notochord. Bar,
50 μm.
Fig. 6. Gastrulation defect induced by injection with anti-Xoom
antibodies. Xenopus embryos were injected with 25 nL of (B) nonimmune
serum, (C) anti-Xoom antibodies or (A) none into the
blastocoele of a stage 7 embryo. The embryo injected with (B)
non-immune serum showed normal gastrulation, similar to (A) the
control embryo. (C) In contrast, gastrulation movement was
delayed at the initial phase in the embryo injected with anti-Xoom
antibodies. Arrows of A, B and C show the boundary of the blastopore
on the vegetal view at stage 11.5.