Click here to close
Hello! We notice that you are using Internet Explorer, which is not supported by Xenbase and may cause the site to display incorrectly.
We suggest using a current version of Chrome,
FireFox, or Safari.
???displayArticle.abstract???
Xenopus laevis can regenerate an amputated limb completely at early limb bud stages, but the metamorphosed froglet gradually loses this capacity and can regenerate only a spike-like structure. We show that the spike formation in a Xenopus froglet is nerve dependent as is limb regeneration in urodeles, since denervation concomitant with amputation is sufficient to inhibit the initiation of blastema formation and fgf8 expression in the epidermis. Furthermore, in order to determine the cause of the reduction in regenerative capacity, we examined the expression patterns of several key genes for limb patterning during the spike-like structure formation, and we compared them with those in developing and regenerating limb buds that produce a complete limb structure. We cloned Xenopus HoxA13, a marker of the prospective autopodium region, and the expression pattern suggested that the spike-like structure in froglets is accompanied by elongation and patterning along the proximodistal (PD) axis. On the other hand, shh expression was not detected in the froglet blastema, which expresses fgf8 and msx1. Thus, although the wound epidermis probably induces outgrowth of the froglet blastema, the polarizing activity that organizes the anteroposterior (AP) axis formation is likely to be absent there. Our results demonstrate that the lost region in froglet limbs is regenerated along the PD axis and that the failure of organization of the AP pattern gives rise to a spike-like incomplete structure in the froglet, suggesting a relationship between regenerative capacity and AP patterning. These findings lead us to conclude that the spike formation in postometamorphic Xenopus limbs is epimorphic regeneration.
FIG. 4. Sequence of homeodomain of Xenopus HoxA13 and its expression pattern in developing limb buds and regenerating blastemas.
(A) Comparison of predicted amino acid sequence for homeodomain of Xenopus HoxA13 with homologues in human, mouse, axolotl, and
zebrafish. Asterisks indicate the amino acids that are identical among all these animals. (B) Expression pattern of Xenopus HoxA13 in
limb buds and blastemas. (B) Developing limb buds at stage 51 (B), stage 53 (C), and stage 55 (D). (E) Regenerating blastemas of the
tadpole limb buds at stage 53 (E) and stage 55 (F, G) and of the froglet forelimb (H, I). Limbs are amputated at the ankle (E, F), knee (G), wrist
(H), and elbow (I) levels. Arrowheads indicate the amputation level. Note that there is a gap between the proximal end of HoxA13 domain
(indicated by asterisks) and the amputated plane in G and I.
FIG. 5. Expression patterns of Xenopus msx1 and fgf8 in limb buds and blastemas that have complete regenerative capacity. (A, I)
Expression of msx1. (E, M) Expression of fgf8. (A) Developing limb buds. (I) Regenerating blastemas formed on the stage 53 limb
buds 7 days after amputation. Lines indicate the amputation level. A, anterior; P, posterior; D, dosal; V, ventral.
FIG. 6. Expression patterns of HoxA13, msx1, fgf8, and shh in blastemas formed on froglet forelimbs. (A, B) HoxA13. (C, D) Msx1. (E, F)
Fgf8. (G) Shh. (A, C, E, G) Forelimbs including blastema were dissected at the shoulder level for whole-mount in situ hybridization. (B, D,
F) Only blastemas were cut off and sectioned along the AP axis for section in situ hybridization.
FIG. 1. (A) A normal forelimb of the Xenopus froglet. (B) A cone-shaped hypomorphic structure formed on the forelimb at 1 month after
amputation. (C) A section of a blastema formed on the forelimb at 7 days after amputation. (D, E) BrdU incorporation in a blastema of
froglet. Bright field (D, hematoxylin, eosin, and Alcian blue staining) and dark field (E). (F) A section of a spike-like structure at 2 months
after amputation. Lines and arrowheads show the amputation level.
FIG. 2. Effect of denervation on spike formation and fgf8 expression. (A) A spike-like structure at 56 days after amputation. (B, C)
Denervation concomitant with amputation at the wrist level resulted in no significant structure (B, 69%) or in a poor spike (C, 31%) at 56
days after operation. (D) RTâPCR analysis of fgf8 expression. RNA samples were prepared from regenerating forelimbs (R), wound-healing
forelimbs (W), and denervated forelimbs (DN) at 12 h and 14 days after each operation.
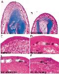
FIG. 3. Histological sections of blastema (A, C), denervated limb (B, D), nonamputated limb (E), and wound-healing limb (F). Sections of
nonamputated and wound-healing limbs are cross sections. Sections of blastema and denervated limb are longitudinal sections. All samples
were fixed at 2 weeks after operations. dm; dermis. Note that the blastema in A and C lacks a dermal layer, which is indicated by
arrowheads and solid lines.