Click here to close
Hello! We notice that you are using Internet Explorer, which is not supported by Xenbase and may cause the site to display incorrectly.
We suggest using a current version of Chrome,
FireFox, or Safari.
Nucleic Acids Res
2006 Jul 26;3413:e91. doi: 10.1124/mol.106.026815.
Show Gene links
Show Anatomy links
De novo assembly of genuine replication forks on an immobilized circular plasmid in Xenopus egg extracts.
Zembutsu A, Waga S.
???displayArticle.abstract???
We describe an improved model of DNA replication in Xenopus egg extracts, in which a circular plasmid immobilized on paramagnetic beads is used as a template. DNA synthesis occurred on either circular or linear plasmids coupled to the beads, but only DNA synthesis on the circular plasmid was inhibited by geminin and a CDK inhibitor, p21. DNA synthesis on the circular plasmid occurred after a time lag, during which nuclear formation was probably occurring. Although pre-replicative complexes (pre-RCs) were formed soon after mixing plasmids with egg extracts, binding of CDC45, RPA, Pol alpha, delta and epsilon, and PCNA to the circular plasmid was delayed, but still correlated with DNA synthesis. Moreover, p21 inhibited binding of these replication fork proteins to the circular plasmid. Therefore, the circular plasmid, but not the linear plasmid, assembles bona fide replication forks in egg extracts. We conclude that this improved replication system will be useful for studying the mechanism of formation of replication forks in eukaryotic DNA replication.
Figure 1. DNA synthesis on plasmid immobilized on paramagnetic beads in Xenopus egg extracts. (A) A circular form of plasmid pBluescript SK used for coupling to the beads (lane 1) or recovered from the immobilized beads (lane 2) was separated by agarose gel electrophoresis and stained with ethidium bromide. (B) A linear form (lanes 1–4) or circular form (lanes 5–8) of pG5λ6.6 (11 kb) immobilized on the beads was incubated in LSS in the presence or absence of 2 μg/ml geminin for the indicated time periods. (C) A circular form of pEXλ6.6 (12 kb) (lanes 1 and 2) or pKS-EX (5 kb) (lanes 3 and 4) immobilized on the beads was incubated in LSS for 4 h in the presence or absence of 13 μg/ml GST-p21. The 32P-labeled replication products were separated by agarose gel electrophoresis and detected by autoradiography. Note that the major 23 kb product seen in lanes 1–4 in (B) migrated slightly faster than a nicked circular form of the plasmid. I, II and III denote fully supercoiled circular, nicked circular and linear forms of plasmid, respectively.
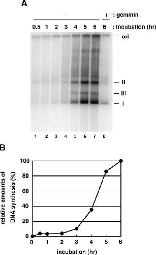
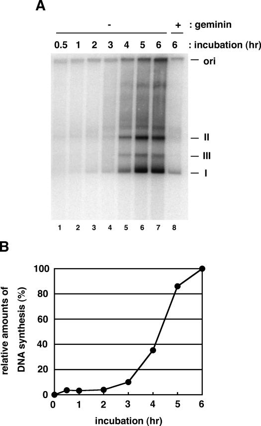
Figure 2. A time course analysis of DNA synthesis on circular plasmid beads in Xenopus egg extracts. A circular form of pG5λ6.6 immobilized on the beads was incubated in LSS for the indicated time periods. The reaction in lane 8 was performed using the extracts supplemented with 2 μg/ml geminin. The autoradiogram of the replication products (A) and the amounts of DNA synthesis relative to a 6 h incubation (B) are shown. I, II, and III in (A) denote fully supercoiled circular, nicked circular and linear forms of plasmid, respectively.
Figure 3. Analysis of the proteins bound to plasmid beads during incubation in Xenopus egg extracts. (A) pBluescript-coupled beads were incubated for 30 min in the mock-depleted (lane 1), the ORC-depleted extracts (lanes 2) or the ORC-depleted extracts supplemented with PEG-B fraction (lane 3). (B) pG5λ6.6-coupled beads or the beads alone (no DNA) were incubated in LSS for the indicated time periods in the absence or presence of 13 μg/ml GST-p21. After incubation, the proteins bound to the beads were analyzed by western blotting with the appropriate antibodies as indicated.
Figure 4. Requirement of nuclear formation for the binding of the replication fork proteins to plasmid beads. (A) pG5λ6.6-coupled beads were incubated in LSS prepared by the normal procedure (lanes 2–6) or partially depleted of nuclear membranes (lanes 8–12) for the indicated time periods. (B) pG5λ6.6-coupled beads were incubated in LSS supplemented with WGA (lanes 3 and 4) or the control buffer (lanes 1 and 2) for the indicated time periods. After incubation, the proteins bound to the beads were analyzed by western blotting with the appropriate antibodies as indicated. One microliter each of the extracts was loaded in lanes 1 and 7 in (A).
Figure 5. The effect of linearization of plasmid on pre-RC formation. (A) pG5λ6.6 (11 kb) or pBluescript (3 kb) coupled beads were pre-treated with XbaI to linearize the plasmid (lanes 2 and 4) or with the control buffer (lanes 1 and 3). After treatment, the plasmid was recovered from the beads, separated by agarose gel electrophoresis and stained with ethidium bromide. (B) The same pre-treated plasmid beads as in (A) were incubated in LSS supplemented with 2 μg/ml geminin (lanes 2, 4, 6 and 8) or the control buffer (lanes 1, 3, 5 and 7) for 30 min. The proteins bound to the beads were then analyzed by western blotting. (C and D) pBluescript-coupled beads were incubated in LSS for 30 min. The beads were then washed and treated with XbaI or the control buffer for 15 or 30 min. The plasmid after 15 min treatment with XbaI (C) and the proteins that remained bound to the beads (D) are shown. Lane 1 in (D) corresponds to the beads after 30 min incubation in LSS.
Aparicio,
Components and dynamics of DNA replication complexes in S. cerevisiae: redistribution of MCM proteins and Cdc45p during S phase.
1997, Pubmed
Aparicio,
Components and dynamics of DNA replication complexes in S. cerevisiae: redistribution of MCM proteins and Cdc45p during S phase.
1997,
Pubmed Bell,
DNA replication in eukaryotic cells.
2002,
Pubmed Bell,
ATP-dependent recognition of eukaryotic origins of DNA replication by a multiprotein complex.
1992,
Pubmed Blow,
Initiation of DNA replication in nuclei and purified DNA by a cell-free extract of Xenopus eggs.
1986,
Pubmed
,
Xenbase Blow,
Preventing re-replication of chromosomal DNA.
2005,
Pubmed Blow,
Replication origins in Xenopus egg extract Are 5-15 kilobases apart and are activated in clusters that fire at different times.
2001,
Pubmed
,
Xenbase Bowers,
ATP hydrolysis by ORC catalyzes reiterative Mcm2-7 assembly at a defined origin of replication.
2004,
Pubmed Braguglia,
Semi-conservative replication in yeast nuclear extracts requires Dna2 helicase and supercoiled template.
1998,
Pubmed Chong,
Characterization of the Xenopus replication licensing system.
1997,
Pubmed
,
Xenbase Chong,
A double-hexamer archaeal minichromosome maintenance protein is an ATP-dependent DNA helicase.
2000,
Pubmed Crowe,
S-Phase progression mediates activation of a silenced gene in synthetic nuclei.
2000,
Pubmed
,
Xenbase Crowe,
In vitro reconstitution of nuclei for replication and transcription.
1999,
Pubmed
,
Xenbase Danis,
Specification of a DNA replication origin by a transcription complex.
2004,
Pubmed
,
Xenbase Edwards,
MCM2-7 complexes bind chromatin in a distributed pattern surrounding the origin recognition complex in Xenopus egg extracts.
2002,
Pubmed
,
Xenbase Fukui,
Distinct roles of DNA polymerases delta and epsilon at the replication fork in Xenopus egg extracts.
2004,
Pubmed
,
Xenbase Harvey,
CpG methylation of DNA restricts prereplication complex assembly in Xenopus egg extracts.
2003,
Pubmed
,
Xenbase Hashimoto,
Xenopus Cut5 is essential for a CDK-dependent process in the initiation of DNA replication.
2003,
Pubmed
,
Xenbase Heald,
Self-organization of microtubules into bipolar spindles around artificial chromosomes in Xenopus egg extracts.
1996,
Pubmed
,
Xenbase Hyrien,
Chromosomal replication initiates and terminates at random sequences but at regular intervals in the ribosomal DNA of Xenopus early embryos.
1993,
Pubmed
,
Xenbase Ishimi,
A DNA helicase activity is associated with an MCM4, -6, and -7 protein complex.
1997,
Pubmed Kanemaki,
Functional proteomic identification of DNA replication proteins by induced proteolysis in vivo.
2003,
Pubmed Kubota,
A novel ring-like complex of Xenopus proteins essential for the initiation of DNA replication.
2003,
Pubmed
,
Xenbase Labib,
Uninterrupted MCM2-7 function required for DNA replication fork progression.
2000,
Pubmed Lipford,
Nucleosomes positioned by ORC facilitate the initiation of DNA replication.
2001,
Pubmed Lucas,
Mechanisms ensuring rapid and complete DNA replication despite random initiation in Xenopus early embryos.
2000,
Pubmed
,
Xenbase Mahbubani,
DNA replication initiates at multiple sites on plasmid DNA in Xenopus egg extracts.
1992,
Pubmed
,
Xenbase Masumoto,
S-Cdk-dependent phosphorylation of Sld2 essential for chromosomal DNA replication in budding yeast.
2002,
Pubmed McGarry,
Geminin, an inhibitor of DNA replication, is degraded during mitosis.
1998,
Pubmed
,
Xenbase Murray,
Cell cycle extracts.
1991,
Pubmed Pacek,
Localization of MCM2-7, Cdc45, and GINS to the site of DNA unwinding during eukaryotic DNA replication.
2006,
Pubmed
,
Xenbase Pacek,
A requirement for MCM7 and Cdc45 in chromosome unwinding during eukaryotic DNA replication.
2004,
Pubmed
,
Xenbase Pasero,
ORC-dependent and origin-specific initiation of DNA replication at defined foci in isolated yeast nuclei.
1997,
Pubmed Remus,
DNA topology, not DNA sequence, is a critical determinant for Drosophila ORC-DNA binding.
2004,
Pubmed Rosania,
A cyclin-dependent kinase inhibitor inducing cancer cell differentiation: biochemical identification using Xenopus egg extracts.
1999,
Pubmed
,
Xenbase Sandaltzopoulos,
Transcriptional repression by nucleosomes but not H1 in reconstituted preblastoderm Drosophila chromatin.
1994,
Pubmed Schwacha,
Interactions between two catalytically distinct MCM subgroups are essential for coordinated ATP hydrolysis and DNA replication.
2001,
Pubmed Seki,
Stepwise assembly of initiation proteins at budding yeast replication origins in vitro.
2000,
Pubmed Speck,
ATPase-dependent cooperative binding of ORC and Cdc6 to origin DNA.
2005,
Pubmed Stillman,
Origin recognition and the chromosome cycle.
2005,
Pubmed Tada,
Repression of origin assembly in metaphase depends on inhibition of RLF-B/Cdt1 by geminin.
2001,
Pubmed
,
Xenbase Takayama,
GINS, a novel multiprotein complex required for chromosomal DNA replication in budding yeast.
2003,
Pubmed Van Hatten,
The Xenopus Xmus101 protein is required for the recruitment of Cdc45 to origins of DNA replication.
2002,
Pubmed
,
Xenbase Waga,
Reconstitution of complete SV40 DNA replication with purified replication factors.
1994,
Pubmed Waga,
Dynamics of DNA binding of replication initiation proteins during de novo formation of pre-replicative complexes in Xenopus egg extracts.
2006,
Pubmed
,
Xenbase Walter,
Regulated chromosomal DNA replication in the absence of a nucleus.
1998,
Pubmed
,
Xenbase Wohlschlegel,
Xenopus Mcm10 binds to origins of DNA replication after Mcm2-7 and stimulates origin binding of Cdc45.
2002,
Pubmed
,
Xenbase