XB-ART-9441
J Cell Biol
2001 Mar 05;1525:985-96. doi: 10.1083/jcb.152.5.985.
Show Gene links
Show Anatomy links
Evidence for a replication function of FFA-1, the Xenopus orthologue of Werner syndrome protein.
Chen CY, Graham J, Yan H.
???displayArticle.abstract???
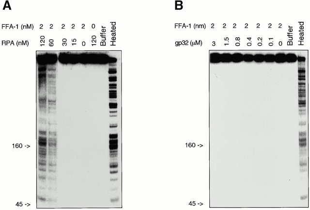
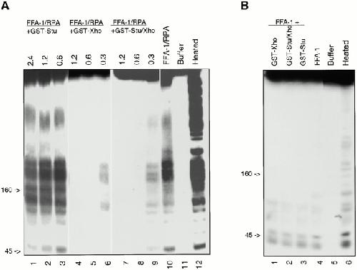
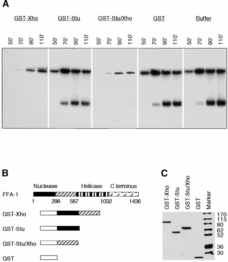
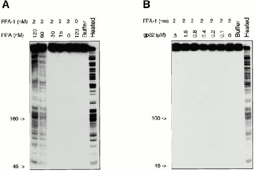
DNA replication in higher eukaryotic cells occurs at a large number of discrete sites called replication foci. We have previously purified a protein, focus-forming activity 1 (FFA-1), which is involved in the assembly of putative prereplication foci in Xenopus egg extracts. FFA-1 is the orthologue of the Werner syndrome gene product (WRN), a member of the RecQ helicase family. In this paper we show that FFA-1 colocalizes with sites of DNA synthesis and the single-stranded DNA binding protein, replication protein A (RPA), in nuclei reconstituted in the egg extract. In addition, we show that two glutathione S-transferase FFA-1 fusion proteins can inhibit DNA replication in a dominant negative manner. The dominant negative effect correlates with the incorporation of the fusion proteins into replication foci to form "hybrid foci," which are unable to engage in DNA replication. At the biochemical level, RPA can interact with FFA-1 and specifically stimulates its DNA helicase activity. However, in the presence of the dominant negative mutant proteins, the stimulation is prevented. These results provide the first direct biochemical evidence of an important role for FFA-1 in DNA replication.
???displayArticle.pubmedLink??? 11238454
???displayArticle.pmcLink??? PMC2198806
???displayArticle.link??? J Cell Biol
???displayArticle.grants??? [+]
Species referenced: Xenopus laevis
Genes referenced: rpa1 wrn zfp36
???attribute.lit??? ???displayArticles.show???
References [+] :
Adachi,
Identification of nuclear pre-replication centers poised for DNA synthesis in Xenopus egg extracts: immunolocalization study of replication protein A.
1992, Pubmed,
Xenbase
Adachi, Identification of nuclear pre-replication centers poised for DNA synthesis in Xenopus egg extracts: immunolocalization study of replication protein A. 1992, Pubmed , Xenbase
Adachi, Study of the cell cycle-dependent assembly of the DNA pre-replication centres in Xenopus egg extracts. 1994, Pubmed , Xenbase
Blow, Initiation of DNA replication in nuclei and purified DNA by a cell-free extract of Xenopus eggs. 1986, Pubmed , Xenbase
Bravo, Existence of two populations of cyclin/proliferating cell nuclear antigen during the cell cycle: association with DNA replication sites. 1987, Pubmed
Brosh, Functional and physical interaction between WRN helicase and human replication protein A. 1999, Pubmed
Budd, A yeast replicative helicase, Dna2 helicase, interacts with yeast FEN-1 nuclease in carrying out its essential function. 1997, Pubmed
Budd, DNA2 encodes a DNA helicase essential for replication of eukaryotic chromosomes. 1995, Pubmed
Cardoso, Reversal of terminal differentiation and control of DNA replication: cyclin A and Cdk2 specifically localize at subnuclear sites of DNA replication. 1993, Pubmed
Constantinou, Werner's syndrome protein (WRN) migrates Holliday junctions and co-localizes with RPA upon replication arrest. 2000, Pubmed
Courcelle, RecQ and RecJ process blocked replication forks prior to the resumption of replication in UV-irradiated Escherichia coli. 1999, Pubmed
Cox, DNA replication occurs at discrete sites in pseudonuclei assembled from purified DNA in vitro. 1991, Pubmed , Xenbase
DePamphilis, Origins of DNA replication in metazoan chromosomes. 1993, Pubmed
Dimitrova, Mcm2, but not RPA, is a component of the mammalian early G1-phase prereplication complex. 1999, Pubmed , Xenbase
Fang, Distinct roles of cdk2 and cdc2 in RP-A phosphorylation during the cell cycle. 1993, Pubmed , Xenbase
Ferrari, Co-operative binding of Escherichia coli SSB tetramers to single-stranded DNA in the (SSB)35 binding mode. 1994, Pubmed
Frei, The yeast Sgs1p helicase acts upstream of Rad53p in the DNA replication checkpoint and colocalizes with Rad53p in S-phase-specific foci. 2000, Pubmed
Fujiwara, Abnormal fibroblast aging and DNA replication in the Werner syndrome. 1985, Pubmed
Fujiwara, A retarded rate of DNA replication and normal level of DNA repair in Werner's syndrome fibroblasts in culture. 1977, Pubmed
Fukuchi, Mutator phenotype of Werner syndrome is characterized by extensive deletions. 1989, Pubmed
Fukuchi, Increased frequency of 6-thioguanine-resistant peripheral blood lymphocytes in Werner syndrome patients. 1990, Pubmed
Gangloff, Homologous recombination is responsible for cell death in the absence of the Sgs1 and Srs2 helicases. 2000, Pubmed
Gray, The Werner syndrome protein is a DNA helicase. 1997, Pubmed
Gray, Werner helicase is localized to transcriptionally active nucleoli of cycling cells. 1998, Pubmed
Hanaoka, Decrease in the average size of replicons in a Werner syndrome cell line by Simian virus 40 infection. 1983, Pubmed
Hand, Eucaryotic DNA: organization of the genome for replication. 1978, Pubmed
Hoehn, Variegated translocation mosaicism in human skin fibroblast cultures. 1975, Pubmed
Huang, The premature ageing syndrome protein, WRN, is a 3'-->5' exonuclease. 1998, Pubmed
Ivessa, The Saccharomyces Pif1p DNA helicase and the highly related Rrm3p have opposite effects on replication fork progression in ribosomal DNA. 2000, Pubmed
Kamath-Loeb, Functional interaction between the Werner Syndrome protein and DNA polymerase delta. 2000, Pubmed
Krude, Chromatin assembly factor 1 (CAF-1) colocalizes with replication foci in HeLa cell nuclei. 1995, Pubmed
Lebel, The Werner syndrome gene product co-purifies with the DNA replication complex and interacts with PCNA and topoisomerase I. 1999, Pubmed
Lee, Requirement of yeast SGS1 and SRS2 genes for replication and transcription. 1999, Pubmed
Leonhardt, A targeting sequence directs DNA methyltransferase to sites of DNA replication in mammalian nuclei. 1992, Pubmed
Leonhardt, Dynamics of DNA replication factories in living cells. 2000, Pubmed
Liu, Multiple domains are involved in the targeting of the mouse DNA methyltransferase to the DNA replication foci. 1998, Pubmed , Xenbase
Lohka, Formation in vitro of sperm pronuclei and mitotic chromosomes induced by amphibian ooplasmic components. 1983, Pubmed , Xenbase
Marciniak, Nucleolar localization of the Werner syndrome protein in human cells. 1998, Pubmed
Melendy, Purification of DNA polymerase delta as an essential simian virus 40 DNA replication factor. 1991, Pubmed
Mills, Replication occurs at discrete foci spaced throughout nuclei replicating in vitro. 1989, Pubmed , Xenbase
Montecucco, The N-terminal domain of human DNA ligase I contains the nuclear localization signal and directs the enzyme to sites of DNA replication. 1995, Pubmed
Montecucco, DNA ligase I is recruited to sites of DNA replication by an interaction with proliferating cell nuclear antigen: identification of a common targeting mechanism for the assembly of replication factories. 1998, Pubmed
Mushegian, Positionally cloned human disease genes: patterns of evolutionary conservation and functional motifs. 1997, Pubmed
Nakamura, Structural organizations of replicon domains during DNA synthetic phase in the mammalian nucleus. 1986, Pubmed
Nakayasu, Mapping replicational sites in the eucaryotic cell nucleus. 1989, Pubmed
Newport, Nuclear reconstitution in vitro: stages of assembly around protein-free DNA. 1987, Pubmed , Xenbase
Newport, Organization of DNA into foci during replication. 1996, Pubmed
Salk, Cytogenetics of Werner's syndrome cultured skin fibroblasts: variegated translocation mosaicism. 1981, Pubmed
Scappaticci, Clonal structural chromosomal rearrangements in primary fibroblast cultures and in lymphocytes of patients with Werner's Syndrome. 1982, Pubmed
Shen, Werner syndrome protein. I. DNA helicase and dna exonuclease reside on the same polypeptide. 1998, Pubmed
Shen, Characterization of Werner syndrome protein DNA helicase activity: directionality, substrate dependence and stimulation by replication protein A. 1998, Pubmed
Shiratori, Detection by epitope-defined monoclonal antibodies of Werner DNA helicases in the nucleoplasm and their upregulation by cell transformation and immortalization. 1999, Pubmed
Smythe, Systems for the study of nuclear assembly, DNA replication, and nuclear breakdown in Xenopus laevis egg extracts. 1991, Pubmed , Xenbase
Stefanini, Chromosome instability in lymphocytes from a patient with Werner's syndrome is not associated with DNA repair defects. 1989, Pubmed
Stewart, rqh1+, a fission yeast gene related to the Bloom's and Werner's syndrome genes, is required for reversible S phase arrest. 1997, Pubmed
Strausfeld, Cip1 blocks the initiation of DNA replication in Xenopus extracts by inhibition of cyclin-dependent kinases. 1994, Pubmed , Xenbase
Suzuki, DNA helicase activity in Werner's syndrome gene product synthesized in a baculovirus system. 1997, Pubmed
Takeuchi, Altered frequency of initiation sites of DNA replication in Werner's syndrome cells. 1982, Pubmed
Takeuchi, Prolongation of S phase and whole cell cycle in Werner's syndrome fibroblasts. 1982, Pubmed
Tye, MCM proteins in DNA replication. 1999, Pubmed
Wold, Replication protein A: a heterotrimeric, single-stranded DNA-binding protein required for eukaryotic DNA metabolism. 1997, Pubmed
Yan, Cell cycle-regulated nuclear localization of MCM2 and MCM3, which are required for the initiation of DNA synthesis at chromosomal replication origins in yeast. 1993, Pubmed
Yan, FFA-1, a protein that promotes the formation of replication centers within nuclei. 1995, Pubmed , Xenbase
Yan, An analysis of the regulation of DNA synthesis by cdk2, Cip1, and licensing factor. 1995, Pubmed , Xenbase
Yan, Replication focus-forming activity 1 and the Werner syndrome gene product. 1998, Pubmed , Xenbase
Yu, Positional cloning of the Werner's syndrome gene. 1996, Pubmed
