Click here to close
Hello! We notice that you are using Internet Explorer, which is not supported by Xenbase and may cause the site to display incorrectly.
We suggest using a current version of Chrome,
FireFox, or Safari.
Dev Biol
2001 Jun 15;2342:483-96. doi: 10.1006/dbio.2001.0261.
Show Gene links
Show Anatomy links
Overexpression of camello, a member of a novel protein family, reduces blastomere adhesion and inhibits gastrulation in Xenopus laevis.
Popsueva AE, Luchinskaya NN, Ludwig AV, Zinovjeva OY, Poteryaev DA, Feigelman MM, Ponomarev MB, Berekelya L, Belyavsky AV.
???displayArticle.abstract???
Vertebrate gastrulation involves complex coordinated movements of cells and cell layers to establish the axial structures and the general body plan. Adhesion molecules and the components of extracellular matrix were shown to be involved in this process. However, other participating molecules and detailed mechanisms of the control of gastrulation movements remain largely unknown. Here, we describe a novel Xenopus gene camello (Xcml) which is expressed in the suprablastoporal zone of gastrulating embryos. Injection of Xcml RNA into dorsovegetal blastomeres retards or inhibits gastrulation movements. Database searches revealed a family of mammalian mRNAs encoding polypeptides highly similar to Xcml protein. Characteristic features of the camello family include the presence of the central hydrophobic domain and the N-acetyltransferase consensus motifs in the C-terminal part, as well as functional similarity to Xcml revealed by overexpression studies in Xenopus embryos. Xcml expression results in the decrease of cell adhesion as demonstrated by the microscopic analysis and the blastomere aggregation assay. Cell fractionation and confocal microscopy data suggest that Xcml protein is localized in the secretory pathway. We propose that Xcml may fine tune the gastrulation movements by modifying the cell surface and possibly extracellular matrix proteins passing through the secretory pathway.
FIG. 3. Expression of Xcml RNA during Xenopus development. (A) Temporal expression of Xcml mRNA studied by Northern blot analysis of embryo poly(A)1 RNA, developmental stages are indicated on top. (B) Spatial pattern of Xcml mRNA expression revealed by whole-mount in situ hybridization with Xcml antisense digoxigenin-labeled RNA probe, stages 10.5 (B), 11 (C), 12 (D), and 16 (E, posterior view shown). Note that Xcml is expressed in the area around the closing blastopore during the entire gastrulation stage. Soon after involution, cells cease to express Xcml, as visible on sagittal sections of Xcml-hybridized embryos at the stages 10.5 (F) and 12 (G, H). (H) The dorsal lip viewed with higher magnification. Indicated are dorsal lip (dl); ventral lip (vl), archenteron (arc), noninvoluting deep cells of neuroectoderm (ninv), involuted (inv) mesodermal cells, and deep layer of mesoderm (mes).
FIG. 4. Xcml overexpression blocks gastrulation movements. (A, B) Injection of Xcml mRNA in two dorso-vegetal blastomeres retards
gastrulation. (A) At the midgastrula stage, the blastopore of injected embryos is longer in the dorso-ventral direction as a result of
suppression of latero-medial movements and intercalation of cells on the dorsal side of embryo. (B) At the neurula stage, injected embryos
have short axis and open blastopore; arrowheads indicate the anterior and posterior ends of axial complexes. (C) Expression of early marker
genes in intact and Xcml RNA-injected embryos studied by whole-mount in situ hybridization. (C) Early gastrula (stage 10.5) embryos,
expression of dorsal markers chr (C) and gsc (D), and panmesodermal marker Xbra (E). (F) Neurula stage embryos. Expression patterns of
actin (F) and Xbra (G). Expression of Pax-6 (H) in defective embryos with an open blastopore identifies two reduced axial complexes in
lateral lips of the blastopore (right embryo, arrows), and in apparently normal injected embryos (middle, arrowheads) reveals shortening of
the neural tube compared to uninjected embryos (left). Expression of Xnot (I) indicates abnormal position of notochord in injected embryos.
Xcml Overexpression Blocks Gastrulation 489
Copyright
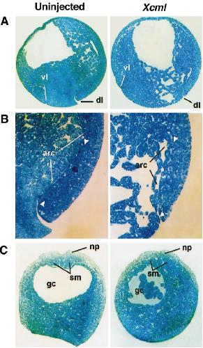
FIG. 5. Sagittal sections of Xcml RNA-injected embryos at two
developmental stages. (A) At the late gastrula, cellcell contacts
are loosened in the injected dorsal half of embryo compared to the
uninjected half or to intact embryos. (B) High magnification of the
dorsal side of the gastrula stage demonstrates multilayer epithelial
structure (arrowheads) of involuted cells in a normal embryo, and
disruption of the structure after Xcml overexpression. (C) At the
neurula stage, injected embryos have a disrupted gastrocoel (gc) and
defective structure of the neural plate (np) and somites (som)
compared to uninjected ones.
FIG. 6. Xcml overexpression reduces the formation of goosecoidinduced
secondary axis. (A) Injection of goosecoid RNA in ventral
vegetal blastomeres induces formation of the complete second axis
with head structures (eyes, cement glands). (B) Coinjection of Xcml
with goosecoid partially inhibits formation of head structures.
FIG. 7. Overexpression of Xcml in animal caps decreases adhesion
between blastomeres. Animal caps of embryos injected with
Xcml or XcmlA31Fr (negative control) mRNA were dissociated at
stage 8 in Ca21/Mg21-free medium, and individual blastomeres
were allowed to aggregate for 30 min following addition of Ca21. (A)
Average distribution of cells in different aggregate classes. The
percentage of the total number of cells in each aggregate class was
calculated for each experiment, followed by averaging among nine
experiments. (B) Distribution of average differences between Xcml
and XcmlA31Fr-injected embryos. The differences in the percentages
of the cells in each aggregate class between Xcml and
XcmlA31Fr-injected embryos were determined for each experiment,
followed by averaging among nine experiments. Differences,
on the basis of Wilcoxon test, are statistically significant for single
cell, 2 cell, and 11 1 cell classes (P , 0.05).
FIG. 8. Xcml protein is localized to the organelles of the secretory pathway. (A) Conventional microscopy of COS-1 cells transfected with
Xcml-GFP; nuclei stained with Hoechst 33342 (blue). (B) Confocal microscopy of COS-7 cells transfected with Xcml-GFP: (B) distribution
of GFP signal in COS-7 cells; (C) same as (B), but cells additionally stained with the Golgi marker BODIPY TR ceramide. (C) GFP signal,
(D) ceramide signal, (E) merged image. (F) same as (C-E), respectively, but transfection with XcmlDF42L80-GFP construct lacking the
hydrophobic domain. (I) Western blot analysis of Xenopus oocytes injected with RNA corresponding to C- or N-terminal fusions of Xcml
with myc tag, or to myc-tagged sizzled (Salic et al., 1997). M, culture medium; C, cytoplasmic fraction; V, vesicular fraction.
nat8.6 (N-acetyltransferase 8 gene 6 ) gene expression in Xenopus laevis embryo as assayed by in situ hybridization, NF stage 10.5. Vegetal view: Dorsal up
nat8.6 (N-acetyltransferase 8 gene 6 ) gene expression in Xenopus laevis embryo as assayed by in situ hybridization, NF stage 16. posterior view: Dorsal up