Click here to close
Hello! We notice that you are using Internet Explorer, which is not supported by Xenbase and may cause the site to display incorrectly.
We suggest using a current version of Chrome,
FireFox, or Safari.
???displayArticle.abstract???
The Xenopus laevis egg envelope is composed of six or more glycoproteins, three of which have been cloned and identified as the mammalian homologs ZPA (ZP2), ZPB (ZP1) and ZPC (ZP3). The remaining glycoproteins are a triplet of high molecular weight components that are selectively hydrolyzed by the hatching enzyme. We have isolated one of these proteins and cloned its cDNA. The mRNA for the protein was found to be expressed only in early stage oocytes, as are other envelope components. From the deduced amino acid sequence, it was indicated to be a secreted glycoprotein with a characteristic ZP domain in the C-terminal half of the molecule. The N-terminal half was unrelated to any known glycoprotein. Comparative sequence analysis of the ZP domain indicated that it was derived from an ancestor of ZPA and ZPB, with the greatest identity to ZPA. This envelope component has been designated ZPAX.
Fig. 1. Coomassie-stained sodium dodecylsulfateâpolyacrylamide
gel electrophoresis of Xenopus laevis egg envelope
components. The lanes contain untreated, glycosylated (â)
and trifluoromethanesulfonic acid deglycosylated (+) glycoproteins/
proteins. Electrophoresis used a 7% acrylamide gel with
disulfide bond reduction and 30 μg protein per lane.
Fig. 2. The 83 kDa protein (ZPAX) cDNA sequence, with its translated amino acid sequence. The signal sequence is underlined (dotted),
the predicted cleavage site marked with an arrowhead, potential N-glycosylation consensus sites are double underlined and potential
O-linked glycosylation sites are marked with a diamond. The furin cleavage site is boxed and the polyadenylation site is highlighted
in black. The peptides that were determined by sequencing of the protein itself are underlined.
Fig. 3. Alignment of the 83 kDa protein (ZPAX) amino acid sequence with ZPA and ZPB molecules from various species. Conserved
(consensus) amino acids are capitalized when at least three of seven residues are identical. The ZP domain is marked with a bold
underline and transmembrane regions are designated with a lighter underline. The Trefoil domain present in ZPB molecules is marked
with a bold dotted underline. The furin cleavage site is indicated with asterisks.
Fig. 4. Diagrammatic representation of ZPAX and various ZPA
and ZPB molecules, showing (A) the evolutionary relationships
and (B) the relative sizes and domain structures.
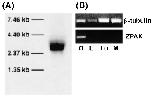
Fig. 5. ZPAX RNA analysis. (A) Northern blot, with the positions
of RNA size standards marked on the left. (B) Reverse transcriptionâ
polymerase chain reaction amplification of the ZPAX
message with 1 μg each of total RNA from oocyte (O), liver (Li),
lung (Lu) and muscle (M). Amplification of -tubulin was used
as a control for the reaction.
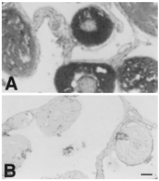
Fig. 6. In situ hybridization localization of ZPAX mRNA in the
ovary. Sections of ovary were incubated with (A) a digoxigeninlabeled
antisense RNA probe or (B) a sense RNA probe as a
control. Positive staining was the darkest in stage I and II oocytes,
which are shown here. (B) Bar, 100 μm.