|
Fig. 1. Anti-FN mAbs inhibit matrix assembly in vivo. Embryos were injected with a mouse mAb and FN detected with an anti-FN rabbit polyclonal. (A) BCR of stage 11.5 sham-injected embryo showing normal FN fibril formation. (B) BCR of sibling embryo injected with the non-blocking anti-FN mAb 4H2. (C) Injection of mAb 1F7 directed against the synergy site of FN inhibits BCR matrix assembly at stage 11.5. (D) mAb 4B12 directed against the RGD-containing central cell-binding domain of FN. |
|
Fig. 2. Intra-blastocoelar injection of anti-FN mAbs disrupts gastrulation. (A-C,G) Embryos injected at stage 9.5 with mAb 4H2 show normal development at stage 10.5, as indicated by dorsal lip formation (A, arrowhead). (B) At stage 11.5 the blastopore is almost closed (arrowhead) and embryos go onto develop into tadpoles (C,G). mAb 1F7-injected embryos (D-F,H) develop a normal blastopore at stage 10.5 (D, arrowhead). (E) By stage 11.5, there is a significant delay in blastopore closure and little movement of the blastopore lip is apparent (arrowhead). (F) mAb 1F7-injected embryos are truncated along the AP axis and bent ventrally. The blastocoel is retained and displaced ventrally (arrowhead). (H) Blastulae injected with mAb 1F7 develop into tadpoles that have small eyes, display head edema, and lack gut (arrowheads), heart, blood vessels and blood. |
|
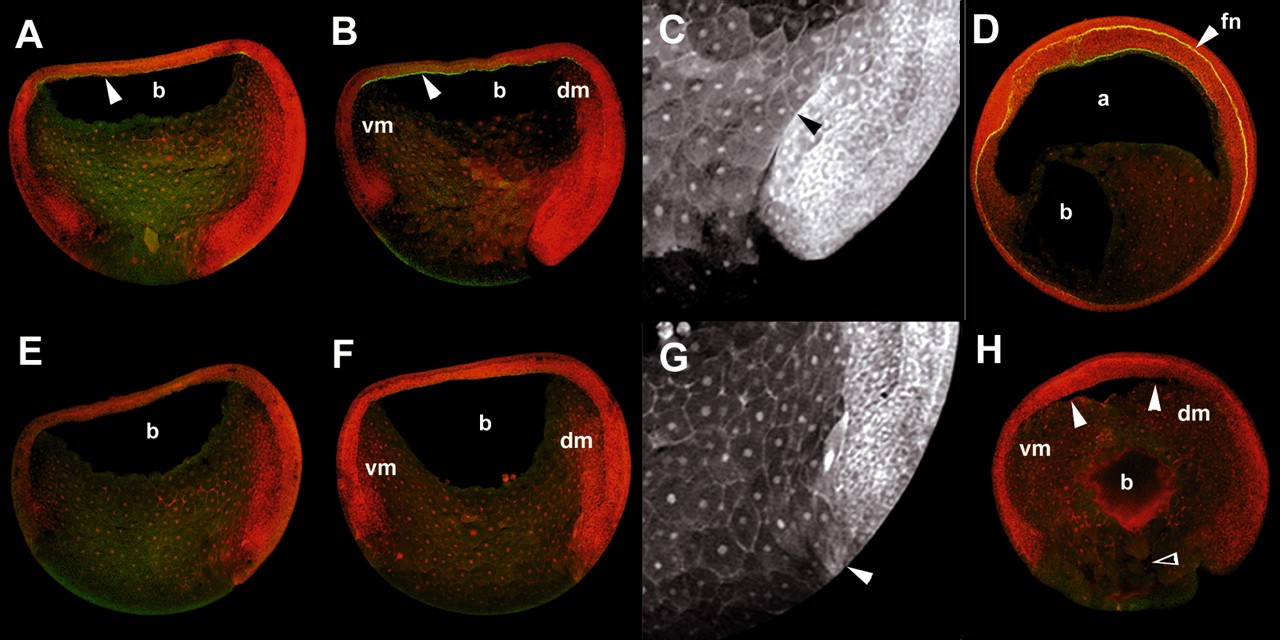
Fig. 3. Sagittal sections of gastrula stage embryos. In all panels embryos are arranged with the dorsal lip towards the right. MAb 4H2- (A-D) and mAb 1F7-injected (E-H) embryos were optically sectioned by confocal microscopy. Dextran (red) is used for contrast enhancement as described in the methods. FN is detected with a rabbit polyclonal Ab (green). The intracellular green fluorescence observed in endoderm and mesoderm cells results from autofluorescence and does not represent FN localization. Stage 10.5 mAb 4H2-(A) and mAb 1F7-injected (E) embryos look similar. FN accumulates along the BCR in mAb 4H2-injected embryos (A, arrowhead) and does not accumulate in embryos injected with mAb 1F7 (E). (B) Stage 11 embryos injected with mAb 4H2: displacement of involuted mesoderm is greater along the dorsal side of the embryo (dm). (F) Stage 11 mAb 1F7-injected embryos show an equal displacement of dorsal (dm) and ventral (vm) mesoderm. (C) Archenteron formation in mAb 4H2-injected embryo is evident by stage 11 (arrowhead). (G) Bottle cells (arrowhead) remain on the surface of stage 11 mAb 1F7-injected embryos and no archenteron is evident. (D) By stage 12, mAb 4H2-injected embryos exhibit a closed blastopore and an inflated archenteron (a). The blastocoel (b) is almost eliminated, and mesoderm has begun to differentiate. A pronounced FN matrix (fn) is evident (D, arrowhead). Gastrula injected with mAb 1F7 shows misplaced mesoderm that is not adherent to the BCR (H, arrows). The BCR has thickened and the marginal zones remain thick. No archenteron is present and a centralized remnant of the blastocoel remains. The blastopore remains open and tissue in the yolk plug appears dissociated (H, open arrow). a, archenteron; b, blastocoel; bcr, blastocoel roof; dm, dorsal mesoderm; fn, fibronectin matrix; vm, ventral mesoderm. QuickTime movies of blastopore closure of control and mAb injected embryos may be viewed on the DeSimone laboratory website (http://faculty.virginia.edu/desimonelab). |
|
Fig. 4. FN is required for BCR and DMZ thinning. Blastocoelar injection of mAbs was performed at stage 9.5. (A) Confocal section of the BCR of mAb 4H2-injected dextran-labeled embryo at stage 11. The FN matrix lining the blastocoel is shown (arrowhead). There is only a single layer of deep cells (layer index=2). (B) mAb 1F7-injected dextran labeled embryos at stage 11. No FN matrix is evident (arrowhead) and the BCR has multiple layers of deep cells. (C) BCR layer index of mAb-injected embryos. MAb 4H2-injected embryos (controls) show a decrease in BCR layer index from 2.3 at stage 10 to 2 by stage 11. In mAb 4B12-injected embryos, the BCR shows an increase in BCR layer index from 2.4 at stage 10 to almost 3.9 by stage 11. Similarly, in mAb 1F7-injected embryos the layer index increases from 2.4 at stage 10 to 3.9 at stage 11. (D) DMZ layer index does not decrease in blocking mAb-injected embryos. In mAb 4H2-injected embryos (controls) the DMZ layer index decreases from 4.9 at stage 10 to 2.2 at stage 11. In mAb 4B12-injected embryos, the layer index at stage 10 is 4.8 and this decreases to 4.6 by stage 11. In mAb 1F7-injected embryos the layer index at stage 10 is 4.8 and this decreases to 4.2 by stage 11. The minimum number of cells spanning the BCR in the radial direction was counted (layer index) at stages 10 (white bars), 10.5 (gray bars) and 11 (black bars). |
|
Fig. 5. The relative area index (RAI) was estimated from digital images captured from DMZ during early and mid-gastrulation. This measurement compares the relative area occupied by cells and all clonal derivatives during gastrulation (Keller, 1978). (A) Samples of DMZ RAI tracings for a 4H2-injected embryo are shown. Numbers indicate original cells in group, while letters indicate daughter cells. (B) The RAI in mAb 4H2 embryos increases throughout gastrulation (unbroken line). In mAb 1F7- (dashed line) and mAb 4B12- (dotted line) injected embryos there is an initial increase in the RAI until stage 10.5, followed by a decrease in later gastrulation. |
|
Fig. 6. Timelapse microscopy of dorsal lip movement. (A,C,E,G,I) mAb 4H2-injected control embryos. The blastopore closes normally and there is a progressive involution of superficial DMZ cells over the blastopore lip. (A) Bottle cell formation is normal (arrowhead), and cells marked in green in the DMZ at stage 10.5 (C) before involution over the lip. (E) At stage 11 cells marked in green have passed over the lip to contribute to the lining of the archenteron. A second population of cells marked in yellow also passes through the blastopore as it closes (G). (I) Cross sections through the blastopore lip of stage 12 mAb 4H2-injected embryos reveal involuted superficial cells lining the archenteron (white arrowhead). A FN matrix (black arrowhead) separates the BCR deep cells from the involuted mesoderm. (B,D,F,H,J) Embryos injected with mAb 1F7. In these embryos there is no migration of DMZ cells over the lip of the blastopore during the same time period. (B) Blastopore lip formation is normal (arrowhead). (D,F,H) Cells marked in red remain essentially in the same position in DMZ, and the blastopore remains open through stage 12. Before blastopore closure, the DMZ buckles (arrows H,J). In mAb 1F7-injected embryos, there is no FN matrix evident and the involuted mesoderm (im), as well as the non-involuted tissue (nim) in the DMZ, appears to be disorganized. No archenteron has developed and the short invagination (arrowhead) is the result of DMZ buckling. QuickTime movies of the embryos used to obtain still images for Fig. 6A-H may be viewed on the DeSimone laboratory website (http://faculty.virginia.edu/desimonelab). |
|
Fig. 7. FN is required for archenteron formation. Embryos are arranged with anterior to the right. (A,B) Confocal sections of stage 17 embryos collected on the red channel, showing dextran labeling in all cells in the embryo. (C,D) The same sections as in A and B collected on the green channel to reveal biotin-labeled cells detected with fluorescein tyramide. (A) Embryos injected at stage 9.5 with mAb 4H2 go on to develop normal neurula with an enlarged archenteron (a). Involuted mesoderm (im) is differentiating and endoderm (e) is contained ventrally. The eye anlage (ea) has begun to differentiate. (C) Biotin labeling of cell surface at stage 9 reveals that the archenteron lining is derived from cells that were previously at the surface of the embryo (arrowhead). (B) Embryos injected with mAb 1F7 have a short AP axis, the archenteron fails to form and the blastocoel (b) is retained. The neural plate has formed (np) and the eye anlage (ea) is evident. The endoderm (e) is not ventrally contained and the involuted mesoderm (im) is disorganized. Biotin labeling reveals that few surface-labeled cells involute inside the embryo (D; arrowheads). |
|
Fig. 8. Intercalative behaviors in the BCR. We developed an in vitro deep layer explant to examine intercalative behaviors in a reconstituted BCR. The assay took place over 120 minutes. (A) DMZ zone tissue was cut from dextran labeled (red) embryos and layers of deep cells lining the blastocoel (DL) were shaved from the explant and placed on substrate (FN or BSA) coated coverslip. A similar DMZ fragment was cut from unlabeled embryo and the superficial layer and a few layers of deep cells (SL) were used to overlay the labeled tissue. Intercalative behavior was monitored by image capture of the deep layer of the explant. On BSA (B,D,F,H), the labeled patch incorporated into the BCR. Vertical confocal sectioning (red line in F) showed that the tissue remained coherent (H). When explants are plated on FN, the labeled patch was broken up by intercalating cells (C,E,G,I). Vertical sections of the explant (red line in G) showed that unlabeled cells intercalated between labeled cells distant from the substrate (I). |
|
Fig. 9. Intercalative behaviors require β1-containing integrins. Two-cell embryos were injected in one blastomere with either 1 ng HA RNA (control) or the same amount of dominant-negative HAβ1 chimera RNA. (A,C) Expression of HA has no effect upon FN matrix assembly (A; HA in green, FN fibrils in red, overlap in yellow) or on BCR thickness (C; HA shown in green, dextran for contrast is red). (B,D) Expression of the HAβ1 construct results in reduced FN fibril assembly (B; HA in green, FN fibrils in red; faint green cells under fibrils are in the superficial layer), and causes an increase in roof thickness (D; HAβ1 shown in green, dextran for contrast in red). |
|
Fig. 10. FN is required for mitotic spindle orientation. (A) Cartoon of stage 11.5 embryo, showing approximate plane of confocal sections (oblique) through the BCR epithelium to visualize en face views of mitotic spindles in both superficial (B,D) and deep (C,E) cell layers. In control (4H2 injected) embryos, the spindles in the superficial (B) and deep (C) cell layers are oriented parallel to the BCR inner surface. In embryos injected with mAb 1F7, spindle orientation in the superficial layer is within the plane of the BCR epithelium (D), while in the deep layers mitotic spindle orientation is randomized (E; arrowheads indicate spindles that are out of the horizontal plane of the epithelium. (F) Cartoon of sagittal confocal section through gastrula embryo. The BCR is two layers thick and the mitotic spindles are in the plane of the epithelium in both cell layers of control embryos injected with mAb 4H2 (G; white arrowheads). In embryos injected with mAb 1F7, spindle orientation in the deep layers is randomized (H; black arrowheads indicate spindles that are not in the plane of the epithelium, while white arrowheads indicate spindles that orient in the plane of the epithelium). Note that arrowheads with asterisks (G,H) indicate spindles in the horizontal plane of the epithelium but the view is down the long axis of the spindle. Fluorescence along the inner BCR surface in B is artifactual and due to precipitation of primary mAb that occasionally occurs during whole embryo fixation. |
|
Fig. 11. FN is permissive for XDsh relocalization in the BCR. Embryos were injected with 50 pg of XDsh-GFP RNA. Stage 10 explanted tissue was placed on FN or BSA substrates and examined by confocal microscopy. (A) DMZ tissue placed on BSA shows a granular cytoplasmic localization of XDsh-GFP after 60 minutes. (B) DMZ tissue placed on FN. XDsh-GFP is localized to the cell membrane after 60 minutes. (C) DMZ on the HepII-GST fusion protein. XDsh remains cytoplasmic after 60 minutes. (D) DMZ on poly-L-lysine. XDsh-GFP remains cytoplasmic after 60 minutes. |
|
Fig. 12. Timecourse of XDsh-GFP membrane localization. DMZ explants were cultured on GST-9.11 fusion protein substrates. (A) 10 minutes post-plating, XDsh-GFP remained cytoplasmic. (B) After 30 minutes, XDsh-GFP was beginning to accumulate at the cell membrane. (C) 60 minutes after being placed on the substrate, XDsh-GFP was localized to the cell membrane. (D) DMZ explants cultured on GST-9.11 fusion protein pre-incubated with mAb 4B12. XDsh-GFP remained cytoplasmic. (E) When animal caps (CAP) were cultured on GST-9.11 fusion protein, XDsh-GFP was localized to the cell membrane after 60 minutes. (F) The translocation of XDsh-GFP to the cell membrane was blocked after pre-incubation of the substrate with mAb 4B12. |