Click here to close
Hello! We notice that you are using Internet Explorer, which is not supported by Xenbase and may cause the site to display incorrectly.
We suggest using a current version of Chrome,
FireFox, or Safari.
van der Heyden MA, Roeleveld L, Peterson J, Destrée OH.
???displayArticle.abstract???
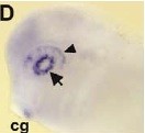
The spatio-temporal expression of connexin43 in Xenopus laevis embryos was studied by in situ hybridization. Cx43 expression is first detected at stage 25 in the developing eye. In stage 32, expression was found in the margin of the lens placode, the cement gland, notochord, and in stage 37 in the branchial arches. Early limb buds show strong expression of Cx43 distally while later on expression is confined to sites of precartilage condensation.
???displayArticle.pubmedLink???
11578879 ???displayArticle.link???Mech Dev
Fig. 2. Cx43 is expressed in the eye, cement gland, notochord and branchial arches. Cx43 is expressed as a ring in the eye of stage 25 embryos (A,B arrow). Cx43 expression in the eye (C,D, arrow indicate inner ring, arrowhead indicate outer ring), part of the notochord (nt) (C) and in the posterior part of the cement gland (cg) (C,E) in stage 32 embryos. Cx43 expression in the lens region of the eye (F,G), in the posterior notochord (F) and in the branchial arches (arrowheads) (G) of stage 37 embryos.
Fig. 3. Cx43 is expressed in the anteriorlensepithelium. Transverse sections showing confined Cx43 expression in the anteriorlensepithelium at stage 32 (A, arrows indicate inner ring, arrowhead indicates dorsal part of outer ring), 37 (B) and 40 (C). Cx43 expression in the anteriorepithelium of isolated stage 52/53 lenses (D), inset: sense control (E). Enlargement of D, displaying Cx43 expression in individual epithelial cells. (AâC) v, ventral; d, dorsal. (E) l, lateral; a, anterior.
Fig. 4. Cx43 expression in developing fore- (A) and hindlimbs (B). Cx43 is expressed intensely and widely in the early limb bud, becoming restricted during mesoderm condensation, later outlining the precartilage and perichondrium, forelimbs stages 52â55, hindlimbs stages 53â56. Enlargements of B, showing details of Cx43 expression during cartilage formation. Stage 53 (C), stage 54 (D) and stage 56 (E). Brown dots are pigment cells.
gja1 (gap junction protein, alpha 1, 43kDa) gene expression in Xenopus laevis embryo via in situ hybridization, NF stage 37, lateral view, head only anteriorleft.
gja1 (gap junction protein, alpha 1, 43kDa) gene expression in Xenopus laevis embryo via in situ hybridization, NF stage 25, lateral view, head only anteriorleft.
gja1 (gap junction protein, alpha 1, 43kDa) gene expression in Xenopus laevis embryo, assayed via in situ hybridization, NF 56, forelimb, dorsal view.