|
Fig. 1. Affinity chromatography of Xenopus
laevis proteins on ssDNA-cellulose.
Whole X. laevis A6 cell lysate proteins
were fractionated on a ssDNA-cellulose
column as described in the text.
Proteins in the various fractions were
resolved by SDS-PAGE and visualized by
staining with silver. Lanes are as follows:
Total, starting material; F.T., unbound
(flow-through) fraction; Heparin, proteins
in a wash with 1mg/ml heparin; 0.2 M and
2.0 M NaCl, proteins eluted with the
indicated NaCl concentrations. Positions
of molecular mass standards are shown
on the left. |
|
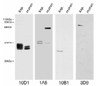
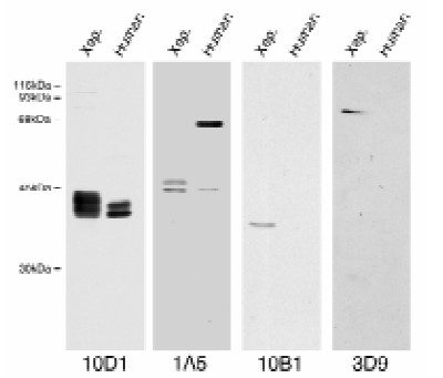
Fig. 2. Immunoblot analysis of X. laevis and human proteins with anti-
Xenopus ssDNA-binding protein monoclonal antibodies. Whole X.
laevis lysate (lanes Xep.) and whole human HeLa cell lysate (lanes Human)
proteins were resolved by SDS-PAGE, transferred to nitrocellulose, and
probed with the indicated monoclonal antibodies. Positions of molecular
mass standards are indicated on the left. |
|
Fig. 3. Immunofluorescence microscopy staining of X. laevis cells
with monoclonal antibodies to ssDNA-binding proteins. X. laevis
kidney epithelial (A6) cells grown on glass slides were fixed, permeabilized,
and immunostained with the indicated monoclonal antibodies. Representative
fields of cells are shown in each case, together with the corresponding
phase microscopy image. Bar, 10 mm. |
|
Fig. 4. Two-dimensional gel
electrophoresis and
immunoblot analysis of X.
laevis ssDNA-binding proteins.
Proteins from the 2.0
M NaCl eluate shown in Fig. 1
were resolved by two-dimensional
gel electrophoresis,
using NEPHGE in the first dimension
and SDS-PAGE in
the second dimension. The separated proteins were visualized by silver staining (left panel), by immunoblotting with 10D1 (middle panel), or by
immunoblotting with 1A5 (right panel). Arrowheads in the left panel point to proteins reactive with the 10D1 monoclonal antibody. Arrows in the left and
right panels point to the position of the 1A5-reactive proteins. Positions of molecular mass standards are indicated on the left. |
|
Fig. 5. Identification of human
hnRNP proteins as antigens
for 10D1 and 1A5.
HeLa cell nuclear extract was
fractionated by ssDNA-cellulose
chromatography, and proteins
eluted with 2.0 M NaCl
were resolved by two-dimensional gel electrophoresis. Proteins were visualized by silver staining (left panel), or by immunoblotting with 10D1 (middle panel) or 1A5
(right panel). The positions of hnRNP A1, A2, B1, B2, and K, are indicated on the silver-stained gel. |
|
Fig. 6. Immunoblot analysis of proteins crosslinked to poly(A)+ RNA
in vivo. Living X. laevis A6 cells were exposed to ultraviolet light, and
poly(A)+ RNA was then isolated with its covalently bound proteins. Proteins
were released from the crosslinked complexes with RNase digestion,
resolved by SDS-PAGE, and probed with the indicated antibodies. Lanes
are labeled as follows: Total: whole A6 cell proteins without crosslinking
and oligo(dT) selection; +UV: oligo(dT)-selected complexes from cells
exposed to UV light; -UV: control experiment carried out as shown in the
+UV lanes except that exposure of the cells to UV light was omitted. |
|
Fig. 7. Binding of 10D1 to X. laevis hnRNP A2 transcribed and translated
in vitro. X. laevis hnRNP A2 was transcribed from the corresponding cDNA
and translated in vitro in a rabbit reticulocyte lysate in the presence of 35Smethionine.
The translated protein was subsequently immunoprecipitated
using either 10D1 or the anti-hnRNP A1 4B10 monoclonal antibody, as
indicated. Total translation reaction equivalent to one-fifth of the material
used for immunoprecipitation was resolved on the same gel for comparison
(lane �A2 cDNA�). The translation products were visualized by autoradiography.
Lane �No DNA�: total translation product from an identical reaction
performed in parallel in which no exogenous DNA was added. |
|
Fig. 8. Immunopurification of X. laevis hnRNP
complexes from somatic cells.
Immunopurifications with the 10D1 antibody
were carried out from X. laevis cell lysate
prepared in isotonic buffer containing 0.5%
Triton X-100 (panel TNX-100) or in the presence
of the ionic detergent Empigen BB (panel
Empigen). Immunopurified complexes were
resolved by two-dimensional gel electrophoresis,
and proteins were visualized by silver staining.
The positions of known hnRNP proteins
(determined by immunoblot analyses not
shown) are indicated. Proteins that also bind
ssDNA are indicated with arrows. Ig h.c. and Ig
l.c. refer to heavy and light chains, respectively,
of the 10D1 antibody. Asterisks indicate proteins
originating also from the antibody preparation.
Positions of molecular mass standards
are indicated on the left. |
|
Fig. 9. Immunopurification with 10D1 from
Xenopus oocyte nuclear and cytoplasmic
fractions. X. laevis oocytes (ca. 20 oocytes)
were manually dissected into nuclear and cytoplasmic
fractions, and immunopurifications
were carried out from each fraction with the
10D1 antibody as described in Fig. 8. Proteins
in the immunopurified complexes were resolved
by two-dimensional gel electrophoresis
and visualized by silver staining also as in
Fig. 8. Left panel: complexes immunopurified
from the nuclear fraction. The positions of
hnRNP A2/B1/B2 and hnRNP K are indicated,
as are the positions of the heavy and light
chains of the antibody used for
immunopurification. Arrows point to additional proteins in the complex that co-migrate with those observed in complexes immunopurified from A6 cells
(compare with Fig. 8). Right panel: immunopurification from the cytoplasmic fraction of an identical number of oocytes as in the left panel. |