XB-ART-8171
J Cell Biol
2001 Oct 29;1553:339-54. doi: 10.1083/jcb.200108007.
Show Gene links
Show Anatomy links
Novel vertebrate nucleoporins Nup133 and Nup160 play a role in mRNA export.
Vasu S, Shah S, Orjalo A, Park M, Fischer WH, Forbes DJ.
???displayArticle.abstract???
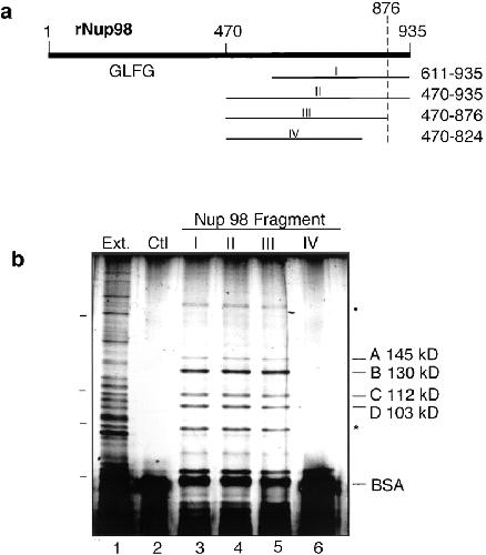
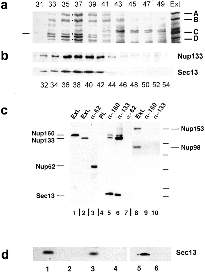
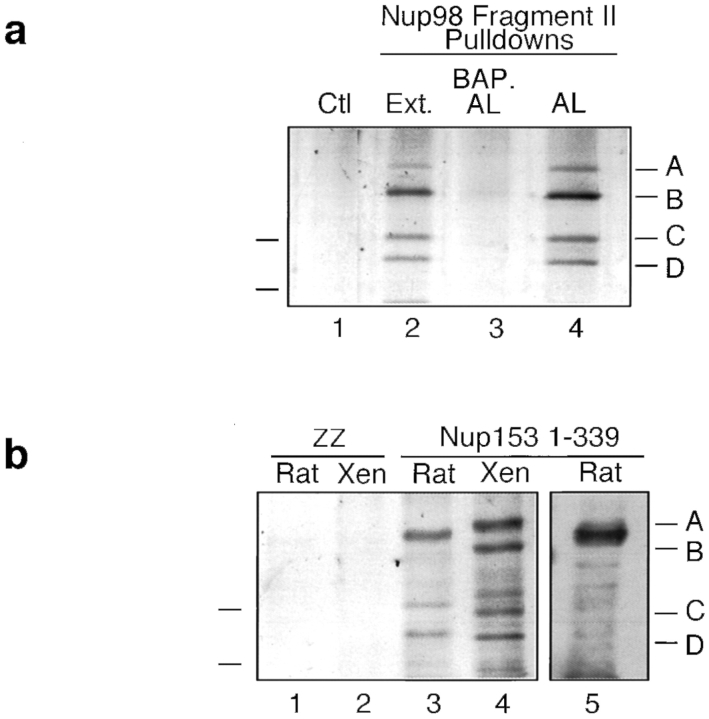
RNA undergoing nuclear export first encounters the basket of the nuclear pore. Two basket proteins, Nup98 and Nup153, are essential for mRNA export, but their molecular partners within the pore are largely unknown. Because the mechanism of RNA export will be in question as long as significant vertebrate pore proteins remain undiscovered, we set out to find their partners. Fragments of Nup98 and Nup153 were used for pulldown experiments from Xenopus egg extracts, which contain abundant disassembled nuclear pores. Strikingly, Nup98 and Nup153 each bound the same four large proteins. Purification and sequence analysis revealed that two are the known vertebrate nucleoporins, Nup96 and Nup107, whereas two mapped to ORFs of unknown function. The genes encoding the novel proteins were cloned, and antibodies were produced. Immunofluorescence reveals them to be new nucleoporins, designated Nup160 and Nup133, which are accessible on the basket side of the pore. Nucleoporins Nup160, Nup133, Nup107, and Nup96 exist as a complex in Xenopus egg extracts and in assembled pores, now termed the Nup160 complex. Sec13 is prominent in Nup98 and Nup153 pulldowns, and we find it to be a member of the Nup160 complex. We have mapped the sites that are required for binding the Nup160 subcomplex, and have found that in Nup98, the binding site is used to tether Nup98 to the nucleus; in Nup153, the binding site targets Nup153 to the nuclear pore. With transfection and in vivo transport assays, we find that specific Nup160 and Nup133 fragments block poly[A]+ RNA export, but not protein import or export. These results demonstrate that two novel vertebrate nucleoporins, Nup160 and Nup133, not only interact with Nup98 and Nup153, but themselves play a role in mRNA export.
???displayArticle.pubmedLink??? 11684705
???displayArticle.pmcLink??? PMC2150853
???displayArticle.link??? J Cell Biol
???displayArticle.grants??? [+]
Species referenced: Xenopus
Genes referenced: nup107 nup133 nup153 nup160 nup214 nup98 ranbp2 sec13 tbx2
???attribute.lit??? ???displayArticles.show???
References [+] :
Aitchison,
Nup120p: a yeast nucleoporin required for NPC distribution and mRNA transport.
1995, Pubmed
Aitchison, Nup120p: a yeast nucleoporin required for NPC distribution and mRNA transport. 1995, Pubmed
Allen, The nuclear pore complex: mediator of translocation between nucleus and cytoplasm. 2000, Pubmed
Altschul, Gapped BLAST and PSI-BLAST: a new generation of protein database search programs. 1997, Pubmed
Bachi, The C-terminal domain of TAP interacts with the nuclear pore complex and promotes export of specific CTE-bearing RNA substrates. 2000, Pubmed , Xenbase
Bailer, Nup116p and nup100p are interchangeable through a conserved motif which constitutes a docking site for the mRNA transport factor gle2p. 1998, Pubmed , Xenbase
Bastos, Targeting and function in mRNA export of nuclear pore complex protein Nup153. 1996, Pubmed
Bharathi, The human RAE1 gene is a functional homologue of Schizosaccharomyces pombe rae1 gene involved in nuclear export of Poly(A)+ RNA. 1997, Pubmed
Conti, Nucleocytoplasmic transport enters the atomic age. 2001, Pubmed
Cordes, High content of a nuclear pore complex protein in cytoplasmic annulate lamellae of Xenopus oocytes. 1995, Pubmed , Xenbase
Dabauvalle, Spontaneous assembly of pore complex-containing membranes ("annulate lamellae") in Xenopus egg extract in the absence of chromatin. 1991, Pubmed , Xenbase
Daigle, Nuclear pore complexes form immobile networks and have a very low turnover in live mammalian cells. 2001, Pubmed , Xenbase
Damelin, Mapping interactions between nuclear transport factors in living cells reveals pathways through the nuclear pore complex. 2000, Pubmed
Davis, The NUP1 gene encodes an essential component of the yeast nuclear pore complex. 1990, Pubmed
Doye, A novel nuclear pore protein Nup133p with distinct roles in poly(A)+ RNA transport and nuclear pore distribution. 1994, Pubmed
Emtage, Defining the essential functional regions of the nucleoporin Nup145p. 1997, Pubmed
Enarson, Amino-terminal sequences that direct nucleoporin nup153 to the inner surface of the nuclear envelope. 1998, Pubmed
Fontoura, The nucleoporin Nup98 is a site for GDP/GTP exchange on ran and termination of karyopherin beta 2-mediated nuclear import. 2000, Pubmed
Fontoura, The nucleoporin Nup98 associates with the intranuclear filamentous protein network of TPR. 2001, Pubmed
Fontoura, A conserved biogenesis pathway for nucleoporins: proteolytic processing of a 186-kilodalton precursor generates Nup98 and the novel nucleoporin, Nup96. 1999, Pubmed
Fornerod, CRM1 is an export receptor for leucine-rich nuclear export signals. 1997, Pubmed , Xenbase
Galy, Nuclear pore complexes in the organization of silent telomeric chromatin. 2000, Pubmed
Goldberg, Dimples, pores, star-rings, and thin rings on growing nuclear envelopes: evidence for structural intermediates in nuclear pore complex assembly. 1997, Pubmed , Xenbase
Görlich, Transport between the cell nucleus and the cytoplasm. 1999, Pubmed
Gouy, Molecular phylogeny of the kingdoms Animalia, Plantae, and Fungi. 1989, Pubmed
Guan, Nup50, a nucleoplasmically oriented nucleoporin with a role in nuclear protein export. 2000, Pubmed
Gustin, Effects of poliovirus infection on nucleo-cytoplasmic trafficking and nuclear pore complex composition. 2001, Pubmed
Heath, Nuclear pore complex clustering and nuclear accumulation of poly(A)+ RNA associated with mutation of the Saccharomyces cerevisiae RAT2/NUP120 gene. 1995, Pubmed
Iovine, A nuclear export signal in Kap95p is required for both recycling the import factor and interaction with the nucleoporin GLFG repeat regions of Nup116p and Nup100p. 1997, Pubmed
Katahira, The Mex67p-mediated nuclear mRNA export pathway is conserved from yeast to human. 1999, Pubmed
Kiseleva, RNP export is mediated by structural reorganization of the nuclear pore basket. 1996, Pubmed
Li, Mutation or deletion of the Saccharomyces cerevisiae RAT3/NUP133 gene causes temperature-dependent nuclear accumulation of poly(A)+ RNA and constitutive clustering of nuclear pore complexes. 1995, Pubmed
Love, Reconstitution of HIV-1 rev nuclear export: independent requirements for nuclear import and export. 1998, Pubmed
Lyman, Nuclear pore complexes: dynamics in unexpected places. 2001, Pubmed
Macaulay, Differential mitotic phosphorylation of proteins of the nuclear pore complex. 1995, Pubmed , Xenbase
Macaulay, Assembly of the nuclear pore: biochemically distinct steps revealed with NEM, GTP gamma S, and BAPTA. 1996, Pubmed , Xenbase
Matsuoka, Identification and characterization of nuclear pore subcomplexes in mitotic extract of human somatic cells. 1999, Pubmed
Mattaj, Nucleocytoplasmic transport: the soluble phase. 1998, Pubmed
Meier, Nuclear pore complex assembly studied with a biochemical assay for annulate lamellae formation. 1995, Pubmed , Xenbase
Miller, Purification of the vertebrate nuclear pore complex by biochemical criteria. 2000, Pubmed , Xenbase
Miller, Identification of a new vertebrate nucleoporin, Nup188, with the use of a novel organelle trap assay. 2000, Pubmed , Xenbase
Murphy, GLE2, a Saccharomyces cerevisiae homologue of the Schizosaccharomyces pombe export factor RAE1, is required for nuclear pore complex structure and function. 1996, Pubmed
Nakielny, Nup153 is an M9-containing mobile nucleoporin with a novel Ran-binding domain. 1999, Pubmed
Panté, Interactions and three-dimensional localization of a group of nuclear pore complex proteins. 1994, Pubmed , Xenbase
Pemberton, Disruption of the nucleoporin gene NUP133 results in clustering of nuclear pore complexes. 1995, Pubmed
Petersen, The matrix protein of vesicular stomatitis virus inhibits nucleocytoplasmic transport when it is in the nucleus and associated with nuclear pore complexes. 2000, Pubmed , Xenbase
Powers, Reconstituted nuclei depleted of a vertebrate GLFG nuclear pore protein, p97, import but are defective in nuclear growth and replication. 1995, Pubmed , Xenbase
Powers, The vertebrate GLFG nucleoporin, Nup98, is an essential component of multiple RNA export pathways. 1997, Pubmed , Xenbase
Pritchard, RAE1 is a shuttling mRNA export factor that binds to a GLEBS-like NUP98 motif at the nuclear pore complex through multiple domains. 1999, Pubmed , Xenbase
Pryer, Cytosolic Sec13p complex is required for vesicle formation from the endoplasmic reticulum in vitro. 1993, Pubmed
Radu, Nup107 is a novel nuclear pore complex protein that contains a leucine zipper. 1994, Pubmed
Radu, The peptide repeat domain of nucleoporin Nup98 functions as a docking site in transport across the nuclear pore complex. 1995, Pubmed
Rosenblum, Autoproteolysis in nucleoporin biogenesis. 1999, Pubmed
Rout, The yeast nuclear pore complex: composition, architecture, and transport mechanism. 2000, Pubmed
Ryan, The nuclear pore complex: a protein machine bridging the nucleus and cytoplasm. 2000, Pubmed
Shah, Separate nuclear import pathways converge on the nucleoporin Nup153 and can be dissected with dominant-negative inhibitors. , Pubmed , Xenbase
Shah, Major binding sites for the nuclear import receptor are the internal nucleoporin Nup153 and the adjacent nuclear filament protein Tpr. 1998, Pubmed , Xenbase
Shaywitz, Human SEC13Rp functions in yeast and is located on transport vesicles budding from the endoplasmic reticulum. 1995, Pubmed
Siniossoglou, Structure and assembly of the Nup84p complex. 2000, Pubmed
Siniossoglou, A novel complex of nucleoporins, which includes Sec13p and a Sec13p homolog, is essential for normal nuclear pores. 1996, Pubmed
Smythe, Incorporation of the nuclear pore basket protein nup153 into nuclear pore structures is dependent upon lamina assembly: evidence from cell-free extracts of Xenopus eggs. 2000, Pubmed , Xenbase
Stoffler, The nuclear pore complex: from molecular architecture to functional dynamics. 1999, Pubmed
Strässer, Binding of the Mex67p/Mtr2p heterodimer to FXFG, GLFG, and FG repeat nucleoporins is essential for nuclear mRNA export. 2000, Pubmed
Stutz, A role for nucleoporin FG repeat domains in export of human immunodeficiency virus type 1 Rev protein and RNA from the nucleus. 1996, Pubmed , Xenbase
Sukegawa, A nuclear pore complex protein that contains zinc finger motifs, binds DNA, and faces the nucleoplasm. 1993, Pubmed
Tan, The mRNA export in Caenorhabditis elegans is mediated by Ce-NXF-1, an ortholog of human TAP/NXF and Saccharomyces cerevisiae Mex67p. 2000, Pubmed
Teixeira, Two functionally distinct domains generated by in vivo cleavage of Nup145p: a novel biogenesis pathway for nucleoporins. 1997, Pubmed
Teixeira, Self-catalyzed cleavage of the yeast nucleoporin Nup145p precursor. 1999, Pubmed
Ullman, The nucleoporin nup153 plays a critical role in multiple types of nuclear export. 1999, Pubmed , Xenbase
Vasu, Nuclear pores and nuclear assembly. 2001, Pubmed
von Kobbe C, Vesicular stomatitis virus matrix protein inhibits host cell gene expression by targeting the nucleoporin Nup98. 2000, Pubmed
Watkins, The human homologue of Saccharomyces cerevisiae Gle1p is required for poly(A)+ RNA export. 1998, Pubmed
Wu, Disruption of the FG nucleoporin NUP98 causes selective changes in nuclear pore complex stoichiometry and function. 2001, Pubmed
Yang, Three-dimensional architecture of the isolated yeast nuclear pore complex: functional and evolutionary implications. 1998, Pubmed
Zolotukhin, Nucleoporins nup98 and nup214 participate in nuclear export of human immunodeficiency virus type 1 Rev. 1999, Pubmed , Xenbase
