|
Fig. 1. Xenopus TAF1 and NFPC expression in the neural ectoderm. In situ hybridization analysis for TAF1 (A�E, I�M) or NFPC (F�H, N, O), viewed in wholemount
(A�I) or in cross section (J�O). At stage 13, TAF1 is expressed throughout the neural plate (np), with highest expression anteriorly. At stages 15 (B) and 17 (C),
TAF1 is expressed in the neural folds (nf). After neural tube closure, TAF1 is expressed throughout the neural tube (nt), in the eye (ey) brachial arches (ba), and
forebrain (fb) (D, E). In contrast, at stage 17, NFPC expression is restricted to the tips of the neural folds (arrow in panels F and G) and in the ventral ectoderm. After
neural tube closure, NFPC is also expressed in the anterior neural tube, eye, and branchial arches (H). (I) A stage 17 embryo stained by in situ for TAF1 (purple) and
with an antibody to NFPC (brown) demonstrates co-localization of NFPC and TAF1 at the tips of the neural folds (arrow). Sections through embryos reveal that TAF1
is expressed throughout the neural plate, the somatic mesoderm (sm), and the inner layer of the epidermal ectoderm (J�M), while NFPC is localized to the tips of the
neural folds (arrow in panel N) and the inner layer of the epidermal ectoderm prior to neural fold fusion. After the neural tube has closed, NFPC is expressed in the
ventral neural tube (O). Other abbreviations: nc, notochord; psm, presomitic mesoderm. |
|
Fig. 2. NFPC and TAF1 antisense morpholinos disrupt neural tube closure.
Embryos were co-injected with NFPCMO (A, D, G), TAF1MO (B, E, H) or
CMO (C, F, I) and nlacZ RNA, fixed at stage 17 (A�C), stage 20 (D�F), or stage
25 (G�I), and processed for β-galactosidase activity. In NFPCMO-injected
embryos, the neural folds were present at stage 17 (A), but by stage 20 (D) and
stage 25 (G), the neural folds have failed to fuse (arrow). Similarly, in embryos
injected with TAF1MO, the neural fold on the injected side formed (arrow in
panel B) but failed to fuse at stage 20 or 25 (E, H). In contrast, control-injected
embryos formed normal neural folds at stage 17 (C), which then fused at stage
20 (F) to form a normal tailbud stage embryo (I). |
|
Fig. 3. Rescue of neural tube defects by ectopic expression of NFPC or TAF1.
(A) Embryos were injected with either NFPCMO or TAF1MO alone or were coinjected
with NFPCMO and NFPC RNA, or TAF1MO and TAF1 RNA, then
fixed at stage 25, and the percentage of injected embryos with neural tube
defects was determined. The percentage of embryos with NTDs was reduced
upon co-expression of NFPC or TAF1, respectively. (B�D) Examples of
rescued, morpholino-injected embryos from (A). The majority of embryos coinjected
with NFPCMO and NFPC mRNA appeared normal (C). While 54% of
TAF1MO and TAF1 mRNA-injected embryos appeared normal (D), 46% still
exhibited NTDs; however, the defects observed were greatly reduced in severity
(white arrows in panel E). |
|
Fig. 4. NFPC and TAF1 dominant-negative constructs disrupt neural tube
formation. Embryos were injected with RNA encoding NFΔE, TAF1ΔN, or
TAF1ΔC, along with nlacZ RNA, or were co-injected with NFΔE and NFPC
RNA or TAF1ΔN and TAF1 RNA then fixed at stage 25 and stained for β-
galactosidase activity. (A) The percentage of injected embryos with NTDs. Both
NFΔE and TAF1ΔN resulted in NTDs, the incidence of which was reduced by
co-expression of NFPC or TAF1, respectively. In contrast, ectopic expression of
TAF1ΔC resulted in few embryos with NTDs. (B�D) Representative embryos
from panel A. Compared to embryos injected with TAF1ΔC RNA (D) or nlacZ
RNA alone (E), embryos injected with NFΔE or TAF1ΔN RNA (arrows in
panels B and C) failed to close the anterior neural tube. |
|
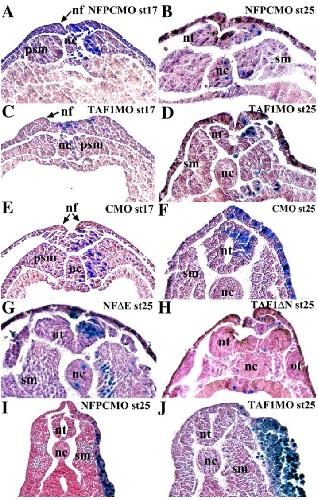
Fig. 5. NFPC and TAF1 function are required during neural fold formation and
neural tube closure. Embryos were co-injected with NFPCMO (A, B, I),
TAF1MO (C, D, J), CMO (E, F), or the dominant-negative constructs NFδE (G)
and TAF1δN (H) and nLacZ RNA, then fixed at stage 17 or stage 25, stained for
β-galactosidase activity, and sectioned. At stage 17, embryos injected with
NFPCMO (A) or TAF1MO (C) failed to form a normal neural fold on the
injected side. By stage 25, the neural tube failed to fuse, although the epidermal
ectoderm had reached the midline (B, D). Similarly, embryos injected with RNA
encoding NFδE (G) or TAF1δN (I) failed to fuse the neural tube by stage 25. In
contrast, embryos injected with CMO (C, D) formed a normal neural fold and
neural tube, as did embryos in which NFPCMO or TAF1MO was targeted to the
epidermal ectoderm (I, J). Abbreviations: nc, notochord; nf, neural fold; nt,
neural tube; psm, presomitic mesoderm; sm, somite. |
|
Fig. 6. NFPC-mediated cell adhesion in the neural plate requires TAF1. (A)
Embryos at the 16-cell stage were injected into a single dorsal blastomere with
RNA encoding the indicated proteins or morpholinos then immunostained at
stage 15, and single labeled cells in the neural ectoderm not in contact with
another labeled cell were counted. As compared to control embryos injected
solely with RNA encoding c-myc (C-MT) or GFP, embryos injected with RNA
encoding NFPC-HT exhibited a reduced number of isolated cells in the neural
ectoderm. The ability of NFPC-HT to suppress cell mixing was abrogated by coinjecting
either the dominant-negative TAF1δN or TAF1MO, indicating that
NFPC requires TAF1 to promote cell adhesion. (B) Embryos injected as above
and stained by immunofluorescence for the histidine epitope tag to reveal NFPCHT
(B and insert in panel C) or the myc epitope tag for TAF1δN-MT (C and D)
or C-MT (E). Arrows indicate isolated cells. |
|
Fig. 7. NFPCMO and TAF1MO alter the organization of the neural folds. (A�F)
Embryos were co-injected with NFPCMO (A, D), TAF1MO (B, E), or CMO
(C, F), and nlacZ RNA, fixed at stage 17, processed for β-galactosidase activity,
then stained with Oregon green-phalloidin to visualize F-actin, and viewed
under fluorescence (A�C) or bright field (D�F). While F-actin was localized to
the apical neural folds in CMO-injected embryos as well as on the uninjected
side in NFPCMO- and TAF1MO-injected embryos (closed arrows in panels
A�C), F-actin staining was lost at the tips of the neural folds on the injected
side (open arrows in panels A, B). (G�L) Embryos injected with antisense
morpholinos and examined by immunofluorescence for β-catenin localization at
stage 17. In control embryos and on the uninjected side of NFPCMO- and
TAF1MO-injected embryos, the neural folds formed normally. In contrast, the
neural fold on the NFPCMO- or TAF1MO-injected side formed abnormally.
High power photomicrographs revealed a disorganized neural epithelial on the
injected side of NFPCMO- and TAF1MO-injected embryos (arrowheads in
panels J, K) as compared to the typical columnar epithelia observed on the
uninjected side or in control embryos (long arrows in panels J�L). In all cases,
β-catenin was still localized to the cell membrane. In all photos, the injected side
is on the right. Abbreviations: nf, neural fold, nc, notochord, nt, neural tube. |
|
Fig. 8. NFPC and TAF1 are required for convergent�extension after the neural
folds have formed. (A) Embryos were injected with NFPCMO, TAF1MO, or
CMO into both dorsal blastomeres at the 4-cell stage, and average length/width
ratios of the AP axis were obtained at the indicated stages. NFPCMO and
TAF1MO did not affect CE until stage 22. (B�D) As compared to the CMO,
NFPCMO and TAF1MO-injected embryos at the equivalent of stage 25
exhibited a shortened AP axis. |
|
set (SET nuclear oncogene) gene expression in a Xenopus laevis embryo as assayed by in situ hybridization, NF stage 28. Lateral view: Anterior left, dorsal up. |
|
pcdh7 (protocadherin 7 ) gene expression in a Xenopus laevis embryo as assayed by in situ hybridization, NF stage 28. Lateral view: Anterior left, dorsal up. |