Click here to close
Hello! We notice that you are using Internet Explorer, which is not supported by Xenbase and may cause the site to display incorrectly.
We suggest using a current version of Chrome,
FireFox, or Safari.
Dev Growth Differ
2001 Dec 01;436:671-81. doi: 10.1046/j.1440-169x.2001.00604.x.
Show Gene links
Show Anatomy links
Calmodulin binds to inv protein: implication for the regulation of inv function.
Yasuhiko Y, Imai F, Ookubo K, Takakuwa Y, Shiokawa K, Yokoyama T.
???displayArticle.abstract???
Establishment of the left-right asymmetry of internal organs is essential for the normal development of vertebrates. The inv mutant in mice shows a constant reversal of left-right asymmetry and although the inv gene has been cloned, its biochemical and cell biological functions have not been defined. Here, we show that calmodulin binds to mouse inv protein at two sites (IQ1 and IQ2). The binding of calmodulin to the IQ2 site occurs in the absence of Ca(2+) and is not observed in the presence of Ca(2+). Injection of mouse inv mRNA into the rightblastomere of Xenopus embryos at the two-cell stage randomized the left-right asymmetry of the embryo and altered the patterns of Xnr-1 and Pitx2 expression. Importantly, inv mRNA that lacked the region encoding the IQ2 site was unable to randomize left-right asymmetry in Xenopus embryos, implying that the IQ2 site is essential for inv to randomize left-right asymmetry in Xenopus. These results suggest that calmodulin binding may regulate inv function. Based on our findings, we propose a model for the regulation of inv function by calcium-calmodulin and discuss its implications.
Fig. 1. Yeast two-hybrid assay. (a) Mouse inv regions fused to
the GAL4-binding domain. Horizontal bars above the schematic
representations of mouse inv indicate regions fused to the GAL4-
binding domain. Ank, ankyrin repeat domain; NLS, nuclear
localization signals; IQ, IQ motif. (b) -Galactosidase activity in
yeast cells cotransformed with GAL4-binding domain fusion
plasmids (pAS-MP, pAS-E286 or pVA3-1) and GAL4 activation
domain fusion plasmids (pCaM8 (calmodulin) or pTD1-1). Blue
staining indicates a positive interaction.
Fig. 2. Gel overlay assays for calmodulin–inv protein binding.
(a) Schematic representations of glutathione S-transferase
(GST)–inv fusion plasmids. Ank, ankyrin repeat domain; NLS,
nuclear localization signals; IQ, IQ motif. Coomassie staining
(b,d,f) and gel overlay assays (c,e,g) for the binding of calmodulin
to GST fusion proteins. (+), (–),bacterial cultures with and
without isopropyl-—D-thiogalactoside (IPTG) induction, respectively.
Fusion proteins are indicated above the gels. Arrowheads
point to proteins expressed. Gel overlay assays were performed
without Ca2+ (c), or with 10mM (e) or 5mM (g) EGTA.
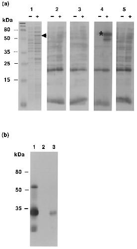
Fig. 3. Calcium dependency of the binding of calmodulin–inv
(B285) protein. (a) Gel overlay assay in the presence and
absence of Ca2+. B285 fusion proteins were electrophoresed in
sodium dodecyl sulfate (SDS)–polyacrylamide gels and transferred
onto polyvinylidene fluoride (PVDF) membranes.
Coomassie staining (panel 1). Calmodulin binding was assessed
in the presence of 500 μM Ca2+ (panel 2), 100 μM Ca2+ (panel 3),
in the absence of Ca2+ (5mM EGTA; panel 4) and in the presence
of 5mM EGTA and 5.5mM Ca2+ (panel 5). Arrowheads point
to the protein expressed. The asterisk indicates a positive signal.
(+), (–), bacterial cultures with and without isopropyl-—
D-thiogalactoside (IPTG) induction, respectively. (b) Calmodulin–
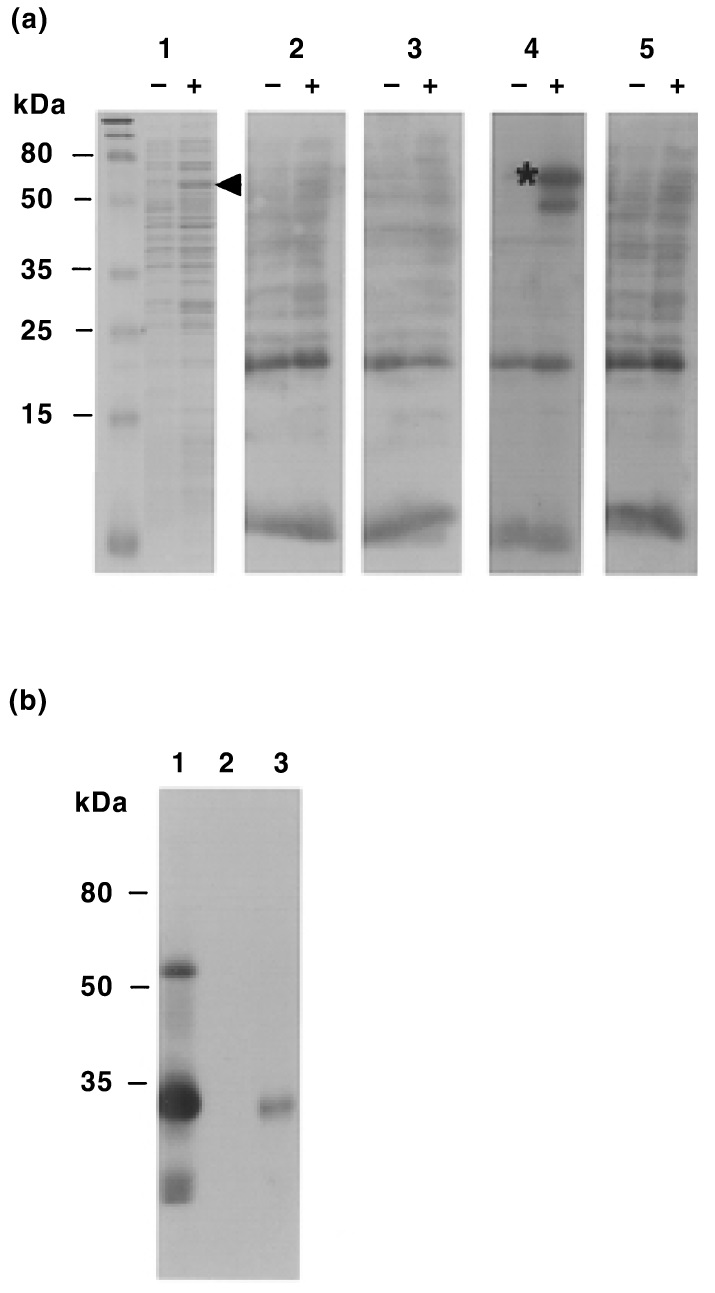
inv protein complex precipitation by magnetic beads in the presence
and absence of Ca2+. Lane 1, B285 protein digested with
Precission protease (Amersham Pharmacia Biotech, Piscataway,
NJ, USA); lane 2, presence of 100 μM Ca2+ with calmodulin; lane
3, absence of Ca2+ (presence of 5mM EGTA) with calmodulin.
Lanes 2, 3, the biotinylated calmodulin–inv (B285) fusion protein
complex was collected with avidin-conjugated magnetic beads.
Complexes were electrophoresed in SDS-polyacrylamide gel and
transferred onto PVDF membranes. Anti-inv antibody was used
to detect B285 protein.
Fig. 4. Xenopus embryos exhibiting situs solitus and abnormal situs. Embryos are shown in the ventral view. (a) An embryo with
normal cardiac looping and gut coiling. (b) An embryo with inverted heart and gut coiling (situs inversus). (c) An example of disturbed
gut coiling that cannot be classified as either clockwise or counterclockwise.
Fig. 5. (a) Reversal of visceral asymmetry by injection of inv
mRNA or -globin mRNA into Xenopus embryos at the two-cell
stage. Horizontal bars indicate the percentage of embryos with
reversed heart orientation. The embryos with inverted heart orientation
are further divided into those with inverted gut coiling
(), disturbed gut coiling ( ), and normal gut coiling (). (b)
Relationship between reversal of cardiac orientation and dosage
of inv mRNA. Error bars represent SEM values from two to six
independent experiments. (), injected into a right blastomere;
(), injected into a left blasomere.
Fig. 6. Whole-mount in situ
hybridization of Xenopus embryos
probed with Xnr-1 (a–d) or Pitx2
(e–g). All embryos are viewed
from the ventral side. Arrows point
to positive staining areas. (a)
Normal left-sided expression of
Xnr-1 in an uninjected embryo.
(b–d) Alteration of Xnr-1 expression
in embryos whose right blastomere
was injected with mouse
inv mRNA. Xnr-1 is expressed on
the right side (b), bilaterally (c) or
absent (d). (e) Normal left-sided
expression of XPitx2 in an uninjected
embryo. Alteration of
XPitx2 expression in embryos
whose right blastomere was
injected with mouse inv mRNA
into the right blastomere. XPitx2 is
expressed on the right side (f) or
bilaterally (g).
Fig. 7. (a) Cardiac reversal in embryos injected with full-length inv, C-terminus-truncated inv and the ankyrin repeat-deleted inv mRNA.
(b) Cardiac reversal in embryos injected with the full-length inv mRNA and mutant inv mRNA lacking the region encoding the IQ1
and/or IQ2 sites. The full-length inv mRNA and mutant inv mRNA injected are shown in the left lane. The side of blastomere injection
is indicated in the middle lane. Percentages of embryos with cardiac reversal are shown in the right lane. The number of embryos
with cardiac reversal/number of embryos examined is shown in parentheses. *No difference from the group whose right blastomere
was injected with full-length mouse inv mRNA. **Statistically different compared with the group whose right blastomere was injected
with full-length mouse inv mRNA.
Fig. 8. Model for inv activation by Ca2+–calmodulin. In the
absence of Ca2+, the inv protein binds to calmodulin at the IQ2
site and is active (left). When intracellular Ca2+ is elevated,
calmodulin is unable to bind to inv and inv becomes inactivated
(right). *Ca2+ dependency of calmodulin binding to the IQ1 site
has not been determined.