|
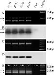
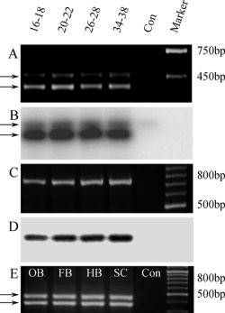
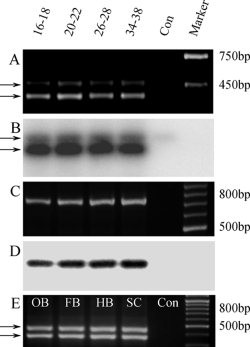
Fig. 1. PACAP (A,B) and PAC1 receptor (C,D) gene expression in
developing Xenopus embryos and PACAP gene expression in several
adult brain regions (E) assayed by RT-PCR. RT-PCR products in
shown A and C were subjected to Southern transfer and hybridized
with oligonuleotides probes corresponding to sequences between the
PCR primers (B and D, respectively). Two PACAP cDNA products
were amplified from embryos and from dissected adult brain areas
(A,B,E), whereas a signal band is amplified with the PAC1 receptor
primers (C,D). Upper arrows correspond to the mRNA encoding both
full-length GHRH and PACAP. Lower arrows correspond to the
mRNA encoding a GHRH/PACAP precursor, which lacks the first 32
amino acids of GHRH. Developmental stages in AâD are indicated.
Con, PCR of embryonic RNA minus reverse transcriptase. Adult brain
regions analyzed in E are olfactory bulb (OB), forebrain (FB), hindbrain
(HB), and spinal cord (SC). |
|
Fig. 2. Whole-mount in situ hybridization illustrating the expression
of PACAP (AâI) and PAC1 (JâO) genes in embryos at different
developing stages. AâI show PACAP mRNA distribution in embryos
at stage 18, 21, 23, 25, 26, 27, 29, 31, and 33, respectively. PACAP
mRNA signals were first localized at stage 21 in the embryonic spinal
cord (small arrow in B). At the later stages, PACAP mRNA signals
were continuously detected in the dorsal part of the entire spinal cord
and middle/posterior rhombencephalon (small arrows in BâI). Hybridization
signals were not present in the embryonic forebrain over the
course of study (open arrows in DâH). Starting from stage 23 (C),
however, PACAP gene transcripts were observed in the trigeminal
ganglia (large arrows in CâH). JâO show PAC1 mRNA distribution in
embryos at stage 18, 21, 26, 28, 31, and 33, respectively. PAC1 mRNA
signals were first detected in the forebrain area at stage 21 (solid
arrow in K). At the later stages, PAC1 mRNA signals were continuously
detected in deep portions of the forebrain, including the tuberculum
posterior, prosencephalon, mesencephalon, rhombencephalon,
and anterior spinal cord (solid arrows in LâO). PAC1 gene transcripts
were not discernible in the forebrain of embryos at stages 18 (open
arrow in J) or in the middle/posterior spinal cord at any stage (open
arrows in KâO). SC, spinal cord; F, forebrain; TG, trigeminal ganglion.
Scale bar 5 2 mm. |
|
Fig. 3. Representative sections showing PACAP mRNA distribution
in stage 26â28 embryos. Embryos were sectioned after wholemount
in situ hybridization. PACAP mRNA was not detected in the
forebrain or anterior rhombencephalon (open arrows in AâC) but was
found to be present from the middle portion of the rhombencephalon
(arrows in D) and throughout the spinal cord (arrows in EâH). Outside
the neural tube, PACAP gene expression was also noted in the
trigeminal ganglia (arrows in B,C). Dashed lines in CâH outline the
boundary of the neural tube. N, notochord; M, mesencephalon; P,
prosencephalon; R, rhombencephalon; T, tuberculum posterior; SC,
spinal cord. Scale bar 5 500 mm in A (applies to A,B), 100 mm in H
(applies to CâH). |
|
Fig. 4. Comparison of the distribution of PACAP mRNA with that
of neuronal-specific class II b-tubulin (N-tubulin) in the neural tube of
Xenopus embryos. A,B and C,D illustrate the localization of N-tubulin
and PACAP mRNA in the neural tube of stage 28 embryos, respectively.
Whole-mount in situ hybridization revealed a distribution of
N-tubulin mRNA (arrow in A) similar to that of PACAP mRNA (arrow
in C) in the spinal cord (SC). Inside the spinal cord, N-tubulin mRNA
hybridization signals (arrows in B) were present mainly in the Rohon-
Beard neurons (RB) and motoneurons (MN). N-tubulin mRNA was
also detected in the interneurons between Rohon-Beard and motoneurons
(arrowhead in B). Conversely, throughout the spinal cord,
PACAP mRNA signals were found only in the dorsolateral part of the
spinal cord, corresponding to the positions of Rohon-Beard neurons
(arrow in D). Dashed lines in B,D outline the approximate boundary
of the neural tube. N, notochord. Scale bar 5 300 mm in C (applies to
A,C), 100 mm in D (applies to B,D). |
|
Fig. 5. Representative sections showing PAC1 receptor mRNA
distribution in stage 28â30 embryos. Embryos were subjected to
whole-mount in situ hybridization before sectioning. In the anterior
forebrain, PAC1 mRNA signals were moderately abundant in the
ventral prosencephalon and mesencephalon (arrows in A,B). High
levels of PAC1 gene expression were also noted in the ventral parts of
the anterior, middle, and posterior rhombencephalon (arrows in
CâE, respectively). In the anterior spinal cord, PAC1 mRNA signals
were observed only in the ventral area (arrows in F,G). No obvious
PAC1 gene transcripts were present in the dorsal region or floor plate
of the neural tube. PAC1 gene expression was undetectable from the
middle (open arrows in H) to caudal spinal cord. Dashed lines in
EâH outline the approximate boundary of the neural tube. M, mesencephalon;
P, prosencephalon; T, tuberculum posterior; R, rhombencephalon;
SC, spinal cord; N, notochord. Scale bar 5 200 mm in A
(applies to A,B), 50 mm in H (applies to CâH). |
|
Fig. 6. Detailed distribution of PAC1 mRNA in representative
sections of the prosencephalon (A,B) and rhombencephalon (C,D) of
the embryos at stage 30. B and D are higher magnifications of the
boxed areas in A and C, respectively. Note the presence of PAC1
hybridization signals in the ventricular zone (large solid arrows in
B,D) and in areas of the neural tube containing presumed postmitotic
cells (small arrows in B,D). PAC1 mRNAs were not detected in the
floor plate (open arrow in D) or alar region. N, notochord. Scale bar 5
0.5 mm in C (applies to A,C), 200 mm in D (applies to B,D). |
|
Fig. 7. Changes of PACAP and PAC1 gene expression in the Xenopus
embryos treated with UV irradiation and lithium. UV treatment
resulted in an obvious down-regulation of PACAP and PAC1
gene expression as analyzed after 22 and 35 PCR cycles. Both
G-PACAP and T-PACAP gene expressions (upper and lower bands in
top gel, respectively) were inhibited after UV treatment. Lithium
treatment did not induce an obvious change in the gene expression of
PACAP or PAC1. Globin and H-4 mRNA levels (controls) were unchanged
after UV irradiation or lithium treatment (25 cycles). Con,
control embryos without UV or LiCl treatment; NC, negative control
(minus reverse transcription control sample). |
|
adcyap1 (adenylate cyclase activating polypeptide 1 (pituitary) ) gene expression in Xenopus laevis embryo, assayed via in situ hybridization, NF stage 31, lateral view, anterior right, dorsal up. |
|
adcyap1r1 (adenylate cyclase activating polypeptide 1 (pituitary) receptor type I) gene expression in Xenopus laevis embryo, assayed via in situ hybridization, NF stage 31, lateral view, anterior right, dorsal up. |