Click here to close
Hello! We notice that you are using Internet Explorer, which is not supported by Xenbase and may cause the site to display incorrectly.
We suggest using a current version of Chrome,
FireFox, or Safari.
Thyroid hormone-induced expression of sonic hedgehog correlates with adult epithelial development during remodeling of the Xenopus stomach and intestine.
???displayArticle.abstract???
Sonic hedgehog (Shh) was isolated from the Xenopus laevis intestine as an early thyroid hormone (TH) response gene. To investigate possible roles of TH-upregulated expression of Shh during metamorphosis, we raised a polyclonal antibody against Xenopus Shh and immunohistochemically examined the relationship between Shh expression and the larval-to-adult intestinal remodeling at the cellular level. Our results indicate that the epithelial-specific expression of Shh in the intestine spatiotemporally correlates well with active proliferation and/or initial differentiation of the secondary (adult) epithelial primordia that originate from stem cells, but not with apoptosis of the primary (larval) epithelium. Given the similar transformations of the stomach during metamorphosis, we also analyzed Shh expression in this organ and found similar correlations in the stomach, although the position of the adult epithelial primordia and their final differentiation in the stomach are different from those in the intestine. Furthermore, we show here that Shh expression is organ-autonomously induced by TH and its correlation with the adult epithelial development is reproduced in vitro in both the intestine and the stomach. More importantly, addition of recombinant Shh protein to the culture medium results in developmental anomalies of both organs. However, differentiation of the adult epithelium is more severely inhibited by exogenous Shh in the intestine than in the stomach. These results suggest that TH-upregulated expression of Shh plays important roles in the postembryonic gastrointestinal remodeling, but its roles are at least partially different between the intestine and the stomach.
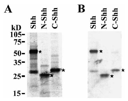
Fig. 1 Anti-Xenopus Shh antiserum specifically recognizes Shh proteins.
The full-length Shh (Shh), its N-terminal fragment (N-Shh),
or C-terminal fragment (C-Shh) were made in the presence of [35S]
methionine (35S-Met) and were electrophoresed on SDS-protein
gels. The gels were either autoradiographed directly (A) or subjected
to Western blot analysis with the rabbit anti-Xenopus Shh
antiserum (B). Note that all of Shh, N-Shh, and C-Shh (asterisks)
were recognized by the antibody.
Fig. 2 Shh is expressed in crude extract of the X. laevis stomach
(lanes 2, 4) and small intestine (lanes 3, 5) at stage 60. The amount
of protein applied to each lane was 20 mg. Molecular weight
markers are indicated on the left (lane 1). Two immunoreactive
bands (arrowheads), corresponding to full length and N-terminal
half of the processed Shh, were clearly detected in the stomach. *Ω
nonspecific bands.
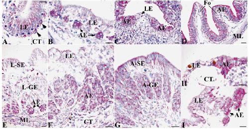
Fig. 3 A–I Shh expression correlates
spatiotemporally with
larval-to-adult remodeling of
the Xenopus small intestine
during metamorphosis. Crosssections
were immunostained
with Shh (A–F, H) and IFABP
(G, I) antibodies. No immunoreactivity
for Shh is detected in
the larval intestine at stage 56
(A). Then only the larval epithelium
(LE) facing the lumen
(L) becomes positive for Shh at
stage 59 (B). At early (C) and
late (D) stage 60, primordia of
the adult epithelium show a
positive staining for Shh (arrowheads).
The adult epithelial
primordia (AE) remain positive
for Shh, while the larval
epithelium becomes almost
negative at stage 61 (E).
Thereafter, at stage 63, the Shh
immunoreactivity in the adult
epithelium rapidly decreases in
intensity from the crest to the
trough of newly formed intestinal
folds (Fo) (F). In contrast,
the immunoreactivity for
IFABP rapidly increases in intensity
from the crest to the
trough of the folds (G). At the
completion of metamorphosis
(stage 66), the adult epithelium
becomes negative for Shh
(H) and is differentiated into
the absorptive epithelium positive
for IFABP (I). CTΩconnective
tissue; MLΩmuscular
layer; Bars: 20 mm.
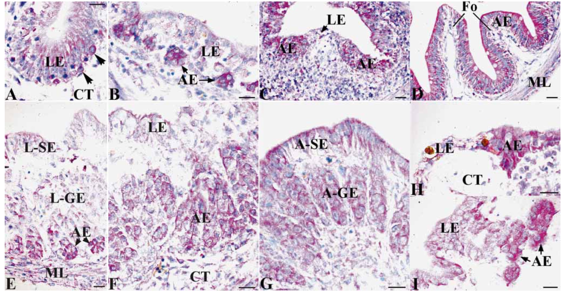
Fig. 4 A–I Development of the adult epithelium (AE) both in vivo
and in vitro, stained with methyl green-pyronin Y. A–D Small intestine.
Primordia of the adult epithelium appear as small islets
between the larval epithelium (LE) and the connective tissue (CT)
early stage 60 (A, arrows) and then rapidly grow in size (B). At
stage 61 the adult epithelial primordia rapidly replace the degener-
ating larval epithelium (C). At stage 63 the adult epithelium com- pletely
replaces the larval epithelium and forms intestinal folds (Fo)
(D). E–G Stomach. Primordia of the adult epithelium are localized
in the basal region of larval glands (L-GE) at stage 60 (E). At
stage 61 the adult epithelial primordia rapidly replace the degenerating larval epithelium (F). Thereafter, by stage 63, the adult epithelium completely replaces the larval epithelium and differenatiates into the surface (A-SE) and glandular epithelia (A-GE) (G). H, I Primordia of the adult epithelium in the intestine (H) and
the stomach (I) organotypically cultured for 5 days in the presence of TH. L-SEΩlarval surface epithelium; MLΩmuscular layer; Bars: 20 mm.
Fig. 5 A–D Primordia of the adult epithelium (AE) express Shh and actively proliferate in the intestine at early stage 61. (A, B) Adjacent sections stained with methyl green-pyronin Y (A) and immunostained with Shh antibody (B). A strong Shh immunoreac-tivity is localized in adult epithelial primordia but not in the larval epithelium (LE). (C, D) Adjacent sections immunostained with PCNA (C) and Shh (D) in the epithelium express Shh. Bars: 20 mm.antibodies. The actively proliferating cells
Fig. 6 A–I Shh expression correlates
spatiotemporally with
larval-to-adult remodeling of
the Xenopus stomach during
metamorphosis. Cross-sections
were immunostained with Shh
(A–F, H) and Pg (G, I) antibodies.
No immunoreactivity
for Shh is detected in the larval
stomach at stage 57 (A). Then
only the larval surface epithelium
(L-SE) becomes positive
at stage 59 (B). At stage 60
adult epithelial primordia (AE)
localized in the basal region of
larval glands (L-GE) become
strongly positive for Shh (C,
arrowheads). Their immunoreactivity
is stronger than that
in the other region of the epithelium
(D). Both the connective
tissue (CT) and the muscular
layer (ML) remain almost
negative. At stage 61 the adult
epithelial primordia remain
strongly positive for Shh,
while the larval epithelium
(LE) becomes almost negative
(E). At stage 63 the Shh immunoreactivity
rapidly decreases
in intensity in both the
adult surface (A-SE) and
glandular epithelia (A-GE) and
is only weakly detected in the
neck region of the adult glands
(F, arrowheads). In contrast,
the adult glands become positive
for Pg (G). At stage 66 the
adult epithelium is negative for
Shh (H) and is fully differentiated
into the surface mucous
epithelium and the glandular
epithelium positive for Pg (I).
LΩlumen; Bars: 20 mm.
Fig. 7 A–L Shh expression
correlates with epithelial development
and its addition to
the medium caused developmental
anomalies in vitro. The
intestine (A, C, E, G, I–K) and
the stomach (B, D, F, H, L) organotypically
cultured in the
presence (A–F, I–L) and absence
(G, H) of TH. Cross-sections
were immunostained with
Shh (A–D, G, H), IFABP (E),
Pg (F), and PCNA (I, J) antibodies,
and stained with hematoxylin
and PAS (K, L). A, B
Day 5 in the presence of TH.
Primordia of the adult epithelium
(AE) are strongly positive
for Shh. C–F Day 7 in the
presence of TH. The adult epithelium
becomes almost negative
for Shh in both organs (C,
D). The adult epithelium in the
intestine is differentiated into
the absorptive epithelium positive
for IFABP in the intestine
(E), whereas that in the stomach
is differentiated into the
surface epithelium (A-SE) and
the glandular epithelium (AGE)
positive for Pg (F). G, H
Day 5 in the control medium
deprived of TH. The larval epithelium
(LE) remains intact
and almost negative for Shh in
both organs. I, J Day 5 in the
presence of TH. Proliferating
cells are mostly localized in
the epithelium (arrowheads) in
the absence of exogenous Shh
(I), but are easily detectable in
the connective tissue (arrows)
when 0.5 mg/ml N-Shh protein
is added to the medium (J). K,
L Day 7 in the presence of
both TH and 0.5 mg/ml NShh.
The epithelium (E) has no
lumen and fails to form a
simple layer in the intestine
(K). In contrast, in the stomach
(L), the epithelium is differentiated
into the PAS-positive
surface mucous epithelium
(arrow). L-SEΩlarval surface
epithelium; L-GEΩlarval
glandular epithelium; CTΩ
connective tissue; Bars: 20 mm.
Fig. 8 Addition of N-Shh protein to the medium changes the proliferating
activity of intestinal tissues in vitro. Labeling indices of
proliferating cells in the epithelium (hatched bars) and the nonepithelial
tissues (filled bars) were measured after 5 days of treatment
with 0, 0.5, or 5.0 mg/ml N-Shh. Each value represents the mean π
SD of more than six explants. N-Shh significantly promotes cell
proliferation both in the epithelium and in nonepithelial tissues in
the absence of TH, but it does so only in the nonepithelial tissues
in its presence.
**P0.001 compared with control explants (0 mg/ml N-Shh)
*P 0.002 compared with control explants (0 mg/ml N-Shh)