XB-ART-7846
Development
2002 Jan 01;1291:37-52. doi: 10.1242/dev.129.1.37.
Show Gene links
Show Anatomy links
Beta-catenin, MAPK and Smad signaling during early Xenopus development.
???displayArticle.abstract???
Knowledge of when and where signaling pathways are activated is crucial for understanding embryonic development. In this study, we have systematically analyzed and compared the signaling pattern of four major pathways by localization of the activated key components beta-catenin (Wnt proteins), MAPK (tyrosine kinase receptors/FGF), Smad1 (BMP proteins) and Smad2 (Nodal/activin/Vg1). We have determined semi-quantitatively the distribution of these components at 18 consecutive stages in Xenopus development, from early blastula to tailbud stages, by immunofluorescence on serial cryosections. The image obtained is that of very dynamic and widespread activities, with very few inactive regions. Signaling fields can vary from large gradients to restricted areas with sharp borders. They do not respect tissue boundaries. This direct visualization of active signaling verifies several predictions inferred from previous functional data. It also reveals unexpected signal patterns, pointing to some poorly understood aspects of early development. In several instances, the patterns strikingly overlap, suggesting extensive interplay between the various pathways. To test this possibility, we have manipulated maternal beta-catenin signaling and determined the effect on the other pathways in the blastula embryo. We found that the patterns of P-MAPK, P-Smad1 and P-Smad2 are indeed strongly dependent on beta-catenin at this stage.
???displayArticle.pubmedLink??? 11782399
???displayArticle.link??? Development
Species referenced: Xenopus laevis
Genes referenced: ctnnb1 mapk1 smad1 smad2 uqcc6
???attribute.lit??? ???displayArticles.show???
|
|
Fig. 1. Example of image processing for the analysis of nuclear signals: b-catenin staining of a parasagittal section, stage 10.25. 25 consecutive images of b- catenin signal (A, red channel) and of DAPI staining (B, blue channel) were collected and collated automatically. The two images were merged (C), and filtered through a mask (D) created from the DAPI image. Because nuclei are small and their intensity difficult to visualize at low magnification, the nuclear area was expanded (E). To obtain semiquantitative information, the intensity of the b-catenin signal was translated into pseudocolors (F). The intensities were divided into five categories and translated into a color code (red to white) used for our drawings (G). Note that pale yellow can represent very weak or inhomogeneous signals. An identical procedure was used to analyze signals for P-Smad2 (red channel), P-Smad1 and PMAPK (green channel). |
|
|
Fig. 2. Distribution of nuclear b-catenin, P-MAPK and P-Smads during blastula stages. Because there are only few nuclei per section at early stages, nuclear images of several sections were superimposed (number of sections: stages 8 and 8.5=5; stage 9=3-4; stage 9.5=3). b-catenin and P-MAPK images are from double-stained sections. Arrows and arrowheads point at particular aspects of the patterns discussed in the text. |
|
|
Fig. 3. Examples of staining at stage 9 (blastula). (A-C) Original images; (A'-C', A''-C'') nuclear images. b-catenin and PMAPK images are from double-stained sections. In the Smad1 image (A), the yolk was counterstained with Eriochrome Black (red). C',C'') Nuclear images of 4 equatorial sections, superimposed. Arrows and arrowheads: prominent patterns, see explanations in the text. |
|
|
Fig. 4. b-catenin distribution at mid (8.5) and late blastula (9.5) stages in normal and UV-irradiated embryos. (A-F) Original images; (A¢-F¢) nuclear images. Arrows, arrowheads and asterisks: prominent patterns, see explanations in the text. |
|
|
Fig. 5. Examples of staining at early gastrula stage. (A-D) Original images; (A'-D', A''-D'') nuclear images. b-catenin and P-MAPK images are from double-stained sections. bp, dorsal blastopore lip. Other symbols: see explanations in the text. |
|
|
Fig. 6. Examples of staining at various gastrula stages. (A-E) Original images; (A¢,C¢-E¢,C¢¢-E¢¢) nuclear images. C¢¢ and D¢¢ are from a doublestained section. All sections are sagittal. bp, dorsal blastopore lip. Other symbols: see explanations in the text. |
|
|
Fig. 7. b-catenin/P-MAPK staining of stage 16 neurula, parasagittal section. (A) Original b-catenin image; (B) b-catenin nuclear image; (C) P-MAPK nuclear image; (D) overlay of b-catenin and P-MAPK nuclear images. Note the overlapping staining (asterisk) in the posterior circumblastoporal collar (cc) and the complementary patterns in the brain (arrowhead and carets). The arrow indicates the midbrain-hindbrain boundary. Star, posterior endodermal b-catenin staining; en, endoderm; ep, epidermis; fb, forebrain; md, midbrain; hb, hindbrain; np, neural plate; sm, presomitic mesoderm. |
|
|
Fig. 8. Schematic drawings of the various stages and the main regions of the early Xenopus embryo. |
|
|
Fig. 9. Fig. 9, Fig. 10, Fig. 11, Fig. 12 are summary diagrams of b-catenin, PMAPK, Smad2 and Smad1 pattern during early development, respectively. Each drawing represents an average pattern obtained by analysis of several sections. The relative intensities between various stages were compared using pseudocolors images (see Fig. 1). Red is strongest, pale yellow is very weak/inhomogeneous. The spotted pattern of Smad2 at stage 8 indicates a very heterogeneous signal. All sections are sagittal unless stated otherwise. eq, equatorial; ps, parasagittal; tr, transversal. |
|
|
Fig. 10. MAPK signaling during early Xenopus development (see Fig. 9 legend). |
|
|
Fig. 11. Smad2 signaling during early Xenopus development (see Fig. 9 legend). |
|
|
Fig. 12. Smad1 signaling during early Xenopus development (see Fig. 9 legend). |
|
|
Fig. 13. Signaling patterns at blastula stage in manipulated embryos. (A-A¢¢¢) controls; (B-B¢¢¢) UV-irradiated embryos; (C-C¢¢¢) LiCl-treated embryos; (D-D¢¢¢) embryos ventrally injected with b-catenin mRNAs (large arrowhead). (A-D,A¢¢-D¢¢) original images; (A¢-D¢,A¢¢¢-D¢¢¢) nuclear images. A-A¢¢, B-B¢¢ and C-C¢¢ are from double stained sections. All other images are from contiguous sections from the same embryos. Arrows, arrowheads and asterisks: see explanations in the text. |
|
|
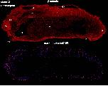
β-catenin staining during stages 8-31 of Xenopus development. Most images present both original and nuclear images (masks), as described in the manuscript. For β-catenin staining of the latest stages, we show only merged β-catenin/DAPI images. Nuclear images could not be obtained due to poor separation of the nuclear and membrane signals in these small cells. Abbreviations: ac, archenteron; ba, branchial arches; ax, axial mesoderm; bl, blastocoel, bp, dorsal blastopore; br, brain; bv, brain vesicle; cc, circumblastoporal collar; cg, cement gland; dm, dermatome; dl, dorsal lip; en, endoderm; ev, ear vesicle; ey, eye/ eye anlage; fb, forebrain; fg, foregut; fi, dorsal fin; ha, heart anlage; hb, hindbrain; mb, midbrain; me, mesenchyme; mg, midgut; ne, neurectoderm; nc, neural crest cells; no, notochord; nt, neural tube; pn, pronephros anlage; pr, proctodeum; sm, presomitic/ somitogenic mesoderm; so, somites; st, stage; tb, tailblastema/tailbud; vl, ventral lip; vm, ventral mesoderm. |
|
|
β-catenin staining during stages 8-31 of Xenopus development. Most images present both original and nuclear images (masks), as described in the manuscript. For β-catenin staining of the latest stages, we show only merged β-catenin/DAPI images. Nuclear images could not be obtained due to poor separation of the nuclear and membrane signals in these small cells. Abbreviations: ac, archenteron; ba, branchial arches; ax, axial mesoderm; bl, blastocoel, bp, dorsal blastopore; br, brain; bv, brain vesicle; cc, circumblastoporal collar; cg, cement gland; dm, dermatome; dl, dorsal lip; en, endoderm; ev, ear vesicle; ey, eye/ eye anlage; fb, forebrain; fg, foregut; fi, dorsal fin; ha, heart anlage; hb, hindbrain; mb, midbrain; me, mesenchyme; mg, midgut; ne, neurectoderm; nc, neural crest cells; no, notochord; nt, neural tube; pn, pronephros anlage; pr, proctodeum; sm, presomitic/ somitogenic mesoderm; so, somites; st, stage; tb, tailblastema/tailbud; vl, ventral lip; vm, ventral mesoderm. |
|
|
β-catenin staining during stages 8-31 of Xenopus development. Most images present both original and nuclear images (masks), as described in the manuscript. For β-catenin staining of the latest stages, we show only merged β-catenin/DAPI images. Nuclear images could not be obtained due to poor separation of the nuclear and membrane signals in these small cells. Abbreviations: ac, archenteron; ba, branchial arches; ax, axial mesoderm; bl, blastocoel, bp, dorsal blastopore; br, brain; bv, brain vesicle; cc, circumblastoporal collar; cg, cement gland; dm, dermatome; dl, dorsal lip; en, endoderm; ev, ear vesicle; ey, eye/ eye anlage; fb, forebrain; fg, foregut; fi, dorsal fin; ha, heart anlage; hb, hindbrain; mb, midbrain; me, mesenchyme; mg, midgut; ne, neurectoderm; nc, neural crest cells; no, notochord; nt, neural tube; pn, pronephros anlage; pr, proctodeum; sm, presomitic/ somitogenic mesoderm; so, somites; st, stage; tb, tailblastema/tailbud; vl, ventral lip; vm, ventral mesoderm. |
|
|
β-catenin staining during stages 8-31 of Xenopus development. Most images present both original and nuclear images (masks), as described in the manuscript. For β-catenin staining of the latest stages, we show only merged β-catenin/DAPI images. Nuclear images could not be obtained due to poor separation of the nuclear and membrane signals in these small cells. Abbreviations: ac, archenteron; ba, branchial arches; ax, axial mesoderm; bl, blastocoel, bp, dorsal blastopore; br, brain; bv, brain vesicle; cc, circumblastoporal collar; cg, cement gland; dm, dermatome; dl, dorsal lip; en, endoderm; ev, ear vesicle; ey, eye/ eye anlage; fb, forebrain; fg, foregut; fi, dorsal fin; ha, heart anlage; hb, hindbrain; mb, midbrain; me, mesenchyme; mg, midgut; ne, neurectoderm; nc, neural crest cells; no, notochord; nt, neural tube; pn, pronephros anlage; pr, proctodeum; sm, presomitic/ somitogenic mesoderm; so, somites; st, stage; tb, tailblastema/tailbud; vl, ventral lip; vm, ventral mesoderm. |
|
|
β-catenin staining during stages 8-31 of Xenopus development. Most images present both original and nuclear images (masks), as described in the manuscript. For β-catenin staining of the latest stages, we show only merged β-catenin/DAPI images. Nuclear images could not be obtained due to poor separation of the nuclear and membrane signals in these small cells. Abbreviations: ac, archenteron; ba, branchial arches; ax, axial mesoderm; bl, blastocoel, bp, dorsal blastopore; br, brain; bv, brain vesicle; cc, circumblastoporal collar; cg, cement gland; dm, dermatome; dl, dorsal lip; en, endoderm; ev, ear vesicle; ey, eye/ eye anlage; fb, forebrain; fg, foregut; fi, dorsal fin; ha, heart anlage; hb, hindbrain; mb, midbrain; me, mesenchyme; mg, midgut; ne, neurectoderm; nc, neural crest cells; no, notochord; nt, neural tube; pn, pronephros anlage; pr, proctodeum; sm, presomitic/ somitogenic mesoderm; so, somites; st, stage; tb, tailblastema/tailbud; vl, ventral lip; vm, ventral mesoderm. |
|
|
β-catenin staining during stages 8-31 of Xenopus development. Most images present both original and nuclear images (masks), as described in the manuscript. For β-catenin staining of the latest stages, we show only merged β-catenin/DAPI images. Nuclear images could not be obtained due to poor separation of the nuclear and membrane signals in these small cells. Abbreviations: ac, archenteron; ba, branchial arches; ax, axial mesoderm; bl, blastocoel, bp, dorsal blastopore; br, brain; bv, brain vesicle; cc, circumblastoporal collar; cg, cement gland; dm, dermatome; dl, dorsal lip; en, endoderm; ev, ear vesicle; ey, eye/ eye anlage; fb, forebrain; fg, foregut; fi, dorsal fin; ha, heart anlage; hb, hindbrain; mb, midbrain; me, mesenchyme; mg, midgut; ne, neurectoderm; nc, neural crest cells; no, notochord; nt, neural tube; pn, pronephros anlage; pr, proctodeum; sm, presomitic/ somitogenic mesoderm; so, somites; st, stage; tb, tailblastema/tailbud; vl, ventral lip; vm, ventral mesoderm. |
|
|
β-catenin staining during stages 8-31 of Xenopus development. Most images present both original and nuclear images (masks), as described in the manuscript. For β-catenin staining of the latest stages, we show only merged β-catenin/DAPI images. Nuclear images could not be obtained due to poor separation of the nuclear and membrane signals in these small cells. Abbreviations: ac, archenteron; ba, branchial arches; ax, axial mesoderm; bl, blastocoel, bp, dorsal blastopore; br, brain; bv, brain vesicle; cc, circumblastoporal collar; cg, cement gland; dm, dermatome; dl, dorsal lip; en, endoderm; ev, ear vesicle; ey, eye/ eye anlage; fb, forebrain; fg, foregut; fi, dorsal fin; ha, heart anlage; hb, hindbrain; mb, midbrain; me, mesenchyme; mg, midgut; ne, neurectoderm; nc, neural crest cells; no, notochord; nt, neural tube; pn, pronephros anlage; pr, proctodeum; sm, presomitic/ somitogenic mesoderm; so, somites; st, stage; tb, tailblastema/tailbud; vl, ventral lip; vm, ventral mesoderm. |
|
|
β-catenin staining during stages 8-31 of Xenopus development. Most images present both original and nuclear images (masks), as described in the manuscript. For β-catenin staining of the latest stages, we show only merged β-catenin/DAPI images. Nuclear images could not be obtained due to poor separation of the nuclear and membrane signals in these small cells. Abbreviations: ac, archenteron; ba, branchial arches; ax, axial mesoderm; bl, blastocoel, bp, dorsal blastopore; br, brain; bv, brain vesicle; cc, circumblastoporal collar; cg, cement gland; dm, dermatome; dl, dorsal lip; en, endoderm; ev, ear vesicle; ey, eye/ eye anlage; fb, forebrain; fg, foregut; fi, dorsal fin; ha, heart anlage; hb, hindbrain; mb, midbrain; me, mesenchyme; mg, midgut; ne, neurectoderm; nc, neural crest cells; no, notochord; nt, neural tube; pn, pronephros anlage; pr, proctodeum; sm, presomitic/ somitogenic mesoderm; so, somites; st, stage; tb, tailblastema/tailbud; vl, ventral lip; vm, ventral mesoderm. |
|
|
β-catenin staining during stages 8-31 of Xenopus development. Most images present both original and nuclear images (masks), as described in the manuscript. For β-catenin staining of the latest stages, we show only merged β-catenin/DAPI images. Nuclear images could not be obtained due to poor separation of the nuclear and membrane signals in these small cells. Abbreviations: ac, archenteron; ba, branchial arches; ax, axial mesoderm; bl, blastocoel, bp, dorsal blastopore; br, brain; bv, brain vesicle; cc, circumblastoporal collar; cg, cement gland; dm, dermatome; dl, dorsal lip; en, endoderm; ev, ear vesicle; ey, eye/ eye anlage; fb, forebrain; fg, foregut; fi, dorsal fin; ha, heart anlage; hb, hindbrain; mb, midbrain; me, mesenchyme; mg, midgut; ne, neurectoderm; nc, neural crest cells; no, notochord; nt, neural tube; pn, pronephros anlage; pr, proctodeum; sm, presomitic/ somitogenic mesoderm; so, somites; st, stage; tb, tailblastema/tailbud; vl, ventral lip; vm, ventral mesoderm. |
|
|
β-catenin staining during stages 8-31 of Xenopus development. Most images present both original and nuclear images (masks), as described in the manuscript. For β-catenin staining of the latest stages, we show only merged β-catenin/DAPI images. Nuclear images could not be obtained due to poor separation of the nuclear and membrane signals in these small cells. Abbreviations: ac, archenteron; ba, branchial arches; ax, axial mesoderm; bl, blastocoel, bp, dorsal blastopore; br, brain; bv, brain vesicle; cc, circumblastoporal collar; cg, cement gland; dm, dermatome; dl, dorsal lip; en, endoderm; ev, ear vesicle; ey, eye/ eye anlage; fb, forebrain; fg, foregut; fi, dorsal fin; ha, heart anlage; hb, hindbrain; mb, midbrain; me, mesenchyme; mg, midgut; ne, neurectoderm; nc, neural crest cells; no, notochord; nt, neural tube; pn, pronephros anlage; pr, proctodeum; sm, presomitic/ somitogenic mesoderm; so, somites; st, stage; tb, tailblastema/tailbud; vl, ventral lip; vm, ventral mesoderm. |
|
|
Supplemental Figure 1 MAPK - MAPK staining during stages 8.5-31 of Xenopus development. Most images present both original and nuclear images (masks), as described in the manuscript. Abbreviations: ac, archenteron; ant, anterior; ba, branchial arches; ax, axial mesoderm; bl, blastocoel, bp, dorsal blastopore; br, brain; bv, brain vesicle; cc, circumblastoporal collar; cg, cement gland; dm, dermatome; dl, dorsal lip; en, endoderm; ev, ear vesicle; ey, eye/ eye anlage; fb, forebrain; fg, foregut; fi, dorsal fin; ha, heart anlage; hb, hindbrain; mb, midbrain; me, mesenchyme; mg, midgut; ne, neurectoderm; nc, neural crest cells; no, notochord; np, neural plate; nt, neural tube; pn, pronephros anlage; pr, proctodeum; sm, presomitic/ somitogenic mesoderm; so, somites; st, stage; tb, tailblastema/tailbud; vl, ventral lip; vm, ventral mesoderm. |
|
|
Supplemental Figure 1 MAPK - MAPK staining during stages 8.5-31 of Xenopus development. Most images present both original and nuclear images (masks), as described in the manuscript. Abbreviations: ac, archenteron; ant, anterior; ba, branchial arches; ax, axial mesoderm; bl, blastocoel, bp, dorsal blastopore; br, brain; bv, brain vesicle; cc, circumblastoporal collar; cg, cement gland; dm, dermatome; dl, dorsal lip; en, endoderm; ev, ear vesicle; ey, eye/ eye anlage; fb, forebrain; fg, foregut; fi, dorsal fin; ha, heart anlage; hb, hindbrain; mb, midbrain; me, mesenchyme; mg, midgut; ne, neurectoderm; nc, neural crest cells; no, notochord; np, neural plate; nt, neural tube; pn, pronephros anlage; pr, proctodeum; sm, presomitic/ somitogenic mesoderm; so, somites; st, stage; tb, tailblastema/tailbud; vl, ventral lip; vm, ventral mesoderm. |
|
|
Supplemental Figure 1 MAPK - MAPK staining during stages 8.5-31 of Xenopus development. Most images present both original and nuclear images (masks), as described in the manuscript. Abbreviations: ac, archenteron; ant, anterior; ba, branchial arches; ax, axial mesoderm; bl, blastocoel, bp, dorsal blastopore; br, brain; bv, brain vesicle; cc, circumblastoporal collar; cg, cement gland; dm, dermatome; dl, dorsal lip; en, endoderm; ev, ear vesicle; ey, eye/ eye anlage; fb, forebrain; fg, foregut; fi, dorsal fin; ha, heart anlage; hb, hindbrain; mb, midbrain; me, mesenchyme; mg, midgut; ne, neurectoderm; nc, neural crest cells; no, notochord; np, neural plate; nt, neural tube; pn, pronephros anlage; pr, proctodeum; sm, presomitic/ somitogenic mesoderm; so, somites; st, stage; tb, tailblastema/tailbud; vl, ventral lip; vm, ventral mesoderm. |
|
|
Supplemental Figure 1 MAPK - MAPK staining during stages 8.5-31 of Xenopus development. Most images present both original and nuclear images (masks), as described in the manuscript. Abbreviations: ac, archenteron; ant, anterior; ba, branchial arches; ax, axial mesoderm; bl, blastocoel, bp, dorsal blastopore; br, brain; bv, brain vesicle; cc, circumblastoporal collar; cg, cement gland; dm, dermatome; dl, dorsal lip; en, endoderm; ev, ear vesicle; ey, eye/ eye anlage; fb, forebrain; fg, foregut; fi, dorsal fin; ha, heart anlage; hb, hindbrain; mb, midbrain; me, mesenchyme; mg, midgut; ne, neurectoderm; nc, neural crest cells; no, notochord; np, neural plate; nt, neural tube; pn, pronephros anlage; pr, proctodeum; sm, presomitic/ somitogenic mesoderm; so, somites; st, stage; tb, tailblastema/tailbud; vl, ventral lip; vm, ventral mesoderm. |
|
|
Supplemental Figure 1 MAPK - MAPK staining during stages 8.5-31 of Xenopus development. Most images present both original and nuclear images (masks), as described in the manuscript. Abbreviations: ac, archenteron; ant, anterior; ba, branchial arches; ax, axial mesoderm; bl, blastocoel, bp, dorsal blastopore; br, brain; bv, brain vesicle; cc, circumblastoporal collar; cg, cement gland; dm, dermatome; dl, dorsal lip; en, endoderm; ev, ear vesicle; ey, eye/ eye anlage; fb, forebrain; fg, foregut; fi, dorsal fin; ha, heart anlage; hb, hindbrain; mb, midbrain; me, mesenchyme; mg, midgut; ne, neurectoderm; nc, neural crest cells; no, notochord; np, neural plate; nt, neural tube; pn, pronephros anlage; pr, proctodeum; sm, presomitic/ somitogenic mesoderm; so, somites; st, stage; tb, tailblastema/tailbud; vl, ventral lip; vm, ventral mesoderm. |
|
|
Supplemental Figure 1 MAPK - MAPK staining during stages 8.5-31 of Xenopus development. Most images present both original and nuclear images (masks), as described in the manuscript. Abbreviations: ac, archenteron; ant, anterior; ba, branchial arches; ax, axial mesoderm; bl, blastocoel, bp, dorsal blastopore; br, brain; bv, brain vesicle; cc, circumblastoporal collar; cg, cement gland; dm, dermatome; dl, dorsal lip; en, endoderm; ev, ear vesicle; ey, eye/ eye anlage; fb, forebrain; fg, foregut; fi, dorsal fin; ha, heart anlage; hb, hindbrain; mb, midbrain; me, mesenchyme; mg, midgut; ne, neurectoderm; nc, neural crest cells; no, notochord; np, neural plate; nt, neural tube; pn, pronephros anlage; pr, proctodeum; sm, presomitic/ somitogenic mesoderm; so, somites; st, stage; tb, tailblastema/tailbud; vl, ventral lip; vm, ventral mesoderm. |
|
|
Supplemental Figure 1 MAPK - MAPK staining during stages 8.5-31 of Xenopus development. Most images present both original and nuclear images (masks), as described in the manuscript. Abbreviations: ac, archenteron; ant, anterior; ba, branchial arches; ax, axial mesoderm; bl, blastocoel, bp, dorsal blastopore; br, brain; bv, brain vesicle; cc, circumblastoporal collar; cg, cement gland; dm, dermatome; dl, dorsal lip; en, endoderm; ev, ear vesicle; ey, eye/ eye anlage; fb, forebrain; fg, foregut; fi, dorsal fin; ha, heart anlage; hb, hindbrain; mb, midbrain; me, mesenchyme; mg, midgut; ne, neurectoderm; nc, neural crest cells; no, notochord; np, neural plate; nt, neural tube; pn, pronephros anlage; pr, proctodeum; sm, presomitic/ somitogenic mesoderm; so, somites; st, stage; tb, tailblastema/tailbud; vl, ventral lip; vm, ventral mesoderm. |
|
|
Supplemental Figure 1 MAPK - MAPK staining during stages 8.5-31 of Xenopus development. Most images present both original and nuclear images (masks), as described in the manuscript. Abbreviations: ac, archenteron; ant, anterior; ba, branchial arches; ax, axial mesoderm; bl, blastocoel, bp, dorsal blastopore; br, brain; bv, brain vesicle; cc, circumblastoporal collar; cg, cement gland; dm, dermatome; dl, dorsal lip; en, endoderm; ev, ear vesicle; ey, eye/ eye anlage; fb, forebrain; fg, foregut; fi, dorsal fin; ha, heart anlage; hb, hindbrain; mb, midbrain; me, mesenchyme; mg, midgut; ne, neurectoderm; nc, neural crest cells; no, notochord; np, neural plate; nt, neural tube; pn, pronephros anlage; pr, proctodeum; sm, presomitic/ somitogenic mesoderm; so, somites; st, stage; tb, tailblastema/tailbud; vl, ventral lip; vm, ventral mesoderm. |
|
|
Supplemental Figure 1 MAPK - MAPK staining during stages 8.5-31 of Xenopus development. Most images present both original and nuclear images (masks), as described in the manuscript. Abbreviations: ac, archenteron; ant, anterior; ba, branchial arches; ax, axial mesoderm; bl, blastocoel, bp, dorsal blastopore; br, brain; bv, brain vesicle; cc, circumblastoporal collar; cg, cement gland; dm, dermatome; dl, dorsal lip; en, endoderm; ev, ear vesicle; ey, eye/ eye anlage; fb, forebrain; fg, foregut; fi, dorsal fin; ha, heart anlage; hb, hindbrain; mb, midbrain; me, mesenchyme; mg, midgut; ne, neurectoderm; nc, neural crest cells; no, notochord; np, neural plate; nt, neural tube; pn, pronephros anlage; pr, proctodeum; sm, presomitic/ somitogenic mesoderm; so, somites; st, stage; tb, tailblastema/tailbud; vl, ventral lip; vm, ventral mesoderm. |
|
|
Supplemental Figure 1 MAPK - MAPK staining during stages 8.5-31 of Xenopus development. Most images present both original and nuclear images (masks), as described in the manuscript. Abbreviations: ac, archenteron; ant, anterior; ba, branchial arches; ax, axial mesoderm; bl, blastocoel, bp, dorsal blastopore; br, brain; bv, brain vesicle; cc, circumblastoporal collar; cg, cement gland; dm, dermatome; dl, dorsal lip; en, endoderm; ev, ear vesicle; ey, eye/ eye anlage; fb, forebrain; fg, foregut; fi, dorsal fin; ha, heart anlage; hb, hindbrain; mb, midbrain; me, mesenchyme; mg, midgut; ne, neurectoderm; nc, neural crest cells; no, notochord; np, neural plate; nt, neural tube; pn, pronephros anlage; pr, proctodeum; sm, presomitic/ somitogenic mesoderm; so, somites; st, stage; tb, tailblastema/tailbud; vl, ventral lip; vm, ventral mesoderm. |
|
|
Supplemental Figure 1 Smad1 - Smad1 staining during stages 8.5-31 of Xenopus development. Most images present both original and nuclear images (masks), as described in the manuscript. Note also that the epidermis of late stage embryos shows strong cross-reactivity with Smad1 and Smad2 antibodies. Abbreviations: ac, archenteron; ant, anterior; ba, branchial arches; ax, axial mesoderm; bl, blastocoel, bp, dorsal blastopore; br, brain; bv, brain vesicle; cc, circumblastoporal collar; cg, cement gland; dm, dermatome; dl, dorsal lip; en, endoderm; ev, ear vesicle; ey, eye/ eye anlage; fb, forebrain; fg, foregut; fi, dorsal fin; ha, heart anlage; hb, hindbrain; mb, midbrain; me, mesenchyme; mg, midgut; ne, neurectoderm; nc, neural crest cells; no, notochord; np, neural plate; nt, neural tube; pn, pronephros anlage; pr, proctodeum; sm, presomitic/ somitogenic mesoderm; so, somites; st, stage; tb, tailblastema/tailbud; vl, ventral lip; vm, ventral mesoderm. |
|
|
Supplemental Figure 1 Smad1 - Smad1 staining during stages 8.5-31 of Xenopus development. Most images present both original and nuclear images (masks), as described in the manuscript. Note also that the epidermis of late stage embryos shows strong cross-reactivity with Smad1 and Smad2 antibodies. Abbreviations: ac, archenteron; ant, anterior; ba, branchial arches; ax, axial mesoderm; bl, blastocoel, bp, dorsal blastopore; br, brain; bv, brain vesicle; cc, circumblastoporal collar; cg, cement gland; dm, dermatome; dl, dorsal lip; en, endoderm; ev, ear vesicle; ey, eye/ eye anlage; fb, forebrain; fg, foregut; fi, dorsal fin; ha, heart anlage; hb, hindbrain; mb, midbrain; me, mesenchyme; mg, midgut; ne, neurectoderm; nc, neural crest cells; no, notochord; np, neural plate; nt, neural tube; pn, pronephros anlage; pr, proctodeum; sm, presomitic/ somitogenic mesoderm; so, somites; st, stage; tb, tailblastema/tailbud; vl, ventral lip; vm, ventral mesoderm. |
|
|
Supplemental Figure 1 Smad1 - Smad1 staining during stages 8.5-31 of Xenopus development. Most images present both original and nuclear images (masks), as described in the manuscript. Note also that the epidermis of late stage embryos shows strong cross-reactivity with Smad1 and Smad2 antibodies. Abbreviations: ac, archenteron; ant, anterior; ba, branchial arches; ax, axial mesoderm; bl, blastocoel, bp, dorsal blastopore; br, brain; bv, brain vesicle; cc, circumblastoporal collar; cg, cement gland; dm, dermatome; dl, dorsal lip; en, endoderm; ev, ear vesicle; ey, eye/ eye anlage; fb, forebrain; fg, foregut; fi, dorsal fin; ha, heart anlage; hb, hindbrain; mb, midbrain; me, mesenchyme; mg, midgut; ne, neurectoderm; nc, neural crest cells; no, notochord; np, neural plate; nt, neural tube; pn, pronephros anlage; pr, proctodeum; sm, presomitic/ somitogenic mesoderm; so, somites; st, stage; tb, tailblastema/tailbud; vl, ventral lip; vm, ventral mesoderm. |
|
|
Supplemental Figure 1 Smad1 - Smad1 staining during stages 8.5-31 of Xenopus development. Most images present both original and nuclear images (masks), as described in the manuscript. Note also that the epidermis of late stage embryos shows strong cross-reactivity with Smad1 and Smad2 antibodies. Abbreviations: ac, archenteron; ant, anterior; ba, branchial arches; ax, axial mesoderm; bl, blastocoel, bp, dorsal blastopore; br, brain; bv, brain vesicle; cc, circumblastoporal collar; cg, cement gland; dm, dermatome; dl, dorsal lip; en, endoderm; ev, ear vesicle; ey, eye/ eye anlage; fb, forebrain; fg, foregut; fi, dorsal fin; ha, heart anlage; hb, hindbrain; mb, midbrain; me, mesenchyme; mg, midgut; ne, neurectoderm; nc, neural crest cells; no, notochord; np, neural plate; nt, neural tube; pn, pronephros anlage; pr, proctodeum; sm, presomitic/ somitogenic mesoderm; so, somites; st, stage; tb, tailblastema/tailbud; vl, ventral lip; vm, ventral mesoderm. |
|
|
Supplemental Figure 1 Smad1 - Smad1 staining during stages 8.5-31 of Xenopus development. Most images present both original and nuclear images (masks), as described in the manuscript. Note also that the epidermis of late stage embryos shows strong cross-reactivity with Smad1 and Smad2 antibodies. Abbreviations: ac, archenteron; ant, anterior; ba, branchial arches; ax, axial mesoderm; bl, blastocoel, bp, dorsal blastopore; br, brain; bv, brain vesicle; cc, circumblastoporal collar; cg, cement gland; dm, dermatome; dl, dorsal lip; en, endoderm; ev, ear vesicle; ey, eye/ eye anlage; fb, forebrain; fg, foregut; fi, dorsal fin; ha, heart anlage; hb, hindbrain; mb, midbrain; me, mesenchyme; mg, midgut; ne, neurectoderm; nc, neural crest cells; no, notochord; np, neural plate; nt, neural tube; pn, pronephros anlage; pr, proctodeum; sm, presomitic/ somitogenic mesoderm; so, somites; st, stage; tb, tailblastema/tailbud; vl, ventral lip; vm, ventral mesoderm. |
|
|
Supplemental Figure 1 Smad1 - Smad1 staining during stages 8.5-31 of Xenopus development. Most images present both original and nuclear images (masks), as described in the manuscript. Note also that the epidermis of late stage embryos shows strong cross-reactivity with Smad1 and Smad2 antibodies. Abbreviations: ac, archenteron; ant, anterior; ba, branchial arches; ax, axial mesoderm; bl, blastocoel, bp, dorsal blastopore; br, brain; bv, brain vesicle; cc, circumblastoporal collar; cg, cement gland; dm, dermatome; dl, dorsal lip; en, endoderm; ev, ear vesicle; ey, eye/ eye anlage; fb, forebrain; fg, foregut; fi, dorsal fin; ha, heart anlage; hb, hindbrain; mb, midbrain; me, mesenchyme; mg, midgut; ne, neurectoderm; nc, neural crest cells; no, notochord; np, neural plate; nt, neural tube; pn, pronephros anlage; pr, proctodeum; sm, presomitic/ somitogenic mesoderm; so, somites; st, stage; tb, tailblastema/tailbud; vl, ventral lip; vm, ventral mesoderm. |
|
|
Supplemental Figure 1 Smad1 - Smad1 staining during stages 8.5-31 of Xenopus development. Most images present both original and nuclear images (masks), as described in the manuscript. Note also that the epidermis of late stage embryos shows strong cross-reactivity with Smad1 and Smad2 antibodies. Abbreviations: ac, archenteron; ant, anterior; ba, branchial arches; ax, axial mesoderm; bl, blastocoel, bp, dorsal blastopore; br, brain; bv, brain vesicle; cc, circumblastoporal collar; cg, cement gland; dm, dermatome; dl, dorsal lip; en, endoderm; ev, ear vesicle; ey, eye/ eye anlage; fb, forebrain; fg, foregut; fi, dorsal fin; ha, heart anlage; hb, hindbrain; mb, midbrain; me, mesenchyme; mg, midgut; ne, neurectoderm; nc, neural crest cells; no, notochord; np, neural plate; nt, neural tube; pn, pronephros anlage; pr, proctodeum; sm, presomitic/ somitogenic mesoderm; so, somites; st, stage; tb, tailblastema/tailbud; vl, ventral lip; vm, ventral mesoderm. |
|
|
Supplemental Figure 1 Smad2 - Smad2 staining during stages 8-31 of Xenopus development. Most images present both original and nuclear images (masks), as described in the manuscript. Note also that the epidermis of late stage embryos shows strong cross-reactivity with Smad1 and Smad2 antibodies. Abbreviations: ac, archenteron; ant, anterior; ba, branchial arches; ax, axial mesoderm; bl, blastocoel, bp, dorsal blastopore; br, brain; bv, brain vesicle; cc, circumblastoporal collar; cg, cement gland; dm, dermatome; dl, dorsal lip; en, endoderm; ev, ear vesicle; ey, eye/ eye anlage; fb, forebrain; fg, foregut; fi, dorsal fin; ha, heart anlage; hb, hindbrain; mb, midbrain; me, mesenchyme; mg, midgut; ne, neurectoderm; nc, neural crest cells; no, notochord; np, neural plate; nt, neural tube; pn, pronephros anlage; pr, proctodeum; sm, presomitic/ somitogenic mesoderm; so, somites; st, stage; tb, tailblastema/tailbud; vl, ventral lip; vm, ventral mesoderm. |
|
|
Supplemental Figure 1 Smad2 - Smad2 staining during stages 8-31 of Xenopus development. Most images present both original and nuclear images (masks), as described in the manuscript. Note also that the epidermis of late stage embryos shows strong cross-reactivity with Smad1 and Smad2 antibodies. Abbreviations: ac, archenteron; ant, anterior; ba, branchial arches; ax, axial mesoderm; bl, blastocoel, bp, dorsal blastopore; br, brain; bv, brain vesicle; cc, circumblastoporal collar; cg, cement gland; dm, dermatome; dl, dorsal lip; en, endoderm; ev, ear vesicle; ey, eye/ eye anlage; fb, forebrain; fg, foregut; fi, dorsal fin; ha, heart anlage; hb, hindbrain; mb, midbrain; me, mesenchyme; mg, midgut; ne, neurectoderm; nc, neural crest cells; no, notochord; np, neural plate; nt, neural tube; pn, pronephros anlage; pr, proctodeum; sm, presomitic/ somitogenic mesoderm; so, somites; st, stage; tb, tailblastema/tailbud; vl, ventral lip; vm, ventral mesoderm. |
|
|
Supplemental Figure 1 Smad2 - Smad2 staining during stages 8-31 of Xenopus development. Most images present both original and nuclear images (masks), as described in the manuscript. Note also that the epidermis of late stage embryos shows strong cross-reactivity with Smad1 and Smad2 antibodies. Abbreviations: ac, archenteron; ant, anterior; ba, branchial arches; ax, axial mesoderm; bl, blastocoel, bp, dorsal blastopore; br, brain; bv, brain vesicle; cc, circumblastoporal collar; cg, cement gland; dm, dermatome; dl, dorsal lip; en, endoderm; ev, ear vesicle; ey, eye/ eye anlage; fb, forebrain; fg, foregut; fi, dorsal fin; ha, heart anlage; hb, hindbrain; mb, midbrain; me, mesenchyme; mg, midgut; ne, neurectoderm; nc, neural crest cells; no, notochord; np, neural plate; nt, neural tube; pn, pronephros anlage; pr, proctodeum; sm, presomitic/ somitogenic mesoderm; so, somites; st, stage; tb, tailblastema/tailbud; vl, ventral lip; vm, ventral mesoderm. |
|
|
Supplemental Figure 1 Smad2 - Smad2 staining during stages 8-31 of Xenopus development. Most images present both original and nuclear images (masks), as described in the manuscript. Note also that the epidermis of late stage embryos shows strong cross-reactivity with Smad1 and Smad2 antibodies. Abbreviations: ac, archenteron; ant, anterior; ba, branchial arches; ax, axial mesoderm; bl, blastocoel, bp, dorsal blastopore; br, brain; bv, brain vesicle; cc, circumblastoporal collar; cg, cement gland; dm, dermatome; dl, dorsal lip; en, endoderm; ev, ear vesicle; ey, eye/ eye anlage; fb, forebrain; fg, foregut; fi, dorsal fin; ha, heart anlage; hb, hindbrain; mb, midbrain; me, mesenchyme; mg, midgut; ne, neurectoderm; nc, neural crest cells; no, notochord; np, neural plate; nt, neural tube; pn, pronephros anlage; pr, proctodeum; sm, presomitic/ somitogenic mesoderm; so, somites; st, stage; tb, tailblastema/tailbud; vl, ventral lip; vm, ventral mesoderm. |
|
|
Supplemental Figure 1 Smad2 - Smad2 staining during stages 8-31 of Xenopus development. Most images present both original and nuclear images (masks), as described in the manuscript. Note also that the epidermis of late stage embryos shows strong cross-reactivity with Smad1 and Smad2 antibodies. Abbreviations: ac, archenteron; ant, anterior; ba, branchial arches; ax, axial mesoderm; bl, blastocoel, bp, dorsal blastopore; br, brain; bv, brain vesicle; cc, circumblastoporal collar; cg, cement gland; dm, dermatome; dl, dorsal lip; en, endoderm; ev, ear vesicle; ey, eye/ eye anlage; fb, forebrain; fg, foregut; fi, dorsal fin; ha, heart anlage; hb, hindbrain; mb, midbrain; me, mesenchyme; mg, midgut; ne, neurectoderm; nc, neural crest cells; no, notochord; np, neural plate; nt, neural tube; pn, pronephros anlage; pr, proctodeum; sm, presomitic/ somitogenic mesoderm; so, somites; st, stage; tb, tailblastema/tailbud; vl, ventral lip; vm, ventral mesoderm. |
|
|
Supplemental Figure 1 Smad2 - Smad2 staining during stages 8-31 of Xenopus development. Most images present both original and nuclear images (masks), as described in the manuscript. Note also that the epidermis of late stage embryos shows strong cross-reactivity with Smad1 and Smad2 antibodies. Abbreviations: ac, archenteron; ant, anterior; ba, branchial arches; ax, axial mesoderm; bl, blastocoel, bp, dorsal blastopore; br, brain; bv, brain vesicle; cc, circumblastoporal collar; cg, cement gland; dm, dermatome; dl, dorsal lip; en, endoderm; ev, ear vesicle; ey, eye/ eye anlage; fb, forebrain; fg, foregut; fi, dorsal fin; ha, heart anlage; hb, hindbrain; mb, midbrain; me, mesenchyme; mg, midgut; ne, neurectoderm; nc, neural crest cells; no, notochord; np, neural plate; nt, neural tube; pn, pronephros anlage; pr, proctodeum; sm, presomitic/ somitogenic mesoderm; so, somites; st, stage; tb, tailblastema/tailbud; vl, ventral lip; vm, ventral mesoderm. |
|
|
Supplemental Figure 1 Smad2 - Smad2 staining during stages 8-31 of Xenopus development. Most images present both original and nuclear images (masks), as described in the manuscript. Note also that the epidermis of late stage embryos shows strong cross-reactivity with Smad1 and Smad2 antibodies. Abbreviations: ac, archenteron; ant, anterior; ba, branchial arches; ax, axial mesoderm; bl, blastocoel, bp, dorsal blastopore; br, brain; bv, brain vesicle; cc, circumblastoporal collar; cg, cement gland; dm, dermatome; dl, dorsal lip; en, endoderm; ev, ear vesicle; ey, eye/ eye anlage; fb, forebrain; fg, foregut; fi, dorsal fin; ha, heart anlage; hb, hindbrain; mb, midbrain; me, mesenchyme; mg, midgut; ne, neurectoderm; nc, neural crest cells; no, notochord; np, neural plate; nt, neural tube; pn, pronephros anlage; pr, proctodeum; sm, presomitic/ somitogenic mesoderm; so, somites; st, stage; tb, tailblastema/tailbud; vl, ventral lip; vm, ventral mesoderm. |
|
|
Supplemental Figure 1 Smad2 - Smad2 staining during stages 8-31 of Xenopus development. Most images present both original and nuclear images (masks), as described in the manuscript. Note also that the epidermis of late stage embryos shows strong cross-reactivity with Smad1 and Smad2 antibodies. Abbreviations: ac, archenteron; ant, anterior; ba, branchial arches; ax, axial mesoderm; bl, blastocoel, bp, dorsal blastopore; br, brain; bv, brain vesicle; cc, circumblastoporal collar; cg, cement gland; dm, dermatome; dl, dorsal lip; en, endoderm; ev, ear vesicle; ey, eye/ eye anlage; fb, forebrain; fg, foregut; fi, dorsal fin; ha, heart anlage; hb, hindbrain; mb, midbrain; me, mesenchyme; mg, midgut; ne, neurectoderm; nc, neural crest cells; no, notochord; np, neural plate; nt, neural tube; pn, pronephros anlage; pr, proctodeum; sm, presomitic/ somitogenic mesoderm; so, somites; st, stage; tb, tailblastema/tailbud; vl, ventral lip; vm, ventral mesoderm. |
|
|
Supplemental Figure 1 Smad2 - Smad2 staining during stages 8-31 of Xenopus development. Most images present both original and nuclear images (masks), as described in the manuscript. Note also that the epidermis of late stage embryos shows strong cross-reactivity with Smad1 and Smad2 antibodies. Abbreviations: ac, archenteron; ant, anterior; ba, branchial arches; ax, axial mesoderm; bl, blastocoel, bp, dorsal blastopore; br, brain; bv, brain vesicle; cc, circumblastoporal collar; cg, cement gland; dm, dermatome; dl, dorsal lip; en, endoderm; ev, ear vesicle; ey, eye/ eye anlage; fb, forebrain; fg, foregut; fi, dorsal fin; ha, heart anlage; hb, hindbrain; mb, midbrain; me, mesenchyme; mg, midgut; ne, neurectoderm; nc, neural crest cells; no, notochord; np, neural plate; nt, neural tube; pn, pronephros anlage; pr, proctodeum; sm, presomitic/ somitogenic mesoderm; so, somites; st, stage; tb, tailblastema/tailbud; vl, ventral lip; vm, ventral mesoderm. |
|
|
Supplemental Figure 1 Smad2 - Smad2 staining during stages 8-31 of Xenopus development. Most images present both original and nuclear images (masks), as described in the manuscript. Note also that the epidermis of late stage embryos shows strong cross-reactivity with Smad1 and Smad2 antibodies. Abbreviations: ac, archenteron; ant, anterior; ba, branchial arches; ax, axial mesoderm; bl, blastocoel, bp, dorsal blastopore; br, brain; bv, brain vesicle; cc, circumblastoporal collar; cg, cement gland; dm, dermatome; dl, dorsal lip; en, endoderm; ev, ear vesicle; ey, eye/ eye anlage; fb, forebrain; fg, foregut; fi, dorsal fin; ha, heart anlage; hb, hindbrain; mb, midbrain; me, mesenchyme; mg, midgut; ne, neurectoderm; nc, neural crest cells; no, notochord; np, neural plate; nt, neural tube; pn, pronephros anlage; pr, proctodeum; sm, presomitic/ somitogenic mesoderm; so, somites; st, stage; tb, tailblastema/tailbud; vl, ventral lip; vm, ventral mesoderm. |
|
|
Supplemental Figure 1 Smad2 - Smad2 staining during stages 8-31 of Xenopus development. Most images present both original and nuclear images (masks), as described in the manuscript. Note also that the epidermis of late stage embryos shows strong cross-reactivity with Smad1 and Smad2 antibodies. Abbreviations: ac, archenteron; ant, anterior; ba, branchial arches; ax, axial mesoderm; bl, blastocoel, bp, dorsal blastopore; br, brain; bv, brain vesicle; cc, circumblastoporal collar; cg, cement gland; dm, dermatome; dl, dorsal lip; en, endoderm; ev, ear vesicle; ey, eye/ eye anlage; fb, forebrain; fg, foregut; fi, dorsal fin; ha, heart anlage; hb, hindbrain; mb, midbrain; me, mesenchyme; mg, midgut; ne, neurectoderm; nc, neural crest cells; no, notochord; np, neural plate; nt, neural tube; pn, pronephros anlage; pr, proctodeum; sm, presomitic/ somitogenic mesoderm; so, somites; st, stage; tb, tailblastema/tailbud; vl, ventral lip; vm, ventral mesoderm. |
