Click here to close
Hello! We notice that you are using Internet Explorer, which is not supported by Xenbase and may cause the site to display incorrectly.
We suggest using a current version of Chrome,
FireFox, or Safari.
BMC Neurosci
2002 Mar 22;3:4. doi: 10.1186/1471-2202-3-4.
Show Gene links
Show Anatomy links
Subunit modification and association in VR1 ion channels.
Rosenbaum T, Awaya M, Gordon SE.
???displayArticle.abstract???
BACKGROUND: The capsaicin (vanilloid) receptor, VR1, is an agonist-activated ion channel expressed by sensory neurons that serves as a detector of chemical and thermal noxious stimuli.
RESULTS: In the present study we investigated the properties of VR1 ion channels expressed in Xenopus oocytes. A VR1 subunit with a FLAG epitope tag at the C-terminus was constructed. When examined for size on an SDS gel, VR1-expressing oocytes produced a doublet corresponding to the size of the monomer and a band at about twice the molecular weight of the monomer. A consensus site for N-linked glycosylation was identified in the primary sequence at position 604. In channels in which the putative glycosylation site was mutated from asparagine to serine (N604S), the larger of the two monomer bands could no longer be detected on the gel. Electrophysiological experiments showed these unglycosylated channels to be functional. The high molecular weight band observed on the gel could represent either a dimer or a monomer conjugated to an unknown factor. To distinguish between these possibilities, we coexpressed a truncated VR1 subunit with full-length VR1. A band of intermediate molecular weight (composed of one full-length and one truncated subunit) was observed. This dimer persisted under strongly reducing conditions, was not affected by capsaicin or calcium, and was refractory to treatment with transglutaminase inhibitors.
CONCLUSIONS: The persistence of this dimer even under harsh denaturing and reducing conditions indicates a strong interaction among pairs of subunits. This biochemical dimerization is particularly intriguing given that functional channels are almost certainly tetramers.
Figure 1. VR1 forms functional channels in Xenopus oocytes. (A) Current family activated by a saturating capsaicin concentration (4 μM) in an outside-out patch obtained from stepping the voltage from a holding potential of 0 mV to between -100 and +100 mV. For scale bar see (C). (B) Current-voltage relation for currents activated by 4 μM capsaicin. Data were normalized to the value of the current at -100 mV. (C) Current family activated by a sub-saturating capsaicin concentration (0.5 μM). (D) Current-voltage relation for currents activated by 0.5 μM capsaicin (red) with data from currents obtained with 4 μM capsaicin shown also (blue). Data were normalized to the value of the current at -100 mV. (E) Dose-response relation for activation by capsaicin plotted on a double-log scale. The smooth curves are fits with the Hill equation with K½ = 440 nM, Imax = 567 pA, and n = 2.2. Filled circles represent actual data values. All data in this figure are from the same patch.
Figure 2. VR1 is glycosylated at N604. (A) Cartoon (not to scale) of proposed subunit topology for a single VR1 subunit. Shown are the epitopes for the N-terminal and FLAG antibodies used in Western blot experiments, and the consensus sequence for glycosylation, located just distal to the fifth transmembrane domain at position 604. The red circle depicts the approximate localization of this consensus sequence. The line parting from the circle points to the sequence of this N-glycosylation site and the yellow box shows the asparagine which was substituted for a serine in order to produce the glycosylation mutant (N604S). (B) Western blot of oocytes expressing VR1 probed with the N-terminal antibody. Uninjected oocytes and oocytes expressing VR1 were prepared as described in Experimental Procedures. The monomer was observed as a doublet at 80 kDa and at 84 kDa in VR1-injected oocytes and a third band of 200 kDa was also observed in these oocytes. No bands were observed in the uninjected oocytes. (C) Western blot of oocytes expressing VR1 probed with the FLAG antibody. Bands are as in (B). (D) Western blot of oocytes expressing VR1 or N604S. Uninjected oocytes and oocytes expressing VR1 or N604S were prepared as described in Experimental Procedures. The monomer doublet in the VR1 is not present in the N604S mutant; only the 80 kDa band is observed. No bands were observed in the uninjected oocytes. This blot was probed with the FLAG antibody.
Figure 3. N604S forms functional channels, with properties like that of wild type. (A) Current family activated by a saturating capsaicin concentration (4 μM) in an outside-out patch obtained from stepping the voltage from a holding potential of 0 mV to between -100 and +100 mV. (B) Current-voltage relation for currents activated by 4 μM capsaicin for N604S (blue) and wild-type VR1 channels (green). Data were normalized to the value of the current at-100 mV. (C) Current family activated by a sub-saturating capsaicin concentration (0.5 μM). (D) Current-voltage relation for currents activated by 0.5 μM capsaicin for N604S (red) and wild-type VR1 (green) channels. Data were normalized to the value of the current at -100 mV. (E) Dose-response relations for activation by capsaicin plotted on a double-log scale. The smooth curves are fits with the Hill equation with K½ = 905 nM, Imax = 114 pA, and n = 1.8. Filled circles represent actual data values, plotted on a double-log axis. All data in this figure is from the same patch.
Figure 4. The 200 kDa band represents a dimer of VR1 subunits. Western blot of oocytes expressing wild-type VR1, Δ2–52, or wild-type VR1 + Δ2–52. Oocytes were prepared as described in Experimental Procedures. The band observed for VR1-express ing oocytes was at 200 kDa, the band observed for the Δ2–52-expressing oocytes was at 180 kDa, while oocytes injected with a 1:1 ratio of VR1 and Δ2–52 RNA yield three bands of 200 kDa, 180 kDa, and 190 kDa. This blot was probed with the FLAG antibody.
Figure 5. Δ2–52 forms functional, capsaicin-activated channels. (A) Current family activated by a saturating capsaicin concentration (4 μM) in an outside-out patch obtained from stepping the voltage from a holding potential of 0 mV to between -100 and +100 mV. (B) Current-voltage relation for currents activated by 4 μM capsaicin for Δ2–52 (blue) and wild-type VR1 (green) channels. Data were normalized to the value of the current at -100 mV. (C) Current family activated by a sub-saturating capsaicin concentration (0.5 μM). (D) Current-voltage relation for currents activated by 0.5 μM capsaicin for Δ2–52 (blue) and wild-type VR1 (green) channels. Data were normalized to the value of the current at -100 mV. (E) Dose-response relations for activation by capsaicin plotted on a double-log scale. The smooth curves are fits with the Hill equation with K½= 390 nM, Imax = 1630 pA, and n = 1.5. Filled circles represent actual data values. All data in this figure are from the same patch.
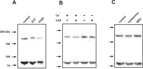
Figure 6. VR1 dimerization is not affected by reducing agents, capsaicin, Ca2+ or transglutaminase inhibitors. (A) Western Blot of the effect of reducing agents on the VR1 dimer. The addition of DTT (100 mM) and TCEP (20 mM) did not modify the ratio of monomer to dimer in VR1-expressing oocytes (p > 0.05, for 3 independent experiments). (B) Effect of Ca2+ on dimer formation in VR1. The addition of Ca2+ to the biochemical assays (in the presence or the absence of capsaicin, lanes 1 and 2) did not modify the ratio of monomer to dimer (p > 0.05, for 3 independent experiment). Addition of EGTA (2 mM) to the assays (lanes 3 and 4) did not modify the monomer to dimer ratio either (p > 0.05, for 3 independent experiments). For the Ca2+-free condition, the expected free Ca2+ concentration was 0.4 nM, calculated using WebMax C version 2.1 . and assuming a contaminant level of 5 μM Ca2+ in our water. For the condition in which Ca2+ was present, we added 1.8 mM Ca2+ and no chelator to the solution (see Materials and Methods). (C) Effects of transglutaminase inhibitors on dimerization of VR1. The addition of cysteamine (20 mM) and MDC (250 μM) to oocytes did not alter the amount of dimer in relation to monomer when compared to the control lane which did not receive any treatment (p > 0.05, for 3 independent experiments).
Armstrong,
Mechanisms for activation and antagonism of an AMPA-sensitive glutamate receptor: crystal structures of the GluR2 ligand binding core.
2000, Pubmed
Armstrong,
Mechanisms for activation and antagonism of an AMPA-sensitive glutamate receptor: crystal structures of the GluR2 ligand binding core.
2000,
Pubmed Baccaglini,
Some rat sensory neurons in culture express characteristics of differentiated pain sensory cells.
1983,
Pubmed Caterina,
The capsaicin receptor: a heat-activated ion channel in the pain pathway.
1997,
Pubmed
,
Xenbase Caterina,
The vanilloid receptor: a molecular gateway to the pain pathway.
2001,
Pubmed Cesare,
A novel heat-activated current in nociceptive neurons and its sensitization by bradykinin.
1996,
Pubmed Cesare,
Ion channels gated by heat.
1999,
Pubmed Clapham,
The TRP ion channel family.
2001,
Pubmed Doyle,
The structure of the potassium channel: molecular basis of K+ conduction and selectivity.
1998,
Pubmed Guidoni,
Potassium and sodium binding to the outer mouth of the K+ channel.
1999,
Pubmed Gunthorpe,
Voltage- and time-dependent properties of the recombinant rat vanilloid receptor (rVR1).
2000,
Pubmed Hand,
Activation of transglutaminase at calcium levels consistent with a role for this enzyme as a calcium receptor protein.
1985,
Pubmed Heginbotham,
Tetrameric stoichiometry of a prokaryotic K+ channel.
1997,
Pubmed Heyman,
Depolarizing responses to capsaicin in a subpopulation of rat dorsal root ganglion cells.
1985,
Pubmed Hilgemann,
Giant membrane patches: improvements and applications.
1998,
Pubmed
,
Xenbase Hoyles,
Energy barrier presented to ions by the vestibule of the biological membrane channel.
1996,
Pubmed Jancsó,
Pharmacologically induced selective degeneration of chemosensitive primary sensory neurones.
,
Pubmed Jiang,
Structure of the RCK domain from the E. coli K+ channel and demonstration of its presence in the human BK channel.
2001,
Pubmed
,
Xenbase Jordt,
Molecular basis for species-specific sensitivity to "hot" chili peppers.
2002,
Pubmed Kedei,
Analysis of the native quaternary structure of vanilloid receptor 1.
2001,
Pubmed Koplas,
The role of calcium in the desensitization of capsaicin responses in rat dorsal root ganglion neurons.
1997,
Pubmed Liu,
Capsaicin-induced currents with distinct desensitization and Ca2+ dependence in rat trigeminal ganglion cells.
1996,
Pubmed Liu,
Constraining ligand-binding site stoichiometry suggests that a cyclic nucleotide-gated channel is composed of two functional dimers.
1998,
Pubmed MacKinnon,
New insights into the structure and function of potassium channels.
1991,
Pubmed Marsh,
The mechanism of action of capsaicin on sensory C-type neurons and their axons in vitro.
1987,
Pubmed McCleskey,
Ion channels of nociception.
1999,
Pubmed Millan,
The induction of pain: an integrative review.
1999,
Pubmed Oh,
Capsaicin activates a nonselective cation channel in cultured neonatal rat dorsal root ganglion neurons.
1996,
Pubmed Rho,
Effects of mutation at a conserved N-glycosylation site in the bovine retinal cyclic nucleotide-gated ion channel.
2000,
Pubmed
,
Xenbase Snider,
Tackling pain at the source: new ideas about nociceptors.
1998,
Pubmed Szallasi,
Vanilloid (Capsaicin) receptors and mechanisms.
1999,
Pubmed Szolcsányi,
A pharmacological approach to elucidation of the role of different nerve fibres and receptor endings in mediation of pain.
1977,
Pubmed Taylor,
Conductance and kinetics of single cGMP-activated channels in salamander rod outer segments.
1995,
Pubmed Tominaga,
The cloned capsaicin receptor integrates multiple pain-producing stimuli.
1998,
Pubmed
,
Xenbase Williams,
The acute effects of capsaicin on rat primary afferents and spinal neurons.
1982,
Pubmed