Click here to close
Hello! We notice that you are using Internet Explorer, which is not supported by Xenbase and may cause the site to display incorrectly.
We suggest using a current version of Chrome,
FireFox, or Safari.
???displayArticle.abstract???
Expression of the Xbrachyury (Xbra) gene was inhibited by antisense RNA synthesized in situ from an expression vector read by RNA polymerase III, injected into the fertilized egg or the 2-cell stage embryo of Xenopus laevis. Antisense-treated embryos had markedly reduced levels of Xbra mRNA and protein, and showed deficiencies in mesodermal derivatives and axis formation. In particular, organization of the posterior axis was affected, but often the anterior axis was also reduced. Some embryos failed to form mesoderm altogether and remained amorphous. The antisense effect is dose-dependent and may be "rescued" by overexpression of Xbra. In Xbra-deficient embryos, expression of several mesodermal genes (Xvent, pintallavis, Xlim, Xwnt-8 and noggin) was reduced to varying degrees, whereas goosecoid levels remained normal. The modified expression levels were partly normalized when Xbra deficiency was rescued. The observation that antisense inhibition yields slightly different phenotypes from dominant-negative inhibition suggests the recommendation of using several surrogate genetic approaches to determine the functional role of a gene in Xenopus development.
Fig. 1. Sense and antisense vectors. (a) Map of the Xbra
cDNA with location of the sequences (filled boxes) inserted in
either orientation into the VAI to produce the sense or antisense
vector. BRAUG spans the AUG start and BRAMID covers a region
localized 150 bp further downstream. (b) VAI clone, with the
adenovirus II a1 gene (open box), and the inserted oligonucleotide
(filled box). The arrows indicate the orientation of the
oligonucleotide and the corresponding position of the reconstituted
BamHI site (b). The intragenic VAI promoter is marked by
hatched boxes. Restriction sites for HindIII (H), PstI (P), HindII
(Hd), XbaI (X) and EcoRI (R) are indicated.
Fig. 2. Reduction of Xbra expression in antisense-treated
embryos. (A) Whole-mount in situ hybridization with antisense
Xbra RNA probe. Left, untreated control embryo (Co) showing
normal Xbra expression around the blastopore. Center, embryo
carrying the BRAMID– antisense vector with near total suppression
of Xbra mRNA. Right, antisense-treated gastrula with only
slightly reduced Xbra expression. The clearing treatment reveals
the blastocoele outline (brown). (B) Embryos injected into one
cell of the 2-cell stage embryo with a mixture of antisense vector
and Texas Red dextran. The fluorescent marker is localized
to one body half of the living gastrula (Red). After in situ hybridization
for Xbra mRNA (Bra), the marker is still recognizable in the
uncleared embryo (Red 2). Note the absence of Xbra mRNA in
the injected body half carrying both the fluorescent marker and
the antisense vector. (C) Reverse transcription (RT)–polymerase
chain reaction (PCR) analysis on single gastrulae. The uninjected
control (Co) and the three BRAMID+ injected (sense construct)
embryos yield similar signals. The three BRAMID– antisense
embryos show strongly reduced Xbra bands. EF1 expression
varies little. Aliquots of cDNA from a BRAMID+ control (c) and a
BRAMID– antisense (a) embryo were further analyzed for the
presence of other mesodermal mRNA (Fig. 6A). (D) Whole-mount
staining of BRAMID– injected embryos (stage 17, anterior pole
left) with the anti TN1-123 antibody specific for brachyury
protein. One embryo shows a strong reduction in Xbra protein,
the other shows normal Xbra expression in the notochord and
the caudal mesoderm. Both antisense embryos were processed
in the same vial.
Fig. 3. Phenotypes of embryos carrying the BRAMID– antisense
vector. (A) Normal stage 38 control embryo, (B) posterior defect,
(C,D) pronounced antero–posterior defect and (E) amorphous
phenotype. (F) Relative frequency of the various phenotypes in
uninjected (CO) and BRAMID+ (MID+), VAI vector, BRAMID–
(MID–) or BRAUG– (AUG–) injected embryos. Phenotypes considered
to be Xbra specific are plotted above the zero line:
amorph, no or rudimentary axis; a-p, antero-posterior defect;
heavy a-p, strong shortening of both axes; p, posterior defect.
Non-specific alterations are plotted below this line: dupl ax, axis
duplication; microc, microcephaly.
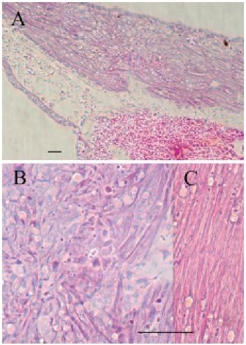
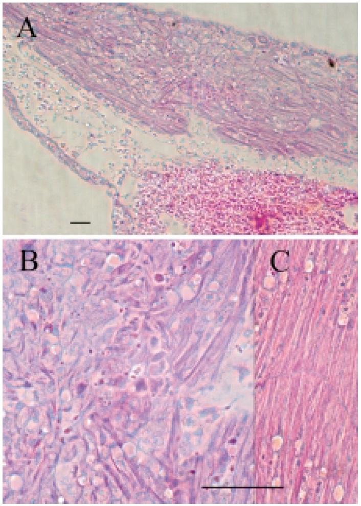
Fig. 4. Effect of antisense treatment on morphology of somites.
(A) Longitudinal section through a short-tailed, antisense-treated
embryo (stage 41). The somites in the tailroot are disorganized
and poorly differentiated. (B) Detail of somitic disorganization.
No clear segmental organization is established. The few muscle
fibrils lack clear striation and do not associate into fibers. (C)
Normally organized muscle in the tail of a sibling control
embryo. Bars, 50 μm.
Fig. 6. Changes in the level of mesodermal mRNA in Xbra
antisense (A) and rescued (B,C) embryos. (A) Reverse transcription
(RT)–polymerase chain reaction (PCR) analysis of various
mRNA on cDNA from single embryos injected with 200 pg
of BRAMID+ (control, c) or BRAMID– (antisense, a) constructs
(samples a and c in Fig. 2C). In three aliquots (top line) Ef1
was amplified in the same tube. (B) RT–PCR on pools of five
embryos injected with a mixture of 100 pg each of BRAMID– and
BRAUG+ showing strong inhibition (a), embryos carrying
BRAMID– and CMV-Xbra rescue vector and overexpressing
Xbra (r) or uninjected controls (c). (C) Aliquots of the a, r, and c
samples in B were further tested for the levels of mRNA of
Xvent-1, pintallavis (Pint), Xlim-1, Xwnt-8, and goosecoid (gsc).
M, molecular size marker.