Click here to close
Hello! We notice that you are using Internet Explorer, which is not supported by Xenbase and may cause the site to display incorrectly.
We suggest using a current version of Chrome,
FireFox, or Safari.
???displayArticle.abstract??? Hes6 is a basic helix-loop-helix transcription factor homologous to Drosophila Enhancer of Split (EoS) proteins. It is known to promote neural differentiation and to bind to Hes1, a related protein that is part of the Notch signalling pathway, affecting Hes1-regulated transcription. We show that Hes6 is expressed in the murine embryonic myotome and is induced on C2C12 myoblast differentiation in vitro. Hes6 binds DNA containing the Enhancer of Split E box (ESE) motif, the preferred binding site of Drosophila EoS proteins, and represses transcription of an ESE box reporter. When overexpressed in C2C12 cells, Hes6 impairs normal differentiation, causing a decrease in the induction of the cyclin-dependent kinase inhibitor, p21(Cip1), and an increase in the number of cells that can be recruited back into the cell cycle after differentiation in culture. In Xenopus embryos, Hes6 is co-expressed with MyoD in early myogenic development. Microinjection of Hes6 RNA in vivo in Xenopus embryos results in an expansion of the myotome, but suppression of terminal muscle differentiation and disruption of somite formation at the tailbud stage. Analysis of Hes6 mutants indicates that the DNA-binding activity of Hes6 is not essential for its myogenic phenotype, but that protein-protein interactions are. Thus, we demonstrate a novel role for Hes6 in multiple stages of muscle formation.
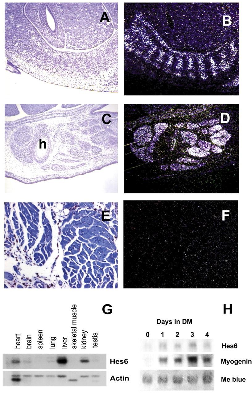
Fig. 1. Hes6 transcription is detectable in developing muscle in mouse embryos and C2C12 myoblasts in culture. 35S-labelled in situ hybridisation for Hes6 mRNA on parasaggital sections of mouse embryos. (A,B) Day 13 p.c. embryo, Hes6 mRNA is present in the developing somites. (C,D) Day 16 p.c. embryo. Hes6 mRNA is expressed in the developing muscles in the forelimb; h, humerus. (E,F) Skeletal muscle (panniculus carnosus) from an adult mouse. Hes6 mRNA is undetectable. (G) Northern blot analysis of Hes6 expression in adult mouse tissues, compared with a γ actin control probe that also reacts with β actin. The difference in the actin hybridisation in the heart and skeletal muscle lanes reflects tissue specific differences in the levels of γ and β actin. Each lane was loaded with 2 μg of mRNA. Hes6 mRNA runs at 1.4 kb. (H) Hes6 transcription during C2C12 myoblast differentiation in vitro. C2C12 myoblasts were placed into differentiation medium for 0-4 days. RNA was isolated and analysed by northern blot. Each lane was loaded with 20 μg total RNA. The blot was also probed for myogenin, to confirm induction of differentiation and stained with Methylene Blue (Me blue) to reveal 18 S RNA. Result shown is typical of three independent experiments.
Fig. 5. XHes6 is expressed in the presomitic mesoderm and somitic chevrons. Embryos were analysed by whole-mount in situ hybridisation at early gastrula stage (stage 10.5) (A,C) and tailbud stage (stage 22) (B,D) for expression of MyoD (A,B) and Hes6 (C,D). Both MyoD and Hes6 are found in a ring of prospective mesoderm around the dorsal pore at stage 10.5 (A,C, respectively). At stage 22, MyoD is restricted to myotome but is expressed uniformly throughout (B). Hes6 is found in the eye, brain (asterisk), neural tube, tailbud domain (TBD) and in two to three chevrons anterior to the TBD (arrows, D).
Fig. 6. XHes6 and XHes6DBM increase myotome size. Embryos were injected with 2 ng of XHes6 (A,D,G), XHes6DBM (B,E,H) or XHes6δWRPW (C,F,I) along with β-gal (light blue, injected side to left) and analysed at the neural plate stage for NβTub (A-C), MyoD (D-F) or α-sarcomeric actin (MA) (G-I) expression by whole-mount in situ hybridisation (purple). Overexpression of all three constructs upregulated NβTub expression (A-C), while only XHes6 (D,G) and XHes6DBM (E,H) upregulated the muscle markers MyoD and MA.
Fig. 8. XHes6 and XHes6DBM inhibit terminal myogenic differentiation. Embryos were injected in one of two cells with 2 ng of (A,B) XHes6, (C,D) XHes6DBM or (E,F) XHes6δWRPW with β-gal (light blue) and analysed at stage 22 for 12/101 expression (purple) by whole-mount antibody staining. XHes6 and XHes6DBM both decrease the area, intensity and pattern of 12/101 expression (compare A,C with B,D). However, XHes6δWRPW has little effect on the expression of this terminal myogenic differentiation marker (E,F).
hes6.2 (hes family bHLH transcription factor 6 ) gene expression in Xenopus laevis embryo, assayed via in situ hybridization, NF stage 22, lateral view, anteriorleft, dorsal up.