|
Figure 1. . Sequence comparison between KcsA and the pore domain of the Shaker Kv channel. (A) Sequence alignment of the KcsA K+ channel with the pore domain of the Shaker Kv channel. Diagram above indicates secondary structural motifs in KcsA. TM1 and TM2 correspond to S5 and S6 in Kv channels, respectively. Residues in bold are highly conserved between KcsA and Shaker. Circles below Shaker sequence diagram results of gated accessibility studies with thiosulfonates (Liu et al., 1997). Positions with open circles display more rapid reaction in the open state and those with closed circles indicate rapid reaction in either closed or open states. Half-filled circles display intermediate differences in reaction rate between closed and open states. Red underline highlights the regions examined in the present study with the PVP motif highlighted in yellow. (B) Backbone fold of KcsA shown from the side. Positions shown in red and yellow correspond to the residues in S6 that are the focus of the present study. (C) Illustration of several possible phenotypes that might be expected for mutation of residues located in a tightly packed region of the closed state. The hypothetical gate residue is represented with an isoleucine. Mutation to the smaller Ala might allow K+ flux through the closed gate, whereas mutation to a charged residue like Asp might trap the gate open. Substitution with large side chains (e.g., Trp) might occlude the open gate (not illustrated) or sterically trap the gate open. |
|
Figure 2. . Shaker Kv channel mutants with intact voltage-dependent gating. (A) Families of ionic current records for Wt and five mutant Shaker channels. For Wt Shaker, holding voltage was −90 mV, tail voltage was −70 mV, and depolarizations were from −70 to 50 mV, in 10-mV increments. For S479W, holding voltage was −100 mV, tail voltage was −100 mV, and depolarizations were from −100 to 90 mV, in 10-mV increments. For L472A holding voltage was −100 mV, tail voltage was −70 mV, and depolarizations were from −70 to 40 mV, in 10-mV increments. For Y483D, holding voltage was −90 mV, tail voltage was −70 mV, and depolarizations were from −70 to 40 mV, in 10-mV increments. For V476A holding voltage was −100 mV, tail voltage was −130 mV, and depolarizations were from −90 to 40 mV, in 10-mV increments. For F484D, holding voltage was −100 mV, tail voltage was −80 mV, and depolarizations were from −80 to 50 mV, in 10-mV increments. In all cases, depolarizations were 50 ms in duration. Linear capacity and background conductances were identified and subtracted by blocking the Shaker channel with Agitoxin-2. (B) G-V relations for Wt and five mutants. Normalized tail current amplitudes, measured at voltages indicated in A, are plotted versus the voltage of the preceding depolarization. Smooth curves are single Boltzmann fits to the data with parameters as follows: Wt: V50 = −31.8 mV, z = 4.1; V476A: V50 = −52.2 mV, z = 6.1; F484D: V50 = −49.2 mV, z = 4.2; Y483D: V50 = −40.4 mV, z = 4.6; L472A: V50 = −4.7 mV, z = 3.3; S479W: V50 = 87.7 mV, z = 0.7. |
|
Figure 3. . Gating currents and Q-V relations for Shaker Kv channels with nonconducting phenotypes. (A) Families of gating current records for W434F and four other nonconducting mutant Shaker channels. In all cases, membrane voltage was depolarized to various test voltages and then repolarized to the holding voltage. For W434F, holding voltage was −90 mV and depolarizations were from −90 to 0 mV, in 10-mV increments. For V478W, holding voltage was −90 mV and depolarizations were from −80 to 20 mV, in 10-mV increments. For P473A, holding voltage was −100 mV and depolarizations were from –100 mV to −5 mV, in 5-mV increments. For P473W, holding voltage was –110 mV and depolarizations were from −110 to −20 mV, in 10-mV increments. For P475A, holding voltage was −100 mV and depolarizations were from −100 to 0 mV, in 10-mV increments. A P/−4 protocol was used to subtract leak and linear capacitive currents. (B) Normalized Q-V relations for W434F and three other nonconducting mutant Shaker channels. Q was obtained by integrating both the ON and OFF components of gating current, taking their average and normalizing to Qmax measured at depolarized voltages. Smooth curves are single Boltzmann fits to the data with parameters as follows: W434F: V50 = −47.1 mV, z = 4.1; P473W: V50 = −64.1 mV, z = 2.5; P473A: V50 = −55.9 mV, z = 7.0; V478W: V50 = −48.6 mV, z = 4.1; P475A: V50 = −41.1 mV, z =1.7. |
|
Figure 4. . Ionic and gating currents for a weakly conducting mutant Shaker Kv channel. (A) Family of ionic current records. Holding voltage was −100 mV, tail voltage was −100 mV, and depolarizations were from −100 to 50 mV, in 10-mV increments. A P/−4 protocol was used to subtract leak and linear capacitive currents. (B) Family of gating currents recorded in the presence of 1 μM Agitoxin-2. Membrane voltage was depolarized for 30 ms to various test voltages (−100 to 10 mV) and then repolarized to the holding voltage (−100 mV). A P/−4 protocol was used to subtract leak and linear capacitive currents. (C) G-V relations for Wt and F481W. Conductance was calculated from the amplitude of steady-state current before repolarization, normalized and plotted versus voltage. Smooth curves are single Boltzmann fits to the data with parameters as follows: Wt: V50 = −32.8 mV, z = 3.7; F481W: V50 = −41.3 mV, z = 4.4. (D) Normalized Q-V relations for W434F and F481W. Q was obtained by integrating both the ON and OFF components of gating current, taking their average and normalizing to Qmax measured at depolarized voltages. Smooth curves are single Boltzmann fits to the data with parameters as follows: W434F: V50 = −47.2 mV, z = 4.1; F481W: V50 = −50.2 mV, z = 3.6. |
|
Figure 5. . Constitutive conduction in the P475D mutant of the Shaker Kv channel. (A) Families of ionic currents for Wt, P475W, and P475D. For Wt, holding voltage was −90 mV, tail voltage was −70 mV, and depolarizations were from −70 to 90 mV, in 10-mV increments. For P475W, holding voltage was −100 mV, tail voltage was −100 mV, and depolarizations were from −100 to 50 mV, in 10-mV increments. For P475D, the holding voltage was −110 mV and membrane voltage was stepped to −150 mV for 200 ms before recording the traces shown. Tail voltage was −150 mV, and depolarizations were from −150 to 20 mV, in 10-mV increments. In the case of P475D, the extracellular solution contained 50 mM K+ instead of Rb+. Linear capacity and background conductances were identified and subtracted by blocking the Shaker channel with Agitoxin-2. Dashed line indicates the position of zero current. (B) G-V relations for Wt, P475W, and P475D. Normalized tail current amplitudes are plotted versus the voltage of the preceding depolarization. Smooth curves are single Boltzmann fits to the data with parameters as follows: Wt: V50 = −31.0 mV, z = 4.2; P475W: V50 = −50.9 mV, z = 3.2; P475D: V50 = −103.2 mV, z = 3.0. |
|
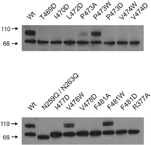
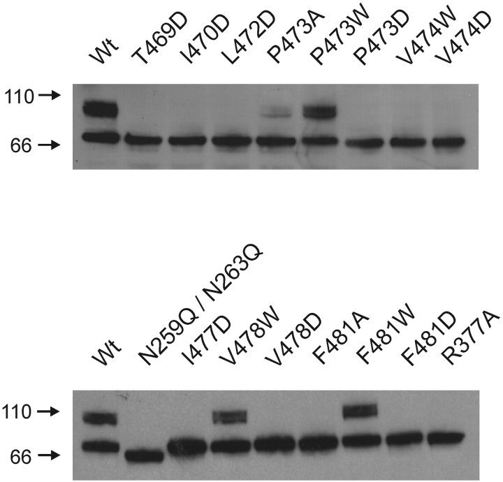
Figure 6. . Mutant Shaker Kv channels with defects in maturation. Western blots from SDS poylacrylamide gels of c-mycâtagged Shaker protein obtained from crude oocyte membrane preparations. Each lane contains between 4 to 10 oocyte equivalents of Shaker protein. Wild-type protein has two dominant forms, a core-glycosylated species (band â¼70 kD) and a more heavily glycosylated mature form (broad band at â¼100 kD). The N259Q/N263Q double mutant shows only a single band at â¼65 kD and marks the position of the unglycosylated protein. Numbers to the left are molecular weight markers in kD. See materials and methods for details. |
|
Figure 7. . Summary of phenotypes observed for mutations in the intracellular part of the S6 segment. Sequence alignment between TM2 of KcsA K+ channel and S6 of the Shaker Kv channel with highly conserved residues shown in black. As in Fig. 1, the circles below Shaker sequence diagram results of gated accessibility studies with thiosulfonates (Liu et al., 1997). Functionally expressing mutant phenotypes are indicated with gray circles containing different color filling and nonexpressing mutants are shown with solid maroon circles. |