Click here to close
Hello! We notice that you are using Internet Explorer, which is not supported by Xenbase and may cause the site to display incorrectly.
We suggest using a current version of Chrome,
FireFox, or Safari.
Genes Cells
2002 Jun 01;76:523-34. doi: 10.1046/j.1365-2443.2002.00544.x.
Show Gene links
Show Anatomy links
Control of DNA replication licensing in a cell cycle.
Nishitani H, Lygerou Z.
???displayArticle.abstract???
To maintain genome integrity in eukaryotes, DNA must be duplicated precisely once before cell division occurs. A process called replication licensing ensures that chromosomes are replicated only once per cell cycle. Its control has been uncovered by the discovery of the CDKs (cyclin dependent kinases) as master regulators of the cell cycle and the initiator proteins of DNA replication, such as the Origin Recognition Complex (ORC), Cdc6/18, Cdt1 and the MCM complex. At the end of mitosis, the MCM complex is loaded on to chromatin with the aid of ORC, Cdc6/18 and Cdt1, and chromatin becomes licensed for replication. CDKs, together with the Cdc7 kinase, trigger the initiation of replication, recruiting the DNA replicating enzymes on sites of replication. The activated MCM complex appears to play a key role in the DNA unwinding step, acting as a replicating helicase and moves along with the replication fork, at the same time bringing the origins to the unlicensed state. The cycling of CDK activity in the cell cycle separates the two states of replication origins, the licensed state in G1-phase and the unlicensed state for the rest of the cell cycle. Only when CDK drops at the completion of mitosis, is the restriction on licensing relieved and a new round of replication is allowed. Such a CDK-regulated licensing control is conserved from yeast to higher eukaryotes, and ensures that DNA replication takes place only once in a cycle. Xenopus laevis and mammalian cells have an additional system to control licensing. Geminin, whose degradation at the end of mitosis is essential for a new round of licensing, has been shown to bind Cdt1 and negatively regulate it, providing a new insight into the regulation of DNA replication in higher eukaryotes.
Figure 1
Cell cycle controls ensure genome integrity. (A) In a normal cell cycle, chromosomal DNA is replicated once before the cells enter into M phase. (B, C) Checkpoint controls ensure the temporal order of S-phase and M-phase. In the presence of unreplicated or damaged DNA, checkpoint control prevents the initiation of mitosis until the chromosomal DNA is completely replicated or the damage is repaired (B). The block to re-replication prevents a re-initiation of replication before completion of the M-phase (C). Re-replication may happen within the same S phase (C-1) or from G2, after completion of one round of replication (C-2).
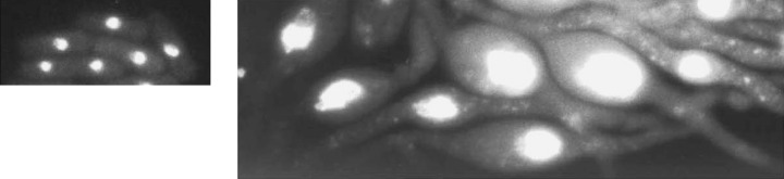
Figure 2
Example of over-replication observed in Schizosaccharomyces pombe (S. pombe). (left) Wild-type S. pombe cells. (right) Over-replicating S. pombe cells observed when mitotic CDK is inactivated or cdc18 gene is over-expressed (see text). DNA is stained with the DNA dye DAPI. The DNA content of cells undergoing re-replication accumulated to more than 10-fold that of wild-type cells.
Figure 3
Establishment of licensing. The licensing process is accomplished by the step-wise assembly of initiator proteins on origin DNA. ORC is probably present on chromatin throughout a cell cycle and acts as a landing pad for Cdc6/18 and Cdt1, which load the MCM complex on to the chromatin, thus establishing licensing. It is not known how many MCMs are loaded at a single origin.
Figure 4
DNA replication licensing control during the cell cycle. The cell cycle is separated into two stages, a period with no or low CDK activity in G1 (represented by light green in the cycle) and a period with increased CDK activity from the onset of S-phase to the end of M-phase (represented by light pink). After the completion of mitosis, DNA is licensed for replication by loading of the MCM complex on to chromatin. This process is only allowed when CDK activity is at very low levels, normally at the end of M-phase. When the cells are committed to a new cell cycle, CDKs and a second protein kinase, DDK, are activated, leading to the initiation of DNA replication. DNA replication enzymes are recruited and the MCM complex, probably acting as a replicative helicase, moves on the chromatin as elongation proceeds, together with the replication machinery. At the same time, the origin is converted to an unlicensed state. CDK dependent phosphorylation of licensing factors prevents re-licensing by inhibiting their chromatin binding or by targeting them for proteolysis or nuclear export. In metazoa, Geminin, present from the onset of S phase to the end of M phase, binds to Cdt1 and prevents licensing. When DNA duplication and chromosome segregation have been faithfully completed, CDKs are inactivated and Geminin is degraded. Completion of mitosis allows the dephosphorylation of proteins and accumulation of loading factors, thereby permitting a new round of licensing.