|
FIG. 6. Whole-mount in situ hybridization of Xenopus embryos show that each Wee kinase has a specific spatial and temporal developmental profile. Xenopus embryos were staged according to Nieuwkoop and Faber (1994), fixed, and subject to in situ hybridization
for the Wee kinases (XWee2, XWee1, or XMyt1) (Aâ I), the dorsal mesoderm marker Chordin (B, C), or the neural marker NCAM (G, H). View and stages for each embryo are as indicated. See text and Materials and Methods for details. |
|
FIG. 7. XMyt1 and XWee2 are expressed in distinct germ layers of embryos undergoing gastrulation and neurulation. (A) XMyt1 is expressed in the presumptive neural ectoderm. Sagittal section of a gastrulating stage 12 embryo subjected to in situ hybridization for XMyt1. Note: the blastocoel has collapsed in this embryo. (B) XWee2 is expressed in the involuting dorsal endomesoderm. Sagittal section
of gastrulating stage 12.5 embryo subjected to in situ hybridization for XWee2. (Câ E) XMyt1 is expressed in developing neural structures, XWee2 is expressed in the dorsal mesoderm, and XWee1 is undetectable. Sagittal sections of neurulating stage 18 embryos subjected to in situ hybridization for XMyt1, XWee2, or XWee1, respectively. (F) XWee2 is expressed in the somatic mesoderm. Transverse section of neurulating stage 18 embryo subjected to in situ hybridization for XWee2. (G) Composite image of eight serial sagittal sections of a representative stage 18 embryo that was subjected to whole-mount immunocytochemistry with the PH3 antibody. Black dots indicate mitotic cells. Note the absence of mitotic cells in the involuting dorsal mesoderm. The black ring on the surface of the embryo is caused by the layering of the images and does not represent mitotic cells. (H, I) Stage 18 embryos were subjected to whole-mount XMyt1 in situ hybridization and PH3 immunocytochemistry. Saggital section of a representative embryo and enlargement of the boxed region shows that XMyt1 colocalizes to regions of high proliferation such as the eye anlage. In (I), arrows indicated mitotic nuclei (brown). For all images, positions of sections are indicated as red lines on drawings from Nieuwkoop and Farber (1994). See text for details. Scale bar, 100 m. Abbreviations: blc, blastocoel; ac, archenteron; yp, yolk plug; pne, presumptive neural ectoderm, dm, dorsal mesoderm; ey, eye anlage; sm, somite; n, notochord. |
|
myt1 (myelin transcription factor 1) gene expression in Xenopus laevis embryo, assayed via in situ hybridization, NF stage 25, lateral view, anterior right, dorsal up.
|
|
FIG. 3. XWee2 phosphorylates and inhibits the Cdk1/Cyclin B complex. (A) XWee2 phosphorylates Cdk1, but not Cdk1-AF. Purified recombinant XWee1-WT, XWee1-KD, XWee2-WT, and XWee2-KD proteins were tested in an in vitro kinase assay with purified recombinant Cdk1/Cyclin B complex (Cdk1) or Cdk1-AF/Cyclin B complex (Cdk1-AF). Both forms of Cdk1 are kinase-deficient due to Asp133 being changed to Ala. In addition, Cdk1-AF has Thr14 changed to Ala and Tyr15 changed to Phe. All lanes contain indicated Cdk1/Cyclin B complex and either buffer (lane 1) or increasing amounts of XWee1 or XWee2: 8 ng (lanes 2, 6, 10, and 14), 32 ng (lanes 3, 4, 11, and 15), or 64 ng (lanes 4, 8, 12, and 16). Lanes 5, 9, 13, and 17 contain 64 ng of the indicated kinase and buffer, but no Cdk1/CyclinB substrate. (B) XWee2 phosphorylates Cdk1 more efficiently than XWee1. In vitro kinase assay performed as in (A), except 2-fold increasing amounts of XWee1 or XWee2 were used as indicated and Cdk1-T161A/Cyclin B was used as a substrate (see Material and Methods). Lane 13 contains Cdk1/Cyclin B complex and buffer only. Note, unlike the Cdk1 used in (A), the T161A form of Cdk1 use here runs as a single band since it cannot be phosphorylated by CAK activity present in the Sf9 cell lysates (Kumagai and Dunphy, 1995). (C) Wee1-like kinase loading control for (A) and (B). Purified recombinant XWee1 and XWee2 kinases used in (A) and (B) were processed for gel electrophoresis and Coomassie blue staining. (D) Cdk1 loading control for (A). Purified Cdk1/Cyclin B complexes used in (A) were processed for gel electrophoresis and Coomassie blue staining (only the Cdk1 portion is shown). (E) XWee2 phosphorylates Cdk1 on Tyr15 exclusively and this phosphorylation reduces the H1 kinase activity of Cdk1. A total of 50 ng of recombinant kinase-deficient XWee2 (KD) or wild type XWee2 (WT) was incubated with purified Cdk1/cyclin B complexes containing the indicated wild type (WT) or mutant forms of Cdk1 (T14A, Thr14 changed to ala; Y15F, Tyr15 changed to phe; or AF, double mutant T14A and Y15F change to ala and phe, respectively) in the presence of an ATP-regenerating system. After incubation, samples were processed for immunoblotting or for histone H1 assay. Note: the reduced gel mobilities of Cdk1 and XWee2 is indicative of phosphorylation. The graph shows the percentage of H1 kinase activity (normalized for each mutant; 100% equals the activity of the sample in the presence of kinase-deficient XWee2). |
|
FIG. 4. Microinjection of XWee2 protein, mRNA, or DNA arrests division of cleavage-stage and post-MBT Xenopus embryos. (A) 2.3 ng of purified recombinant XWee2-WT (1), XWee2-KD (2), XWee1-WT (3), or XWee1-KD (4) protein was microinjected into one blastomere of a two-cell embryo. XWee2-WT protein caused a delay or arrest in the cleavage of the injected blastomere (arrows), while the other injected proteins did not. (B) 2.3 ng of mRNA encoding XWee2-WT (1), XWee2-KD (2), XWee1-WT (3), or XWee1-KD (4) were microinjected into one blastomere of a two-cell embryo. These injected mRNAs have their endogenous 5 and 3 untranslated regions replaced by those of -globin (MacNicol et al., 1997). XWee2-WT mRNA caused a profound delay in the cleavage of the injected blastomere (arrows), while XWee1-WT mRNA caused a very slight delay in 50% of the microinjected embryos. The arrow in panel 3 shows one of the strongest cases of this XWee1 induced delay. In both (A) and (B), the embryos were allowed to develop until noninjected control embryos had reach stage 7 before being fixed and photographed. (C) XWee1 and XWee2 protein are equally stable in cleavage-stage embryos. Recombinant 35S-labeled XWee1 or XWee2 protein were microinjected into both blastomeres of a two-cell embryo, and embryos were allowed to develop until the indicated stages before being processed for autoradiography. (D) XWee2 arrest cell division in post-MBT cells. DNA constructs that express wild type (WT) or kinase-deficient (KD) XWee2 were microinjected into one blastomere of a two-cell embryo. Embryos were allowed to develop past MBT before being photographed. See text and Material and Methods for details. |
|
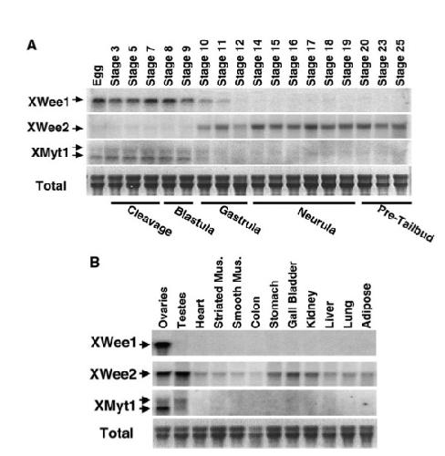
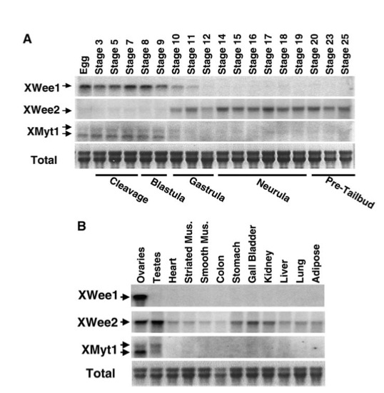
FIG. 5. Expression of XWee2, XWee1, and XMyt1 mRNA is developmentally regulated. (A) Northern blot analysis of 10 g of total RNA isolated from Xenopus egg and embryos stage according to Nieuwkoop and Faber (1994). Labels above panels indicate stages, while labels underneath panels indicate relative period in development. (B) Northern blot analysis of 10 g of total RNA isolated from indicated tissues. In both (A) and (B), blots were hybridized to radioactive probes corresponding to XWee1, XWee2, or XMyt1 as indicated. Bottom panels in (A) and (B) are loading controls. They show 28S and 18S rRNA in total RNA. See text and Materials and Methods for details. |
|
wee1 (WEE1 G2 checkpoint kinase) gene expression in Xenopus laevis embryo, assayed via in situ hybridization, NF stage 6.5, animal view. |
|
wee2 (WEE2 oocyte meiosis inhibiting kinase) gene expression in Xenopus laevis embryo, assayed via in situ hybridization, NF stage 11, blastoporal view, dorsal up.
|
|
wee2 (WEE2 oocyte meiosis inhibiting kinase) gene expression in Xenopus laevis embryo, assayed via in situ hybridization, NF stage 12, blastoporal view, dorsal up. |
|
wee2 (WEE2 oocyte meiosis inhibiting kinase) gene expression in Xenopus laevis embryo, assayed via in situ hybridization, NF stage 12.5, blastoporal view, dorsal up. |
|
wee2 (WEE2 oocyte meiosis inhibiting kinase) gene expression in Xenopus laevis embryo, assayed via in situ hybridization, NF stage 19, dorsal view, anterior left. |
|
wee2 (WEE2 oocyte meiosis inhibiting kinase) gene expression in Xenopus laevis embryo, assayed via in situ hybridization, NF stage19, posterior view, dorsal up. |
|
wee2 (WEE2 oocyte meiosis inhibiting kinase) gene expression in Xenopus laevis embryo, assayed via in situ hybridization, NF stage 25, lateral view, anterior left, dorsal up. |
|
wee21 (WEE1 homolog 1) gene expression in Xenopus laevis embryo, assayed via in situ hybridization, NF stage 11, blastoporal view, dorsal up.
Note: no gene expression in post-gastrulation stages. |
|
wee1 (WEE1 homolog 1) gene expression in Xenopus laevis embryo, assayed via in situ hybridization, NF stage 25, lateral view, anterior left, dorsal up.
Note: no gene expression in post-gastrulation stages.
|
|
wee2 (WEE2 oocyte meiosis inhibiting kinase) gene expression in bisected Xenopus laevis embryo, mid-sagittal section, assayed via in situ hybridization, NF stage 10.5, dorsal right, animal hemisphere up. |
|
wee2 (WEE2 oocyte meiosis inhibiting kinase) gene expression in bisected Xenopus laevis embryo, mid-sagittal section, assayed via in situ hybridization, NF stage 17 dorsal right. |
|
wee2 (WEE2 oocyte meiosis inhibiting kinase) gene expression in bisected Xenopus laevis embryo, coronal section, assayed via in situ hybridization, NF stage 17, dorsal up. |
|
myt1 (myelin transcription factor 1) gene expression in bisected Xenopus laevis embryo, mid-sagittal section, assayed via in situ hybridization, NF stage 10.5, dorsal right, animal hemisphere up. |
|
myt1 (myelin transcription factor 1) gene expression in bisected Xenopus laevis embryo, mid-sagittal section, assayed via in situ hybridization, NF stage 17, dorsal right. |